КТ и УЗИ в диагностике гастриномы
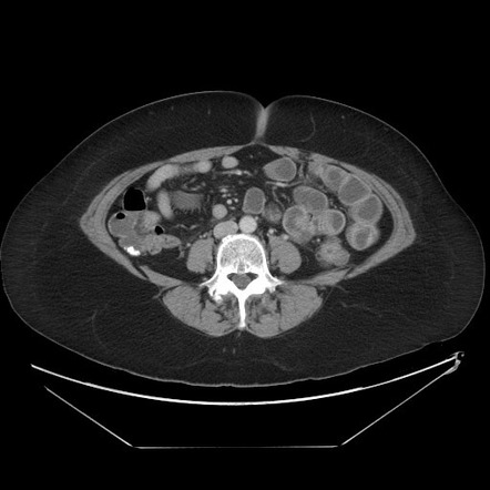
Компьютерная томография при подозрении на гастриному проводится с внутривенным контрастированием в артериальную и венозную фазы, с применением тонкосрезового протокола в области поджелудочной железы, двенадцатиперстной кишки, печени и лимфатических коллекторов. Цель обследования — выявление гиперваскулярной нейроэндокринной опухоли, продуцирующей гастрин, которая может вызывать клинический синдром Золлингера—Эллисона, проявляющийся рецидивирующими язвами желудка и гиперсекрецией соляной кислоты.
КТ выявляет следующие признаки гастриномы:
Гиперваскулярное образование в области головки или тела поджелудочной железы, размером от 3 до 20 мм, с плотностью более +120 HU в артериальную фазу и частичным выравниванием контрастирования в венозную фазу.
Очаговое утолщение стенки нисходящей части двенадцатиперстной кишки с выраженным накоплением контраста, соответствующее интрамуральной гастриноме.
Умеренное или выраженное утолщение складок слизистой желудка, особенно в теле и дне, за счёт гиперплазии обкладочных клеток, вторичной к избытку гастрина.
Расширение просвета желудка и двенадцатиперстной кишки на фоне гиперсекреции желудочного сока.
Увеличенные парапанкреатические и брыжеечные лимфоузлы до 15 мм с повышенным артериальным кровотоком.
Гиперваскулярные метастатические очаги в печени, диаметром от 5 мм, с ярким артериальным контрастированием и последующим выравниванием в венозную фазу.
Диагностические преимущества МСКТ
КТ-диагностика даёт возможность детально визуализировать следующие диагностические параметры гастриномы:
- Возможность обнаружения гиперваскулярных нейроэндокринных опухолей поджелудочной железы и двенадцатиперстной кишки размером от 3 мм.
- Точное определение фазового накопления контрастного вещества, позволяющее дифференцировать гастриному от других образований.
- Выявление вторичных изменений слизистой желудка, характерных для гипергастринемии (утолщение, гиперплазия, усиленный рельеф).
- Обнаружение регионарных лимфогенных и гематогенных метастазов в печени, забрюшинных и брыжеечных лимфоузлах.
- Трёхмерная реконструкция с возможностью топографической оценки соотношений опухоли с крупными сосудами и органами.
- Оценка сопутствующих панкреатических изменений и исключение множественных очагов при подозрении на множественные эндокринные неоплазии.
Диагностические ограничения компьютерной томографии
Метод имеет ряд ограничений, и с его помощью не всегда удаётся точно визуализировать следующие аспекты:
- Интрамуральные гастриномы двенадцатиперстной кишки размером менее 3 мм могут не визуализироваться даже в артериальную фазу.
- Отсутствие специфических морфологических признаков, отличающих гастриному от других нейроэндокринных опухолей без иммуногистохимической верификации.
- Ограниченные возможности оценки функциональной активности опухоли и уровня продукции гастрина.
- Трудности в интерпретации при атипичном расположении опухоли вне поджелудочной железы и двенадцатиперстной кишки.
- Присутствует лучевая нагрузка: при выполнении мультифазной КТ брюшной полости с внутривенным контрастированием эффективная доза составляет от 9 до 16 мЗв.
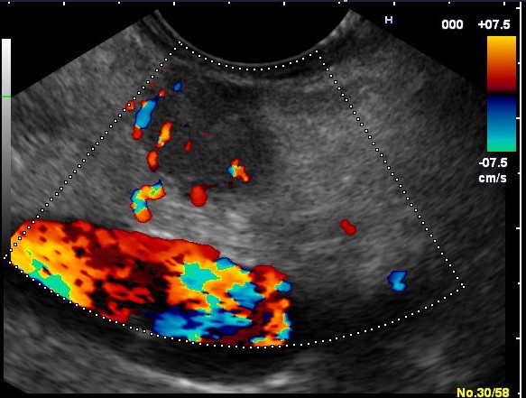
Ультразвуковое исследование при подозрении на гастриному проводится трансабдоминально в режиме серошкального сканирования с цветным и энергетическим допплеровским картированием, а также при необходимости дополняется эластографией и контрастным усилением. Обследование направлено на выявление гиперваскулярных очагов в поджелудочной железе и двенадцатиперстной кишке, характерных для гастрины-продуцирующих нейроэндокринных опухолей, вызывающих синдром Золлингера—Эллисона.
Ультразвуковое исследование выявляет следующие анатомические признаки гастриномы:
Очаговое гипоэхогенное или изоэхогенное образование овальной или округлой формы в проекции головки или тела поджелудочной железы, с чётким контуром и размерами от 5 мм.
Выраженный внутриили перифокальный сосудистый рисунок при цветном допплеровском картировании, соответствующий гиперваскулярной природе образования.
Увеличение поджелудочной железы без очагов при диффузном варианте гастриномы, с неоднородной эхоструктурой и усилением сосудистого рисунка.
Уплотнение и утолщение стенки желудка и двенадцатиперстной кишки за счёт гиперплазии слизистой, визуализируемое как многослойная гипоэхогенная структура.
Регионарная лимфаденопатия: гипоэхогенные лимфоузлы овальной формы с усиленным кровотоком, диаметром более 10 мм.
Диагностические преимущества УЗИ
Сонография позволяет детально визуализировать следующие диагностические параметры гастриномы:
- Выявление очаговых образований в поджелудочной железе от 5 мм при их поверхностной или центральной локализации.
- Определение степени васкуляризации образования с помощью цветного и энергетического допплера, что имеет значение для дифференциальной диагностики.
- Возможность визуализации утолщённых стенок желудка и двенадцатиперстной кишки при выраженной гиперсекреции.
- Оценка размеров, формы и эхогенности лимфатических узлов в околопанкреатической области.
- Динамическое наблюдение за размерами образования и реакцией на терапию при последующих контрольных исследованиях.
Диагностические ограничения УЗИ
УЗ-исследование имеет ряд ограничений, и с его помощью не всегда удаётся точно визуализировать следующие аспекты:
- Опухоли размером менее 5 мм могут быть неразличимы при стандартном трансабдоминальном доступе.
- Интрамуральные гастриномы двенадцатиперстной кишки часто недоступны для визуализации из-за глубокого расположения и малого размера.
- Ограниченная чувствительность метода при наличии избыточной массы тела, метеоризма или послеоперационных изменений.
- Невозможность достоверной оценки гормональной активности образования и его нейроэндокринного профиля.
- Невысокая специфичность ультразвуковых признаков без данных КТ, МРТ или сцинтиграфии.
Сравнительный анализ методов
|
Критерий |
УЗИ |
МСКТ |
|---|---|---|
|
Принцип метода |
Генерация и приём высокочастотных ультразвуковых волн с формированием изображения в реальном времени, применение цветного и энергетического допплера, эластографии и контрастного усиления |
Рентгеновское излучение с послойным сканированием и измерением плотности тканей в единицах Хаунсфилда, внутривенное контрастирование в артериальную и венозную фазы |
|
Режим и цель |
Трансабдоминальное серошкальное сканирование с допплеровскими режимами и при необходимости контрастным усилением для выявления гиперваскулярных очагов в поджелудочной железе и двенадцатиперстной кишке |
Мультифазная тонкосрезовая КТ брюшной полости с контрастированием, акцент на поджелудочную железу, двенадцатиперстную кишку, печень и лимфатические коллекторы для диагностики гастриномы и осложнений |
|
Признаки |
Гипоэхогенное или изоэхогенное очаговое образование овальной или округлой формы от 5 мм с выраженной васкуляризацией; диффузное увеличение железы с усилением сосудистого рисунка; утолщение стенок желудка и ДПК; регионарная лимфаденопатия с гиперваскуляризацией |
Гиперваскулярное образование 3–20 мм с плотностью более +120 HU в артериальную фазу и выравниванием в венозную; утолщение стенки ДПК с активным накоплением контраста; гиперплазия слизистой желудка; расширение просвета желудка и ДПК; гиперваскулярные метастазы в печени; регионарная лимфаденопатия |
|
Диагностические преимущества |
Выявление образований от 5 мм при благоприятной локализации; оценка васкуляризации в режиме ЦДК и ЭДК; визуализация утолщённых стенок желудка и ДПК; оценка размеров и структуры регионарных лимфоузлов; динамическое наблюдение без лучевой нагрузки |
Обнаружение образований от 3 мм, включая небольшие гастриномы; фазовый анализ накопления контраста; визуализация вторичных изменений слизистой желудка; обнаружение метастазов в печени и лимфоузлах; 3D-реконструкция с оценкой соотношений опухоли с сосудами; выявление множественных очагов |
|
Ограничения |
Не визуализирует опухоли менее 5 мм при стандартном доступе; трудности при интрамуральной локализации в ДПК; снижение качества при ожирении, метеоризме и рубцовых изменениях; отсутствие данных о гормональной активности и иммуногистохимическом профиле |
Сложности обнаружения интрамуральных образований менее 3 мм; отсутствие морфологической специфичности без гистологической верификации; невозможность оценки функциональной активности; трудности при атипичном расположении вне поджелудочной железы и ДПК |
|
Доступность и мобильность |
Высокая мобильность, возможность проведения у постели пациента, в операционной и в условиях реанимации |
Требует стационарного оборудования, невозможна транспортировка к пациенту, необходима доставка пациента в КТ-кабинет |
|
Возможность повторных исследований |
Неограниченная частота повторов без риска, подходит для длительного динамического наблюдения |
Ограничена из-за лучевой нагрузки, выполняется при клинической необходимости |
|
Подготовка пациента |
Минимальная, иногда ограничение приёма пищи и медикаментов для снижения газообразования |
Требуется внутривенный доступ, подготовка к контрастированию, оценка функции почек, исключение противопоказаний к контрасту |
|
Лучевая нагрузка |
Отсутствует |
9–16 мЗв при мультифазной КТ брюшной полости с контрастированием |
|
Продолжительность исследования |
10–20 минут включая допплеровские режимы, эластографию и протокол описания |
5–15 минут включая все фазы сканирования и контрастирование |
Бесплатный телефон по России: +7(800)300-98-12
Список литературы:
- Кузьминов А.Е., Полозкова С.А., Орел Н.Ф. и др. Нейроэндокринные опухоли. // Эффективная фармакотерапия. 2012. № 34. С. 44-48.
- Кузин Н.М., Егоров А.В. Нейроэндокринные опухоли поджелудочной железы. // М.-Медицина. 2001. С. 49-60.
- Оганезова И.А., Попова Е.А., Бакулин И.Г. Современные возможности диагностики и лечения гастриномы: описание клинического случая. Профилактическая медицина. 2021;24(7):50‑55.
- Ракитин Б.В. Краткое описание состояния: Гастринома (синдром Золлингера-Эллисона). В работе: Оберг К., Кувелард А., Делле Фаве Г. и др. Приведены согласованные рекомендации по стандартизации лечения нейроэндокринных опухолей: биохимические маркеры. Нейроэндокринология. 2017.
- Френкель М., Ким М.К., Фаджиано А., Валк Г.Д. Эпидемиология гастроинтестинальных нейроэндокринных опухолей. 2012;26(6):691–703.
Информационные статьи о диагностике
ЕДИНЫЙ ЦЕНТР ЗАПИСИ НА МРТ И КТ



