УЗИ и КТ в диагностике сигмоидита
Сигмоидит представляет собой воспаление сигмовидной кишки, часто сопровождающееся инфильтрацией окружающей клетчатки и нарушением просвета. Для диагностики назначаются колоноскопия с биопсией и компьютерная томография. Ультразвуковое исследование не является базовым исследованием для диагностики сигмоидита, потому что не позволяет полноценно визуализировать всю толщу стенки сигмовидной кишки, степень распространения воспаления и наличие осложнений. Оданко УЗИ экспертного класса выявляет следующие анатомические признаки:
В серошкальном режиме визуализируется утолщение стенки сигмовидной кишки с утратой её нормальной слоистой структуры, преимущественно за счёт подслизистого и мышечного слоя.
В режиме мягкотканевого сканирования определяется снижение эхогенности стенки, отёчность окружающей клетчатки и нечёткость наружного контура кишки.
Просвет кишки может быть сужен, при этом отмечается сниженная подвижность её стенок и отсутствие полноценной перистальтики.
Фиксируется усиление эхогенности паракишечной жировой ткани, особенно на стороне воспаления.
В допплеровском режиме выявляется усиление сосудистого рисунка в стенке кишки и прилежащих тканях, отражающее активную воспалительную гиперемию.
Диагностические преимущества УЗ-исследования
Ультразвуковая диагностика позволяет детально визуализировать следующие диагностические параметры:
- Толщина стенки и глубина поражения позволяют оценить выраженность воспалительного процесса.
- Сохранность или нарушение слоистости стенки указывает на степень вовлечения слоёв кишечной стенки.
- Характер изменений в окружающей клетчатке даёт представление о распространении воспаления за пределы кишки.
- Сосудистая реакция в допплеровском режиме указывает на активность воспаления и его локализацию.
- Степень деформации контура и подвижности сигмовидной кишки помогает дифференцировать острое и хроническое течение.
Диагностические ограничения УЗИ
Сонография имеет ряд ограничений, и с её помощью не всегда удаётся точно визуализировать следующие аспекты:
- Избыточное газонаполнение кишечника ограничивает визуализацию стенки и паракишечной клетчатки.
- Глубокое расположение сигмовидной кишки у пациентов с ожирением снижает точность оценки.
- Начальные изменения при поверхностном воспалении могут не сопровождаться выраженными эхографическими признаками.
- Наличие соседних кишечных петель может затруднять локализацию воспалительного очага.
- Нечёткая визуализация задней стенки кишки ограничивает оценку её целостности и степени вовлечения в процесс.
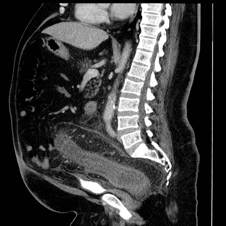
Компьютерная томография при сигмоидите хорошо выявляет следующие анатомические признаки:
В нативном режиме определяется утолщение стенки сигмовидной кишки, чаще сегментарного характера, с нарушением её нормальной дифференциации.
В режиме сканирования мягких тканей визуализируется отёк стенки, инфильтрация окружающей жировой клетчатки и возможное накопление жидкости в паракишечной зоне.
В режиме с контрастированием фиксируется интенсивное контрастное усиление слизистого слоя при снижении плотности подслизистого слоя, отражающее отёк и гиперемию.
На фоне воспаления может отмечаться сужение просвета кишки, сглаженность складок и деформация её хода.
На реконструированных срезах определяется протяжённость воспалительного участка, его влияние на соседние структуры и наличие осложнений.
Диагностические преимущества компьютерного сканирования
МСКТ позволяет детально визуализировать следующие диагностические параметры:
- Толщина стенки и плотность её слоёв дают информацию о фазе воспалительного процесса.
- Протяжённость поражения и изменения в окружающей клетчатке уточняют степень вовлечённости прилежащих тканей.
- Характер контрастного усиления слизистой оболочки позволяет отличить воспаление от ишемии или опухоли.
- Наличие жидкости, газа или плотных включений в околокишечной клетчатке позволяет исключить осложнения.
- Сравнение с другими участками толстой кишки помогает подтвердить локализацию процесса и исключить тотальные формы.
Диагностические ограничения КТ
Компьютерная томография имеет ряд ограничений, и с её помощью не всегда удаётся точно визуализировать следующие аспекты:
- Начальные воспалительные изменения без выраженного отёка могут не проявляться на стандартных срезах.
- Сходство морфологических признаков с другими воспалительными или неопластическими процессами ограничивает специфичность.
- Сегментарные изменения без чётких краевых ориентиров затрудняют локализацию при атипичном расположении кишки.
- При отсутствии контрастного усиления невозможно достоверно оценить перфузию и целостность слизистой оболочки.
- Фиксированная деформация стенки после хронического процесса может имитировать активное воспаление.
Сравнительная анализ методов
|
Критерий |
УЗИ |
КТ |
|---|---|---|
|
Принцип работы |
Визуализация структуры и кровотока сигмовидной кишки на основе отражения ультразвука |
Оценка плотности тканей и накопления контраста в толще стенки и окружающих структурах |
|
Толщина и структура стенки |
Утолщение с нарушением слоистости, преимущественно подслизистого и мышечного слоя |
Уплотнение стенки с отёком и нарушением её дифференциации |
|
Паракишечная клетчатка |
Повышенная эхогенность и отёчность, особенно в зоне воспаления |
Инфильтрация и снижение плотности, возможна свободная жидкость |
|
Перистальтика |
Снижение подвижности воспалённого сегмента |
Уточняется по форме и заполнению — сглаженность и сужение просвета |
|
Контур и форма кишки |
Нечёткий наружный контур и локальная деформация |
Деформация хода, сглаженность складок и асимметрия |
|
Васкуляризация стенки |
Усиление кровотока в зоне воспаления по данным допплерографии |
Интенсивное накопление контраста в слизистом слое |
|
Оценка локализации процесса |
Чёткое определение воспаления при доступности сигмовидной кишки |
Полная анатомическая карта с уточнением распространённости и локализации |
|
Дифференциация с другими состояниями |
Затруднена при слабовыраженных изменениях |
Возможность исключения ишемии, опухоли или дивертикулита |
|
Лучевая нагрузка |
Отсутствует |
Присутствует |
|
Продолжительность исследования |
Около 20 минут, зависит от газонаполнения и состояния кишечника |
5–7 минут при использовании стандартного протокола |
Бесплатный телефон по России: +7(800)300-98-12
Список литературы:
- Фролькис А. В. Функциональная диагностика заболеваний кишечника. — М.: Медицина, 1973. — 238 с.
- Диагностика болезней органов пищеварения .Практическое руководство / Окороков А.Н. - 2000
- Воробьев Г. И., Халиф И. Л. Неспецифические воспалительные заболевания кишечника. — М.: Миклош, 2008. — 422 с.
- Пропедевтика внутренних болезней / Мухин Н.А., Моисеев В.С. – 2008
- Гребенев А. Л., Мягкова Л. П. Болезни кишечника. — М.: Медицина, 1994. — 400 с.
Информационные статьи о диагностике
ЕДИНЫЙ ЦЕНТР ЗАПИСИ НА МРТ И КТ



