МРТ, КТ, УЗИ в диагностике грыжи пищевода
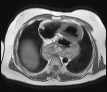
Магнитно-резонансная томография не является базовым исследованием для диагностики грыжи пищеводного отверстия диафрагмы, потому что не обеспечивает достоверного визуального контроля за динамическими изменениями положения желудка при смене положения тела и не позволяет выявить моментальное смещение абдоминальных органов в грудную полость в условиях физиологической нагрузки. Грыжа пищеводного отверстия диафрагмы представляет собой анатомическое перемещение кардиального или фундального отдела желудка через диафрагмальное отверстие, часто сопровождающееся гастроэзофагеальным рефлюксом. Базовым диагностическим исследованием является рентгеноконтрастное исследование пищевода с барием. МРТ выявляет следующие анатомические признаки:
На Т1-взвешенных изображениях определяется пролабирование кардиального отдела желудка через пищеводное отверстие диафрагмы с гипоинтенсивным сигналом стенок желудка относительно окружающих мягких тканей, что позволяет уточнить границы грыжевого дефекта.
На Т2-взвешенных изображениях визуализируется гиперинтенсивный сигнал от содержимого грыжевого мешка и слабовыраженный отек окружающих тканей, что помогает выявить воспалительные изменения и уточнить их распространённость.
В режиме с подавлением сигнала от жира определяется чёткое отграничение грыжевого выпячивания от окружающей жировой клетчатки, что даёт возможность более точно установить размеры и форму грыжи.
В режиме с подавлением сигнала от воды фиксируется утолщение стенки желудка в зоне пролабирования и изменение структуры стенки, что позволяет выявить признаки хронического воспаления или фиброза.
В режиме контрастного усиления определяется степень накопления контраста в стенке пролабированного отдела желудка, что уточняет характер васкуляризации и помогает исключить ишемические изменения.
В режиме трёхмерной реконструкции визуализируется пространственное положение грыжевого мешка относительно диафрагмы, сердца и сосудистых структур, что важно для предоперационного планирования.
Диагностические преимущества МР-томографии
МРТ позволяет детально визуализировать следующие диагностические параметры:
- Толщина стенки желудка в зоне пролабирования увеличивается при воспалении, что даёт возможность оценить активность патологического процесса.
- Структура грыжевого мешка определяется на основе различий в сигнальных характеристиках тканей, что позволяет уточнить состав и содержимое выпячивания.
- Степень воспалительных изменений в стенке желудка или окружающих тканях влияет на выбор тактики лечения и прогноз.
- Объём грыжевого содержимого оценивается по данным трёхмерной реконструкции, что имеет значение для определения степени сдавления органов средостения.
- Глубина пролабирования органов через пищеводное отверстие определяется при многоплоскостной реконструкции, что важно для классификации грыжи.
- Форма грыжевого дефекта уточняется по результатам послойной визуализации, что имеет значение для дифференцировки видов грыжи.
Диагностические ограничения МР-сканирования
Магнитно-резонансная томография имеет ряд ограничений, и с её помощью не всегда удаётся точно визуализировать следующие аспекты:
- Толщина диафрагмы в области пищеводного отверстия недостаточно чётко отображается при отсутствии выраженных изменений, что снижает диагностическую точность на ранних стадиях.
- Структура слизистой оболочки желудка в области грыжи недостаточно контрастируется без специальной подготовки, что ограничивает выявление слабовыраженных воспалительных процессов.
- Степень нарушений кровоснабжения стенки желудка в зоне грыжи может быть недооценена при незначительном изменении васкуляризации.
- Объём грыжевого содержимого сложно точно определить при частичном спадении органов в положении лёжа, что ограничивает оценку динамических характеристик.
- Глубина пролабирования органов в грудную полость может быть искажена при выраженных дыхательных движениях, что снижает точность классификации.
- Форма небольших грыжевых дефектов может быть недостаточно чётко видна при слабовыраженных изменениях тканей, что усложняет раннюю диагностику.
Компьютерная томография не является базовым исследованием для диагностики грыжи пищеводного отверстия диафрагмы, потому что не отражает функциональные аспекты грыжевого выпячивания при изменении положения тела и не позволяет достоверно различать подвижные формы грыжи, требующие дифференциальной оценки. Оданко КТ выявляет следующие анатомические признаки:
В нативном режиме определяется пролабирование желудка через пищеводное отверстие диафрагмы с плотностью тканей, характерной для мягкотканевых структур.
В режиме сканирования мягких тканей визуализируется чёткая граница между грыжевым мешком и окружающими органами средостения с контрастностью по плотности.
В режиме с контрастированием определяется усиление стенки желудка в зоне пролабирования, что позволяет уточнить наличие воспалительных изменений.
В режиме высокоразрешающего сканирования костных структур выявляется морфология пищеводного отверстия диафрагмы и его деформации.
В режиме трёхмерной реконструкции определяется пространственное взаимоотношение пролабированного желудка, диафрагмы и органов грудной полости.
Диагностические преимущества компьютерного сканирования
МСКТ позволяет детально визуализировать следующие диагностические параметры:
- Толщина стенки желудка в зоне пролабирования увеличивается при наличии воспаления или рубцевания, что позволяет оценить тяжесть процесса.
- Структура грыжевого содержимого отображается благодаря разнице плотностей, что помогает дифференцировать ткани желудка и прилежащих органов.
- Степень пролабирования желудка оценивается по смещению анатомических ориентиров, что имеет значение для установления типа грыжи.
- Объём грыжевого мешка определяется по многоплоскостным реконструкциям, что важно для оценки степени компрессии органов.
- Глубина пролабирования органов через пищеводное отверстие уточняется на основании серии аксиальных срезов, что способствует правильной постановке диагноза.
- Форма грыжевого выпячивания определяется по данным трёхмерной реконструкции, что позволяет планировать хирургическую коррекцию.
Диагностические ограничения КТ
Компьютерная томография имеет ряд ограничений, и с её помощью не всегда удаётся точно визуализировать следующие аспекты:
- Толщина слизистой оболочки желудка в зоне грыжи недостаточно различима при стандартном сканировании без контрастного усиления.
- Структура стенки желудка оценивается ограниченно без возможности детального анализа послойного строения.
- Степень воспалительных изменений в слизистой оболочке выявляется только при выраженных изменениях плотности, что снижает чувствительность на ранних стадиях.
- Объём слабовыраженных грыжевых мешков может быть недооценён при частичном спадении органов в грудной полости.
- Глубина пролабирования желудка в грудную полость может быть искажена при недостаточной задержке дыхания во время сканирования.
- Форма малых грыжевых дефектов может быть недостаточно чётко определена при наложении артефактов от дыхательных движений.
Ультразвуковое исследование не является базовым исследованием для диагностики грыжи пищеводного отверстия диафрагмы, потому что не обеспечивает достаточную глубину проникновения для достоверной визуализации смещённого желудка в грудной полости и ограничено акустическим доступом через костные структуры и газосодержащие органы. Косвенно УЗИ выявляет следующие анатомические признаки:
В режиме серошкальной визуализации определяется пролабирование желудка через пищеводное отверстие диафрагмы в грудную полость как анэхогенное или гипоэхогенное образование.
В режиме цветового допплеровского картирования визуализируется нарушение нормального кровотока в стенке пролабированного желудка.
В энергетическом допплеровском режиме определяется слабовыраженное кровоснабжение грыжевого содержимого, что может указывать на ишемические изменения.
В режиме компрессионного сканирования выявляется изменение подвижности желудка в области пролабирования при изменении положения тела.
В режиме трёхмерной ультразвуковой реконструкции визуализируется объём и форма грыжевого мешка относительно диафрагмы и сердца.
Диагностические преимущества УЗ-исследования
Ультразвуковая диагностика позволяет детально визуализировать следующие диагностические параметры:
- Толщина стенки желудка в зоне грыжи определяется по степени эхогенности, что позволяет оценить наличие воспалительных изменений.
- Структура грыжевого мешка выявляется благодаря различию акустических свойств тканей, что помогает уточнить состав содержимого.
- Степень нарушения кровотока в стенке пролабированного желудка отражает выраженность ишемических процессов.
- Объём грыжевого содержимого оценивается в режиме трёхмерной реконструкции, что позволяет уточнить степень компрессии органов.
- Глубина пролабирования желудка относительно уровня диафрагмы определяется при изменении положения пациента, что помогает классифицировать грыжу.
- Форма грыжевого дефекта уточняется по данным серошкального сканирования, что имеет значение для планирования оперативного лечения.
Диагностические ограничения УЗИ
Сонография имеет ряд ограничений, и с её помощью не всегда удаётся точно визуализировать следующие аспекты:
- Толщина стенки желудка может быть недостаточно различима при наличии выраженного газового содержимого в желудке.
- Структура пролабированного органа оценивается ограниченно при слабовыраженных изменениях акустической плотности.
- Степень пролабирования органов трудно определить при невозможности полного сканирования области пищеводного отверстия.
- Объём грыжевого мешка может быть недооценён при затруднённой визуализации за счёт межрёберных теней.
- Глубина пролабирования желудка в грудную полость определяется ограниченно при наличии сопутствующего ожирения.
- Форма малых грыжевых дефектов может быть недостаточно чётко видна из-за ограниченного акустического окна.
Сравнительный анализ методов
|
Критерий |
КТ |
МРТ |
УЗИ |
|---|---|---|---|
|
Толщина стенки желудка в зоне пролабирования |
Определяется при контрастировании, увеличение видно при воспалении |
Определяется по гиперинтенсивности или изменению структуры стенки |
Оценивается по утолщению и изменению эхогенности стенки |
|
Структура грыжевого содержимого |
Визуализируется по разнице плотностей между желудком и окружающими тканями |
Определяется по различию сигнала на Т1 и Т2 изображениях |
Оценивается по акустическим характеристикам тканей грыжевого мешка |
|
Степень воспалительных изменений |
Выявляется при усилении плотности стенки желудка в зоне пролабирования |
Определяется по усилению контраста и утолщению стенки |
Частично оценивается по снижению кровотока и изменению эхоструктуры |
|
Объём грыжевого содержимого |
Точно определяется на многоплоскостных реконструкциях |
Вычисляется на трёхмерной реконструкции по площади пролабирования |
Оценивается в серошкальном и трёхмерном режимах с ограничениями |
|
Глубина пролабирования желудка через пищеводное отверстие |
Уточняется по аксиальным срезам и реконструкциям |
Определяется по многоплоскостной визуализации |
Оценивается при динамическом исследовании, ограниченно |
|
Форма грыжевого дефекта |
Визуализируется на трёхмерной реконструкции с точной топографией |
Устанавливается по последовательной многоплоскостной визуализации |
Оценивается в серошкальном режиме, при больших грыжах точнее |
|
Лучевая нагрузка |
Присутствует |
Отсутствует |
Отсутствует |
|
Продолжительность исследования |
5–10 минут |
20–30 минут |
10–15 минут |
Бесплатный телефон по России: +7(800)300-98-12
Список литературы:
- Стяжкина, С.Н. Особенности диагностики и лечения больных с грыжами пищеводного отверстия диафрагмы / С.Н. Стяжкина // Современные тенденции развития науки и технологий. 2016. № 4. С. 100-103.
- Березов Ю.Е., Григорьев М.С. Хирургия пищевода. — М.: Медицина, 1965. — C. 175-188.
- Василенко В.Х., Гребнев А.Л. Грыжи пищеводного отверстия диафрагмы. — М.: Медицина, 1978. — 256 с.
- Зябрева, И.А. Грыжи пищеводного отверстия диафрагмы: спорные, нерешённые и перспективные аспекты проблемы (обзор литературы) / И.А. Зябрева, Т.Е. Джулай // Верхневолжский медицинский журнал. 2015. Т.14. № 4. С. 24-28.
- Способ диагностики грыж пищеводного отверстия диафрагмы // Патент на изобретение RUS 2504332 14.06.2012 / Мирончев А.О., Каган И.И., Рыков А.Е., Мирончев Е.О., Вейцман И.Д.
- Синайская, Е.И. Дифференциальная диагностика грыж пищеводного отверстия диафрагмы / Е.И. Синайская, С.Р. Ротар // Бюллетень медицинских интернет-конференций. - 2014. - Т. 4, № 4. - С. 285.
Информационные статьи о диагностике
ЕДИНЫЙ ЦЕНТР ЗАПИСИ НА МРТ И КТ



