Липома — это доброкачественное жировое образование, часто выявляемое случайно и не имеющее клинического значения при небольших размерах. КТ может обнаружить липоматозное образование за счёт его характерной низкой плотности, но не позволяет детально оценить его связь с окружающими структурами.
МСКТ в диагностике липомы головного мозга
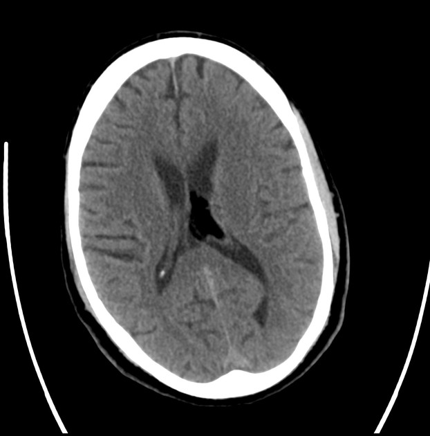
МСКТ при липоме головного мозга выявляет следующие анатомические аспекты:
В нативном режиме определяется гиподенсное образование с чёткими контурами, отсутствие перифокального отёка, возможное расположение в области мозолистого тела, межполушарной щели или супратенториального пространства, однородная структура с низкой рентгеновской плотностью, характерной для жировой ткани.
В режиме сканирования мягких тканей визуализируется изоденсное с жировой тканью образование, отсутствие структурных изменений окружающих тканей, возможное сдавление прилежащих сосудов, отсутствие кальцификаций или некротических зон.
В режиме с контрастированием выявляется отсутствие накопления контраста в липоматозных структурах, возможное наличие капсулы вокруг образования, отсутствие инфильтративного роста, чёткое разграничение с окружающими тканями.
В режиме высокоразрешающего сканирования костных структур определяется возможное сдавление костных элементов при крупных липомах, отсутствие эрозии или деформации черепных костей, возможное расширение ликворных пространств при длительном сдавлении прилежащих структур.
Диагностические преимущества
МСКТ позволяет детально визуализировать следующие диагностические параметры липомы головного мозга:
- Размер и локализацию липоматозного образования, что даёт возможность оценить его расположение и влияние на окружающие структуры.
- Структура липомы, что позволяет выявить её однородность, отсутствие участков некроза, кальцификаций и васкуляризации.
- Отсутствие инфильтративного роста, что даёт информацию о доброкачественном характере образования и его чётких границах.
- Взаимодействие липомы с прилежащими тканями, что позволяет определить возможное компрессионное воздействие на сосудистые и ликворные пути.
- Оценка возможных осложнений, что даёт возможность выявить риск ликвородинамических нарушений при крупных липомах.
Диагностические ограничения
Компьютерная томография имеет ряд ограничений, и с её помощью не всегда удаётся точно визуализировать следующие аспекты образования:
- Молекулярный состав липоматозной ткани, что требует проведения МР-спектроскопии для оценки её биохимических характеристик.
- Структурные изменения в окружающих тканях, что может потребовать использования МРТ для более детального изучения мягкотканевых структур.
- Функциональное влияние липомы на мозговую деятельность, что невозможно определить без дополнительных методов нейрофизиологического обследования.
- Динамика роста липомы, что требует повторных исследований для оценки её стабильности или возможного увеличения размеров.
- Границы липоматозного процесса, что может быть затруднено при малых размерах образования и его глубоком расположении в мозговых структурах.
Бесплатный телефон по России: +7(800)300-98-12
Список литературы:
- Триуморов А.В. Топическая диагностика заболеваний нервной системы. - Л.: Медицина, 1974. - 248 с.
- Бейн Б.Н., Якушев К.Б. Диагностика и лечебная тактика при врождённых липомах головного мозга. Матер. Приволжской окружной научно-практической конференции «Актуальные вопросы перинатальной патологии». Пермь. 2003. С. 71-75.
- Нуньес Дж.К., Мартинс Р.Ф., Бастос А. и др. Липома головного мозга, гипоплазия мозолистого тела и полимикрогирия при семейном множественном липоматозе. Клиника нейрол. Нейрохирургия. 2012. Октябрь. № 29. с. 3-7.
- Мацко Д.Е. Опухоли центральной нервной системы – взгляд клинического патолога // 2013.
- Йылмаз Н., Унал О., Киймаз Н., Йылмаз С., Этлик О. Внутричерепные липомы - клиническое исследование. Клиническая неврология и нейрохирургия. 2006 июнь;108(4):363-8.
Информационные статьи о диагностике
ЕДИНЫЙ ЦЕНТР ЗАПИСИ НА МРТ И КТ



