Грибковая пневмония представляет собой инфекционное поражение лёгочной ткани, вызываемое условно-патогенными или патогенными грибами (например, Aspergillus, Candida), и чаще развивается у пациентов с иммуносупрессией. Основными методами диагностики являются микроскопическое и культуральное исследование бронхоальвеолярного лаважа или мокроты, ПЦР и определение специфических антигенов (галактоманнан, бета-D-глюкан), а также бронхоскопия с биопсией.
МСКТ в диагностике грибковой пневмонии
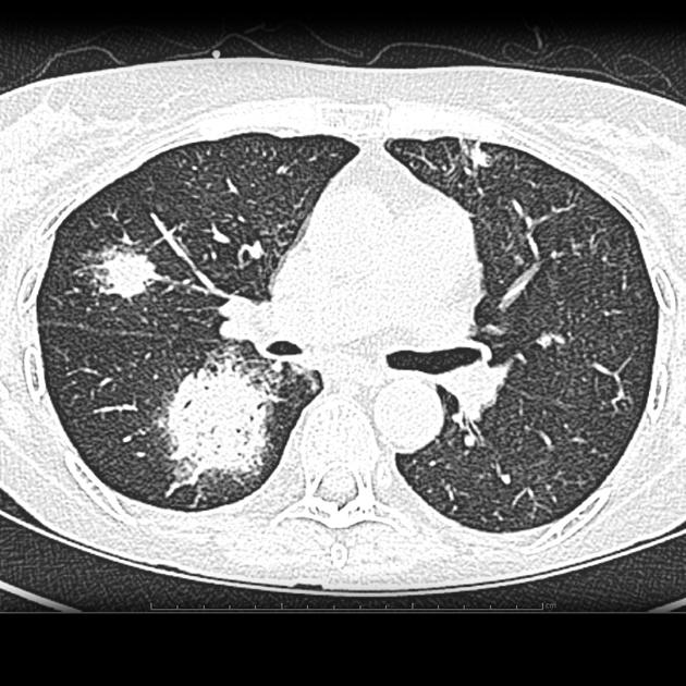
КТ при грибковой пневмонии выявляет следующие анатомические признаки:
В нативном режиме определяется наличие инфильтративных очагов с нечёткими или лобулярными контурами, преимущественно в нижних или средних долях, что указывает на активное грибковое поражение лёгочной ткани.
В режиме сканирования мягких тканей визуализируются зоны консолидации с элементами воздушных включений, формирующих феномен "полумесяца" или "ауры", что отражает наличие некроза и воспаления.
В режиме с контрастированием определяется отсутствие накопления контраста в центральных участках инфильтрата и периферическое усиление, что свидетельствует о васкулите или сосудистом тромбозе.
В режиме высокоразрешающего сканирования лёгочной ткани выявляются слабовыраженные узелки с окружающей зоной "матового стекла", а также формирующиеся полости распада с тонкой или утолщённой стенкой.
В режиме с отсроченным контрастированием визуализируется отсутствие перфузии в некротизированных участках и усиление плотности по периферии, что подтверждает прогрессирующий деструктивный процесс.
В режиме реконструкции в нескольких плоскостях уточняется анатомическая распространённость очагов, вовлечение плевры, наличие плеврального выпота и контакт с бронхиальным деревом.
Диагностические преимущества
МСКТ позволяет детально визуализировать следующие диагностические параметры:
- Размер, плотность и морфология инфильтратов в разных фазах сканирования дают представление о глубине поражения.
- Форма и толщина стенок полостей, формирующихся в очагах, позволяют отличить грибковую инфекцию от бактериального абсцесса.
- Наличие симптома "полумесяца" или "ауры" фиксируется в высокоразрешающем режиме и является характерным аспектом инвазивного микоза.
- Степень перифокального отёка и зонирования ткани определяются в режиме сканирования мягких тканей.
- Контрастные особенности инфильтрата указывают на нарушение сосудистой проходимости и ишемические компоненты.
Объём поражения, количество очагов и симметричность распространения уточняются при трёхмерной реконструкции.
Диагностические ограничения
Компьютерная томография имеет ряд ограничений, и с её помощью не всегда удаётся точно визуализировать следующие аспекты:
- Очаги малых размеров на ранней стадии без выраженной консолидации могут быть неотличимы от неспецифических воспалительных изменений.
- Отличие грибковых очагов от опухолевых узлов требует клинико-лабораторного подтверждения.
- Некротизированные зоны при других формах пневмоний могут имитировать грибковую деструкцию.
- Достоверная визуализация бронхиального дерева при наличии полостей и отёка затруднена без бронхоскопии.
- Функциональное состояние лёгочной ткани и степень газообмена не определяются в рамках КТ-исследования.
- Отсутствие типичных признаков при смешанных или хронических формах микоза ограничивает чувствительность метода.
Бесплатный телефон по России: +7(800)300-98-12
Список литературы:
- Власов П.В., Шейх Ж.В. Грибковые пневмонии // Мед. визуализация. 2004. - № 2. - С. 57-64.
- Власов П.В. Лучевая диагностика заболеваний органов грудной полости//Видар, 2006. С. 293-306
- Шейх Ж.В., Власов П.В. Грибковые пневмонии. Материалы Всероссийской научно практической конференции «Эффективные технологии организации медицинской помощи населению», посвящ. 75 - летию ГКБ №1 г.Новокузнецка.
- Казарова Т. А. Значение грибов рода Aspergillus в развитии бронхолегочной патологии: Обзор // Проблемы туберкулеза. 1998. - № 1. -С. 57-61.
- Портной, Л.М. Компьютерная томография и легочная патология / Л.М. Портной, Г.А. Петрова, В.О. Нефедова // Вестник рентгенологии и радиологии. - 1995. - №5. - С. 5-12.
Информационные статьи о диагностике
ЕДИНЫЙ ЦЕНТР ЗАПИСИ НА МРТ И КТ



