МРТ, КТ, УЗИ в диагностике тимомы
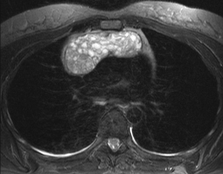
Магнитно-резонансная томография не является базовым исследованием для диагностики тимомы, потому что не позволяет достоверно выявить кальцинаты, точно оценить степень инвазии опухоли в перикард и плевру, а также дифференцировать тимому от других образований переднего средостения без морфологического подтверждения. Тимома представляет собой опухоль вилочковой железы, локализующуюся в переднем средостении и требующую точной оценки её границ и распространённости. Основное значение для визуализации и стадирования тимомы имеет компьютерная томография с внутривенным контрастированием. Оданко МРТ выявляет следующие анатомические признаки:
На Т1-взвешенных изображениях определяется гипоинтенсивное или изоинтенсивное объёмное образование в переднем средостении с ровными или умеренно неровными контурами.
На Т2-взвешенных изображениях визуализируется гиперинтенсивная структура опухоли, иногда с неоднородностью сигнала при наличии кистозных или некротических изменений.
На изображениях с подавлением сигнала от жира подчёркивается разграничение тимомы от окружающей клетчатки и прилежащих сосудистых структур, что облегчает определение её распространённости.
В режиме с подавлением сигнала от воды фиксируются зоны неоднородности внутри опухоли, свидетельствующие о наличии фиброзных компонентов или кровоизлияний.
В режиме динамического контрастного усиления определяется умеренное или выраженное накопление контраста опухолевой тканью, что отражает её васкуляризацию и позволяет уточнить жизнеспособность опухоли.
В режиме трёхмерной реконструкции визуализируются размеры, объём и степень инвазии тимомы в соседние структуры средостения, включая перикард, плевру и сосуды.
Диагностические преимущества МР-томографии
МРТ позволяет детально визуализировать следующие диагностические параметры:
- Размеры и форма опухоли с точной оценкой объёма.
- Толщина капсулы тимомы и наличие её прорыва за пределы опухоли.
- Структура опухоли с определением участков некроза, кистозных изменений и фиброза.
- Степень инвазии в окружающие органы и ткани, включая перикард и крупные сосуды.
- Состояние прилежащих лимфатических узлов с оценкой их размеров и структуры.
- Степень васкуляризации опухоли на основе характера накопления контраста.
Диагностические ограничения МР-сканирования
Магнитно-резонансная томография имеет ряд ограничений, и с её помощью не всегда удаётся точно визуализировать следующие аспекты:
- Малые опухоли без выраженного контраста с окружающими тканями.
- Точная характеристика инвазии в перикард или плевру без гистологической верификации.
- Различие между высокодифференцированной тимомой и тимическим карциномом без морфологических данных.
- Определение васкуляризации тонкостенных капсул без применения высокочувствительных режимов.
- Выявление кальцинатов без применения методов КТ-сканирования.
- Отличие поствоспалительных изменений от малых опухолевых узлов без динамического наблюдения.
КТ выявляет следующие анатомические признаки:
В нативном режиме определяется объёмное образование в переднем средостении с плотностью, близкой к мягкотканевой, иногда с участками кальцинатов.
В режиме сканирования мягких тканей визуализируются чёткие или слегка неровные контуры опухоли с возможным распространением на соседние структуры.
В артериальной фазе контрастирования фиксируется умеренное или выраженное накопление контраста в тканях тимомы, что свидетельствует о её васкуляризации.
В венозной фазе определяется равномерное или неоднородное накопление контраста в зависимости от наличия фиброзных или некротических изменений.
В высокоразрешающем режиме уточняются размеры опухоли, наличие кальцинатов и степень вовлечения сосудов.
В режиме трёхмерной реконструкции чётко отображаются пространственные взаимоотношения тимомы с аортой, лёгочными сосудами, перикардом и трахеей.
Диагностические преимущества компьютерного сканирования
МСКТ позволяет детально визуализировать следующие диагностические параметры:
- Размеры, плотность и форму тимомы с высокой точностью.
- Толщина капсулы и признаки её нарушения при инвазии.
- Наличие кальцифицированных включений в структуре опухоли.
- Степень сдавления или инфильтрации крупных сосудов средостения.
- Структура окружающей клетчатки при распространении воспалительного процесса.
- Признаки сдавления бронхов, трахеи или пищевода при больших размерах опухоли.
Диагностические ограничения КТ
Компьютерная томография имеет ряд ограничений, и с её помощью не всегда удаётся точно визуализировать следующие аспекты:
- Точная дифференциация между тимомой и лимфомой без морфологических данных.
- Выявление тонкостенных кистозных изменений без применения дополнительных режимов.
- Оценка клеточной инвазии капсулы без морфологического подтверждения.
- Определение стадии малых тимом при отсутствии деформации окружающих структур.
- Точная характеристика фиброзных участков без сопоставления с МРТ-данными.
- Различение активного роста опухоли от фиброзных изменений без динамического наблюдения.
Ультразвуковое исследование не является базовым для диагностики тимомы, потому что ограничено по глубине проникновения, плохо визуализирует переднее средостение и не позволяет надёжно оценить распространённость процесса. УЗИ выявляет следующие анатомические признаки:
В серошкальном режиме определяется гипоэхогенное или смешанной эхогенности образование в переднем средостении с ровными или слегка неровными контурами.
В серошкальном режиме фиксируется гомогенная или неоднородная внутренняя структура опухоли при наличии кистозных или некротических участков.
В динамическом режиме наблюдается ограниченная подвижность опухоли при дыхательных движениях, что свидетельствует о её фиксации к окружающим тканям.
В режиме цветового допплеровского картирования определяется умеренный кровоток внутри тимомы, что свидетельствует о васкуляризации опухоли.
В энергетическом допплеровском режиме фиксируется распределение сосудистых структур по периферии и внутри опухоли.
В В-режиме возможно выявление участков кальцинатов как гиперэхогенных включений с акустической тенью.
Диагностические преимущества УЗ-исследования
Ультразвуковая диагностика позволяет детально визуализировать следующие диагностические параметры:
- Размеры и форма опухоли в переднем средостении.
- Структура внутреннего содержимого с оценкой гетерогенности.
- Наличие признаков инвазии в окружающие ткани при снижении подвижности.
- Распределение сосудистого рисунка внутри опухоли при допплерографии.
- Наличие гиперэхогенных включений, соответствующих кальцинатам.
- Отграниченность опухоли от окружающих структур при исследовании в серошкальном режиме.
Диагностические ограничения УЗИ
Сонография имеет ряд ограничений, и с её помощью не всегда удаётся точно визуализировать следующие аспекты:
- Малые тимомы при глубоком расположении за грудиной.
- Определение клеточной инвазии в перикард или сосуды без дополнительных методов.
- Разграничение между тимомой и лимфомой без морфологической верификации.
- Выявление малых кистозных изменений внутри опухоли без выраженных эхоструктур.
- Визуализация опухоли при выраженном пневматозе лёгких или ожирении.
- Определение малых участков некроза без применения контрастного усиления.
Сравнительный анализ методов
|
Критерий |
КТ |
МРТ |
УЗИ |
|---|---|---|---|
|
Принцип работы |
Рентгеновские лучи с построением срезов по плотности тканей |
Магнитное поле и радиочастотные сигналы для получения изображений |
Ультразвуковые волны высокой частоты и эхолокация |
|
Выявление тимомы |
Объёмное мягкотканевое образование с возможными кальцинатами в переднем средостении |
Гипоинтенсивное или гиперинтенсивное образование с чёткими контурами и признаками инвазии |
Гипоэхогенное или смешанной эхогенности образование в переднем средостении |
|
Структура опухоли |
Однородная или неоднородная плотность, возможные участки кальциноза и некроза |
Однородная или неоднородная структура с зонами некроза, кистозными изменениями и фиброзом |
Однородная или неоднородная эхоструктура с возможными кистозными включениями |
|
Контур и форма |
Чёткие или умеренно неровные контуры опухоли |
Чёткие или умеренно неровные контуры образования |
Ровные или слегка неровные контуры опухоли |
|
Оценка инвазии |
Степень сдавления или инфильтрации сосудов, перикарда и плевры |
Точная оценка распространения на перикард, сосуды и плевру |
Ограниченная возможность оценки при снижении подвижности опухоли |
|
Динамика изменений |
Контрастное накопление в опухоли, выявление некроза, динамическая характеристика васкуляризации |
Динамическое контрастирование опухоли с выявлением активной васкуляризации |
Наблюдение за изменением размеров и васкуляризации в процессе динамического наблюдения |
|
Способность отличить от лимфомы |
Частично по плотности и контрастированию, требует морфологической верификации |
Частично по структуре и распределению контраста, требуется морфологическая верификация |
Ограниченные возможности отличия без дополнительных методов |
|
Выявление некроза и кист |
Выявление зон некроза и кистозных изменений при контрастировании и плотностном анализе |
Высокая чувствительность к некрозу и кистозным изменениям за счёт контрастных режимов |
Ограниченная способность выявления малых кист без выраженных эхоструктур |
|
Характеристика сосудистого русла |
Оценка крупных сосудов при деформации или сдавлении |
Оценка сосудистой инвазии и степени накопления контраста |
Выявление распределения кровотока при допплеровском исследовании |
|
Лучевая нагрузка |
Присутствует |
Отсутствует |
Отсутствует |
|
Продолжительность исследования |
5–10 минут |
20–30 минут |
10–15 минут |
Бесплатный телефон по России: +7(800)300-98-12
Список литературы:
- Александров О.А., Рябов А.Б., Пикин О.В. Тимома (обзор литературы) // Сибирский онкологический журнал. – 2017. – № 4. – С. 76-83.
- Клинические рекомендации «Опухоли средостения». Разраб.: Ассоциация онкологов России, Российское общество клинической онкологии. – 2020.
- Ветшев П. С., Аблицов Ю. А., Аблицов А. Ю. и др. Современный взгляд на хирургическое лечение тимомы // Вестник Национального медико-хирургического Центра им. Н. И. Пирогова. 2017. № 2. С. 89–94.
- Бернац П.Э., Харрисон Э.Г., Клагетт О. Т. Тимома: клинико-патологическое исследование. Сердечно-сосудистая хирургия, 1961; 42: 424-44.
- Деттербек Ф.К., Зишан А. Тимома: современная диагностика и лечение. Чин Мед Джей (англ.) русск.. 2013; 126 (11): 2186–91.
Информационные статьи о диагностике
ЕДИНЫЙ ЦЕНТР ЗАПИСИ НА МРТ И КТ



