МРТ, КТ, УЗИ в диагностике фиброза печени
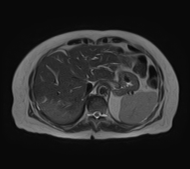
Магнитно-резонансная томография при фиброзе печени выявляет следующие анатомические признаки:
На Т1-взвешенных изображениях определяется снижение интенсивности сигнала от паренхимы печени за счёт её плотной структуры при выраженных фиброзных изменениях.
На Т2-взвешенных изображениях визуализируются гиперинтенсивные участки с неоднородной структурой, что отражает отёчные компоненты и застойные изменения на фоне портальной гипертензии.
На изображениях с подавлением сигнала от жира подчёркивается неоднородность сигнала от паренхимы и возможные фиброзные тяжи между сосудистыми структурами.
В режиме с подавлением сигнала от воды фиксируется зональность изменений в структуре печени с выраженными фиброзными перегородками и их протяжённостью.
В режиме динамического контрастного усиления определяется замедленное накопление контраста в фиброзной ткани и изменённый рисунок портального кровотока.
В режиме трёхмерной реконструкции визуализируется деформация долей печени, изменение сосудистого русла и признаки портальной гипертензии.
Диагностические преимущества МР-томографии
МРТ позволяет детально визуализировать следующие диагностические параметры:
- Толщина фиброзных перегородок и степень дольковой деформации паренхимы печени.
- Структура печёночной ткани с разграничением зон грубого фиброза и относительно сохранённых участков.
- Выраженность портального фиброза с оценкой деформации внутрипечёночных сосудов.
- Характер васкуляризации печени с оценкой перфузионного профиля в динамическом режиме.
- Наличие коллатеральных сосудов при развитии портальной гипертензии.
- Особенности морфологической перестройки долей печени и соотношения сегментов.
Диагностические ограничения МР-сканирования
Магнитно-резонансная томография имеет ряд ограничений, и с её помощью не всегда удаётся точно визуализировать следующие аспекты:
- Начальные стадии фиброза без выраженной зональности или изменения сигнала.
- Точная стадия фиброза без применения специфических методик эластографии.
- Перегородки, не приводящие к значительной деформации дольковой структуры.
- Отличие фиброза от слабоочагового воспаления без контрастного усиления.
- Состояние внутрипечёночных вен при незначительных изменениях кровотока.
- Ранние признаки портальной гипертензии без расширения сосудов.
Компьютерная томография не является базовым исследованием для диагностики фиброза печени, потому что не обеспечивает точного определения стадии фиброзных изменений и не позволяет надёжно оценить структуру внутрипечёночных перегородок на ранних этапах заболевания. Фиброз печени представляет собой прогрессирующее изменение печёночной ткани с формированием соединительнотканных перегородок и нарушением дольковой архитектуры. Базовым диагностическим исследованием является магнитно-резонансная томография с применением контрастного усиления. Оданко КТ выявляет следующие анатомические признаки:
В нативном режиме определяется умеренное снижение плотности паренхимы с неравномерным распределением плотностных характеристик.
В артериальной фазе контрастирования визуализируется неоднородное накопление контраста в участках с нарушенной архитектурой.
В портальной фазе фиксируется замедление и перераспределение кровотока с формированием сосудистых коллатералей.
В режиме сканирования мягких тканей выявляются признаки увеличения селезёнки и асцита при выраженном фиброзе.
В высокоразрешающем режиме возможно выявление фиброзных перегородок в виде плотных линейных включений.
В режиме трёхмерной реконструкции уточняется изменение формы печени и конфигурации воротной вены.
Диагностические преимущества компьютерного сканирования
МСКТ позволяет детально визуализировать следующие диагностические параметры:
- Степень неоднородности паренхимы и её деформации в поздних стадиях заболевания.
- Характер и протяжённость внутрипечёночных фиброзных перегородок при выраженном фиброзе.
- Изменения портального и печёночного кровотока с оценкой направления и скорости потока.
- Наличие варикозно расширенных вен в системе воротной вены и коллатеральных сосудов.
- Состояние селезёнки и наличие асцита как проявлений портальной гипертензии.
- Особенности структурной перестройки печени с утратой нормальной анатомии долей.
Диагностические ограничения КТ
Компьютерная томография имеет ряд ограничений, и с её помощью не всегда удаётся точно визуализировать следующие аспекты:
- Ранние изменения в паренхиме без плотностных отличий от интактной ткани.
- Слабовыраженные внутрипечёночные перегородки без кальцификации.
- Точная оценка стадии фиброза без сопоставления с клинико-лабораторными данными.
- Характер перфузии фиброзных участков без использования мультифазного контрастирования.
- Отличие фиброза от других причин неоднородности ткани без дополнительных исследований.
- Наличие слабовыраженных структурных изменений в начальных стадиях фиброзирования.
Ультразвуковое исследование не является базовым для диагностики фиброза печени, потому что не позволяет визуализировать ранние и тонкие фиброзные перегородки, а также не даёт точной оценки степени васкуляризации и стадий морфологических изменений. УЗИ выявляет следующие анатомические признаки:
В серошкальном режиме определяется повышение эхогенности паренхимы с нарушением однородной структуры и дольчатости.
В серошкальном режиме визуализируются утолщённые междольковые перегородки и неравномерность капсулы печени.
В динамическом режиме фиксируется изменение объёма печени при вдохе и признаков нарушения подвижности диафрагмального купола.
В режиме цветового допплеровского картирования выявляется снижение кровотока в воротной вене и его перераспределение.
В энергетическом допплеровском режиме фиксируется наличие коллатерального кровотока и утрата нормального сосудистого рисунка.
В В-режиме возможно выявление признаков портальной гипертензии: спленомегалии, асцита, расширения венозной сети.
Диагностические преимущества УЗ-исследования
Ультразвуковая диагностика позволяет детально визуализировать следующие диагностические параметры:
- Эхогенность паренхимы и её неоднородность при распространённом фиброзе.
- Толщина и эхоструктура фиброзных перегородок при поздних стадиях заболевания.
- Состояние сосудов печени с определением направления кровотока и его скорости.
- Изменение объёма печени и наличие деформации её контуров.
- Выявление признаков портальной гипертензии и асцита.
- Динамика сосудистой перестройки в ходе прогрессирования фиброзных изменений.
Диагностические ограничения УЗИ
Сонография имеет ряд ограничений, и с её помощью не всегда удаётся точно визуализировать следующие аспекты:
- Ранние стадии фиброза без явных эхоструктурных изменений.
- Тонкие перегородки при слабовыраженной деформации паренхимы.
- Оценка сосудистой перестройки без применения контрастных ультразвуковых методов.
- Точная характеристика васкуляризации при отсутствии допплеровского сигнала.
- Отличие фиброза от стеатоза и других причин эхогенных изменений.
- Выявление слабовыраженных признаков портальной гипертензии без спленомегалии или асцита.
Сравнительный анализ методов
|
Критерий |
КТ |
МРТ |
УЗИ |
|---|---|---|---|
|
Принцип работы |
Рентгеновские лучи, визуализация плотностных изменений ткани |
Магнитное поле и радиоволны, визуализация сигналов от тканей различной плотности |
Ультразвуковые волны, визуализация по эхогенности и сосудистым параметрам |
|
Чувствительность к изменениям структуры печени |
Высокая — выявляет плотные перегородки и неоднородность в поздних стадиях |
Высокая — визуализирует фиброзные перегородки и структуру паренхимы |
Средняя — эхоструктурные изменения становятся заметны при выраженном фиброзе |
|
Чувствительность к изменениям кровотока |
Средняя — фиксирует замедление и направление потока при контрастировании |
Высокая — оценивает перфузионные параметры и рисунок портального кровотока |
Средняя — определяется направление и скорость потока при допплерографии |
|
Определение границ фиброзных зон |
Хорошая — особенно при плотных линейных включениях |
Высокая — визуализируются зоны фиброза, деформация дольков и перегородок |
Умеренная — выявляются утолщённые перегородки и изменение капсулы |
|
Выявление портальной гипертензии |
Высокая — фиксируется увеличение селезёнки, асцит, коллатерали |
Высокая — определяются коллатеральные сосуды, изменение сосудистого русла |
Высокая — определяется расширение венозной сети, спленомегалия, асцит |
|
Визуализация сосудистой архитектуры |
Умеренная — видны крупные сосуды и направление потока при контрастировании |
Высокая — оценивается рисунок кровотока, васкуляризация, коллатерали |
Умеренная — фиксируются крупные сосуды, распределение потока |
|
Дифференциация фиброза от других изменений |
Ограничена — требуется сопоставление с лабораторными и клиническими данными |
Точная — разграничиваются зоны фиброза и участки с сохранённой структурой |
Ограничена — возможна путаница со стеатозом или другими эхогенными нарушениями |
|
Выявление асцита и изменений селезёнки |
Высокая — хорошо визуализируется жидкость и органомегалия |
Высокая — фиксируются изменения размеров и объёма брюшной полости |
Высокая — в В-режиме определяется асцит и увеличение селезёнки |
|
Контрастное усиление |
Улучшает оценку фиброза, кровотока и границ деформации |
Выявляет перфузионные изменения и степень васкуляризации |
Не применяется в базовом исследовании, требует контрастного УЗИ |
|
Лучевая нагрузка |
Высокая — 5–7 мЗв |
Отсутствует |
Отсутствует |
|
Продолжительность исследования |
5–10 мин |
30–60 мин |
10–15 мин |
Бесплатный телефон по России: +7(800)300-98-12
Список литературы:
- Логинов A.C., Прошина Л.А., Кузнецова Т.П. О значении некоторых биохимических показателей фиброза печени. Вопросы мед. химии, 1982, 28, 4,61-64.
- Мансуров Х.Х., Мироджов Г.К., Раджабова Н.И. Фиброз печени. Душанбе, 2000, 132 с.
- Павлов Ч.С., Золоторевский В.Б., Ивашкин В.Т. и др. Современные методы ранней диагностики фиброза печени // Клиническая медицина. 2005. Т. 83, №12. С. 58-60.
- Исаков В.А. Как определять выраженность фиброза печени и зачем? // Клиническая гастроэнтерология и гепатология. Русское издание 2008. - Т №1, номер 2: С. 72 - 75.
- Павлов Ч.С., Ивашкин В.Т., Шульпекова Ю.О., Золотаревский В.Б. Современные представления о патогенезе, диагностике и лечении фиброза печени. Российский журнал гастроэнтерологии, гепатологии, колопроктологии № 2, том 1. XV, 2005, С. 13-20.
Информационные статьи о диагностике
ЕДИНЫЙ ЦЕНТР ЗАПИСИ НА МРТ И КТ



