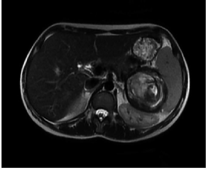
МРТ и КТ в диагностике аневризмы селезеночной артерии
Магнитно-резонансная ангиография при аневризме селезеночной артерии хорошо выявляет следующие анатомические признаки:
В ангиографическом режиме визуализируется расширение просвета селезеночной артерии, чаще мешотчатой или веретенообразной формы, с ровными или изъеденными контурами.
В режиме Т1 определяется гипоинтенсивный сигнал от просвета сосуда, при этом в стенке аневризмы или в пристеночном тромбе может наблюдаться неравномерный сигнал в зависимости от стадии организации.
В режиме Т2 визуализируется гиперинтенсивный сигнал от тромботизированного сегмента и окружающей ткани при воспалительных изменениях или паравазальном фиброзе.
В режиме с контрастированием фиксируется чёткое накопление контраста в аневризматическом мешке с возможной визуализацией дефекта наполнения при наличии тромба.
Могут быть определены извитой ход артерии, сопутствующий вазоспазм или компрессия смежных органов (хвоста поджелудочной железы, желудка, селезёнки).
Диагностические преимущества МР-томографии
МРА позволяет детально визуализировать следующие диагностические параметры:
- Диаметр и форма аневризматического расширения фиксируются в режиме МР-ангиографии, что даёт точную оценку риска разрыва.
- Протяжённость поражения артерии оценивается при многоплоскостной реконструкции сосудистого русла.
- Структура стенки и наличие пристеночного тромба определяются по вариабельности сигнала в Т1 и Т2.
- Состояние паравазальной клетчатки и наличие воспалительного компонента выявляются в жироподавленных режимах.
- МРТ позволяет оценить анатомическое соотношение аневризмы с органами брюшной полости без ионизирующего облучения.
Диагностические ограничения МР-сканирования
Магнитно-резонансная ангиография имеет ряд ограничений, и с её помощью не всегда удаётся точно визуализировать следующие аспекты:
- Малые кальцинаты в стенке аневризмы не выявляются без компьютерной томографии.
- При наличии пристеночного тромба сложно оценить степень стеноза и риск эмболии без контрастной динамики.
- МР-ангиография менее чувствительна к выявлению малых сосудистых аневризм и артериовенозных мальформаций.
- Ограничения при дыхательных артефактах и невозможность провести исследование в экстренных ситуациях снижают применимость метода.
- Необходимость контрастирования и длительность процедуры ограничивают её использование при неустойчивом состоянии пациента.
Компьютерная ангиография при аневризме селезеночной артерии хорошо выявляет следующие анатомические признаки:
В нативном режиме определяется мешотчатое или веретенообразное расширение селезеночной артерии с ровными или кальцинированными стенками.
В артериальной фазе контрастирования визуализируется интенсивное накопление контраста в аневризматическом мешке с возможным дефектом наполнения, соответствующим пристеночному тромбу.
В венозной фазе возможно выявление контрастной задержки или выход контраста за пределы сосуда при разрыве.
В режиме сканирования мягких тканей фиксируются признаки компрессии смежных структур, паравазальная инфильтрация и фиброз при хроническом течении.
В режиме высокоразрешающего сканирования костных и обызвествлённых структур выявляются кальцинаты в стенке аневризмы и утолщение сосудистой стенки.
Диагностические преимущества компьютерного сканирования
КТА позволяет детально визуализировать следующие диагностические параметры:
- Диаметр, протяжённость и форма аневризмы точно определяются при ангиографическом КТ с болюсным контрастированием.
- Толщина стенки и наличие пристеночного тромба оцениваются по плотности, что важно для прогноза стабильности образования.
- Состояние окружающих органов и степень смещения или сдавления фиксируются в многоплоскостных срезах.
- Кальцинаты и сосудистые аномалии (расслоение, атероматоз) чётко визуализируются в фазе высокого контраста.
- КТ проводится для экстренной диагностики при подозрении на разрыв или острое осложнение.
Диагностические ограничения КТ
Компьютерная артериография имеет ряд ограничений, и с её помощью не всегда удаётся точно визуализировать следующие аспекты:
- Функциональные параметры кровотока и направление турбулентности не определяются без допплеровских методов или МР-ангиографии.
- Не визуализируются воспалительные изменения паравазальных тканей при отсутствии плотностного контраста.
- Наличие контрастной нефропатии ограничивает использование метода при тяжёлой сопутствующей патологии.
- Без повторных фаз контрастирования сложно дифференцировать тромб от гипоперфузии.
- Отсутствие визуализации мягкотканевой васкуляризации ограничивает диагностику сопутствующих артериитов или паравазального васкулита.
Сравнительный анализ методов
|
Критерий |
МРА |
КТА |
|---|---|---|
|
Принцип метода |
Визуализация сосудов и мягких тканей по сигналам ядер водорода в режиме МР-ангиографии и стандартных секвенциях |
Томографическое изображение на основе плотности тканей при рентгеновском облучении с болюсным контрастированием |
|
Оценка формы и диаметра аневризмы |
Аневризматическое расширение визуализируется в режиме МР-ангиографии, форма и размеры оцениваются точно |
Аневризма отчётливо видна в артериальной фазе, с возможностью трёхмерной реконструкции |
|
Визуализация пристеночного тромба |
Гипоинтенсивный сигнал в Т1 и Т2, возможно отсутствие контрастирования в зоне тромба |
Дефект контрастного наполнения с плотностью, отличной от кровотока, особенно на артериальной фазе |
|
Состояние стенки сосуда |
Наличие неоднородного сигнала или признаков воспаления, толщина стенки оценивается ограниченно |
Толщина стенки, кальцинаты, расслоение и изъеденность хорошо визуализируются |
|
Визуализация паравазальных изменений |
Воспаление, инфильтрация и фиброз фиксируются по сигналу в Т2 и жироподавленных режимах |
Только при плотностных изменениях, не выявляет отёк или васкулит без выраженной инфильтрации |
|
Компрессия окружающих органов |
Степень сдавления поджелудочной железы, желудка и селезёнки оценивается в мультиплоскостной проекции |
Степень смещения и деформации органов фиксируется по плотностным границам на фоне расширенного сосуда |
|
Кальцинаты и плотностные структуры |
Не определяются без специфических режимов |
Кальцинаты в стенке аневризмы и плотные структуры чётко визуализируются |
|
Риск разрыва и сосудистых осложнений |
Оценивается по форме, размеру, турбуленции и наличию тромба, особенно при динамической МР-ангиографии |
Определяется при визуализации утечки контраста, деформации стенки и выраженном пристеночном тромбе |
|
Контрастное усиление |
Диффузное накопление контраста, постепенное, без чёткой капсулы и с низкой интенсивностью |
Резкое усиление в артериальную фазу, точная визуализация дефекта и скорости кровотока |
|
Лучевая нагрузка |
Отсутствует |
Присутствует, ограничивает повторное применение |
|
Продолжительность исследования |
20–30 минут, зависит от протокола, может быть ограничено при нестабильном состоянии |
5–10 минут, проводится быстро, подходит для экстренной диагностики |
Бесплатный телефон по России: +7(800)300-98-12
Список литературы:
- Аневризмы селезеночной артерии: возможности методов лучевой диагностики и лечения / М.В. Вишнякова, А.И. Лобанов, A.B. Лерман // Альманах клин. мед. - 2010. - № 22. - С. 3-9.
- Опыт эндоваскулярного лечения аневризм селезеночных артерий / А. Б., Варава В. П. Лусников, Б. Г. Алекян, А. Г. Кригер // Общероссийский хирургический форум-2020.
- Виноградов, A.B. Дифференциальный диагноз внутренних болезней / A.B. Виноградов. - М.: Медицина, 1987. - 590 с.
- Аневризма селезеночной артерии – диагностика и лечение/ А.Ц. Буткевич, А.Е. Бровкин, М.Н. Кошелев, С.Н. Гордеев и др.// Анналы хирургической гепатологии. – 2015. – №2.
- Гранов А.М., Полысалов В.Н., Таразов П.Г., Сайкин В.Х. Клинические аспекты диагностики и лечения аневризм селезеночной артерии. Клиническая медицина. 1990; 68 (11): 60–63.
Информационные статьи о диагностике
ЕДИНЫЙ ЦЕНТР ЗАПИСИ НА МРТ И КТ



