КТ в диагностике пневмоцефалии
МСКТ при пневмоцефалии выявляет следующие анатомические признаки:
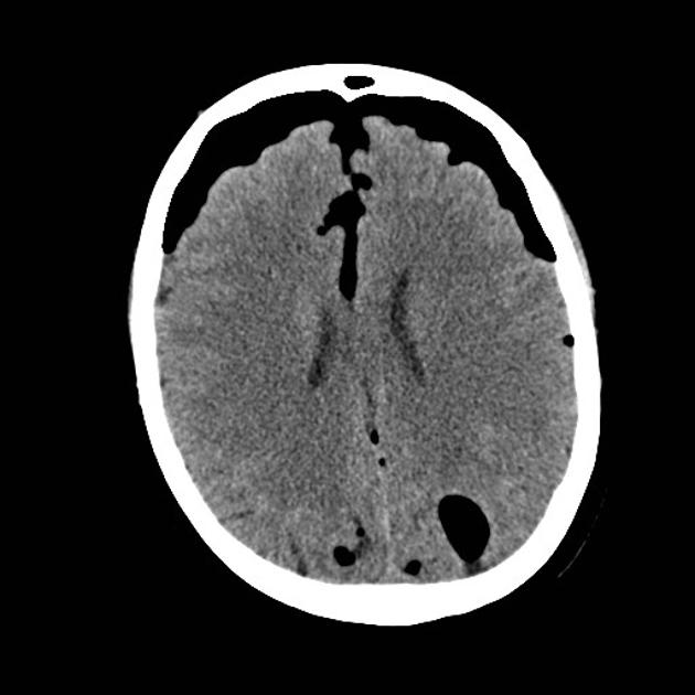
В нативном режиме определяется наличие газа в полостях черепа, чаще всего в области лобных, височных рогов боковых желудочков, супраселлярной цистерны, межполушарной щели или субдурального пространства, что свидетельствует о нарушении целостности твёрдых или мягких оболочек мозга.
В режиме высокоразрешающего сканирования костных структур визуализируются дефекты костей основания черепа, переломы свода, тонкие трещины клиновидной, решётчатой или височной костей, которые служат путём проникновения воздуха.
В режиме сканирования мягких тканей головы выявляется отсутствие структурной деформации вещества мозга вокруг скопления газа, если объём воздуха невелик, либо компрессия и сдавление прилежащих участков при напряжённой пневмоцефалии.
В реконструкции в сагиттальной и корональной проекциях определяется распространённость и локализация воздушных скоплений, что даёт представление о механизме поступления газа (открытая травма, внутричерепная операция, фистула).
В режиме с внутривенным контрастированием отсутствует накопление контрастного вещества в зонах скопления газа, но может визуализироваться усиление оболочек или участков воспалительной реакции при сочетанном менингите или абсцессе.
Диагностические преимущества
МСКТ позволяет детально визуализировать следующие диагностические параметры пневмоцефалии:
- Форма и объём газовых скоплений, что позволяет оценить выраженность пневмоцефалии и её потенциальную компрессию на структуры головного мозга.
- Локализация дефектов костной ткани, особенно в области основания черепа, что даёт возможность выявить источник проникновения воздуха.
- Характер повреждений мозговых оболочек, включая наличие фистул и потенциальных путей сообщения с носовыми синусами или полостью уха.
- Степень компрессии мозга или желудочковой системы при напряжённой форме пневмоцефалии, что важно для определения показаний к срочной хирургической помощи.
- Сопутствующие изменения при черепно-мозговой травме, такие как гематомы, переломы, очаги ушиба, которые могут сочетаться с поступлением воздуха.
Диагностические ограничения
Компьютерная томография имеет ряд ограничений, и с её помощью не всегда удаётся точно визуализировать следующие аспекты:
- Микроперфорации мозговых оболочек, которые не сопровождаются выраженным скоплением газа и не определяются на стандартных реконструкциях.
- Точное различие между воздухом в субарахноидальном и субдуральном пространстве, особенно при малых объёмах пневмоцефалии.
- Оценка функционального состояния мозговых структур и гемодинамических изменений, которые требуют дополнительных методов нейровизуализации.
- Обнаружение медленно накапливающегося газа при интермиттирующем сообщении с внешней средой, что может потребовать повторного исследования.
- Подтверждение наличия ликворной фистулы, если утечка спинномозговой жидкости не сопровождается поступлением достаточного объёма воздуха.
Бесплатный телефон по России: +7(800)300-98-12
Список литературы:
- Румянцев Ю.В., Бессмертный М.З. О травматической пневмоцефалии. //Вопр. нейрохирургии, 1979, №4, с. 47-49.
- Корякин, Н.Н. Пневмоцефалия / Н.Н. Корякин, И.А. Качков, A.M. Киселев // Нейрохирургия. 2002. - №2. - С. 64 - 69.
- Шелеско Е.В., Капитанов Д.Н., Кравчук А.Д., Охлопков В.А., Зайцев О.С., Черникова Н.А. Тактика лечения дефектов основания черепа, сопровождающихся пневмоцефалией. Журнал «Вопросы нейрохирургии» имени Н.Н. Бурденко. 2019;83(2):85‑92.
- «Способа лечения пневмоцефалии» № 2203694 от 10 мая, 2003 г. Соавт.: Качков И.А., Киселев A.M., Хусейн Н..//Бюл. №13 от 10.05.2003 г.
- Петров В.В. К вопросу профилактики напряженной пневмоцефалии при травме лобной пазухи // Современные проблемы науки и образования. – 2004. – № 2.
Информационные статьи о диагностике
ЕДИНЫЙ ЦЕНТР ЗАПИСИ НА МРТ И КТ



