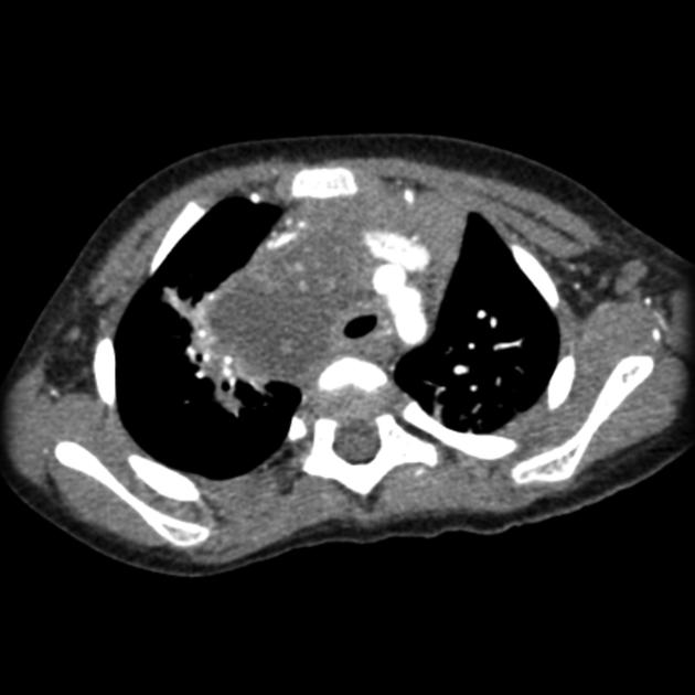
МСКТ в диагностике лимфомы средостения
КТ при лимфоме средостения выявляет следующие анатомические признаки:
В нативном режиме определяется объемное образование в переднем или верхнем средостении с однородной или неоднородной плотностью, что соответствует увеличенным лимфатическим узлам, сдавливающим окружающие структуры.
В режиме сканирования мягких тканей визуализируется конгломерат лимфоузлов с нечеткими контурами, изменение конфигурации трахеи и крупных сосудов, возможное их смещение или компрессия.
В режиме с контрастированием определяется выраженное накопление контрастного вещества в лимфоматозной ткани, что позволяет уточнить степень васкуляризации и очертания образования.
В режиме высокоразрешающего сканирования лёгочной ткани выявляются признаки сопутствующего лимфостаза, участки ателектаза и деформация лёгочных структур при компрессии бронхиальных ветвей.
В режиме оценки сосудистого русла средостения визуализируется компрессия верхней полой вены, деформация дуги аорты или легочной артерии, что указывает на распространённость процесса.
Диагностические преимущества
МСКТ позволяет детально визуализировать следующие диагностические параметры:
- Размеры и плотностные характеристики лимфоузлов, что даёт возможность оценить степень их увеличения, конфигурацию и внутреннюю структуру.
- Протяжённость поражения в переднем и заднем средостении, что позволяет уточнить анатомическую локализацию и вовлечение нескольких зон.
- Степень компрессии и смещения трахеи, бронхов и крупных сосудов, что помогает определить угрозу дыхательной недостаточности или синдрома верхней полой вены.
- Наличие сопутствующих изменений в лёгочной ткани, таких как инфильтраты, ателектаз или лимфостаз, что позволяет уточнить системность поражения.
- Реакция паракардиальной клетчатки и перикарда, включая утолщение, инфильтрацию или скопление жидкости, что может указывать на распространение процесса за пределы лимфоузлов.
Диагностические ограничения
Компьютерная томография имеет ряд ограничений, и с её помощью не всегда удаётся точно визуализировать следующие аспекты:
- Минимальное инфильтративное поражение без выраженной лимфаденопатии может не сопровождаться достаточными плотностными изменениями.
- Ранняя инфильтрация окружающих структур, таких как плевра, перикард или сосуды, может быть неочевидна без контрастного усиления.
- Функциональное состояние поражённых органов, в том числе дыхательных путей, оценивается косвенно, без возможности определения степени вентиляционной недостаточности.
- Определение метаболической активности образования невозможно без дополнительного проведения ПЭТ-КТ, что снижает точность оценки распространённости процесса.
Бесплатный телефон по России: +7(800)300-98-12
Список литературы:
- Власов П.В., Шейх Ж.В. Лучевая диагностика лимфом средостения // Вопросы онкологии. — 2004. — № 6. — С. 644-651.
- Аносов Н. А. Диагностика и лечение злокачественных лимфом. — СПб.: 1997. —С. 33-37.
- Дифференциальная диагностика В-клеточных лимфом средостения из крупных клеток: Диссертация/ Артемьева А.С. – 2015.
- Данилова Л. А., Родионов В. В., Арапова О. И. Злокачественные лимфомы. Учебно-методическое пособие для врачей и студентов. —Ульяновск, 2011. — 24 с.
- Тюрин И.Е., Евграфова С.Ю. Дифференциальная диагностика новообразований средостения//Атмосф. пульмонол. и аллергол. 2010, №4 — С. 16-22.
Информационные статьи о диагностике
ЕДИНЫЙ ЦЕНТР ЗАПИСИ НА МРТ И КТ



