Виды неврином
Невриномы (альтернативное название шванномы) — это доброкачественные опухоли, происходящие из шванновских клеток, которые формируют миелиновую оболочку периферических нервов. В большинстве случаев они растут медленно, имеют капсулу и редко перерождаются в злокачественные формы.
Вестибулярная шваннома (невринома слухового нерва) - наиболее частый тип, локализуется на восьмой паре черепных нервов (n. vestibulocochlearis). Она часто проявляется снижением слуха, шумом в ухе, головокружением и нарушением равновесия и может быть односторонней или двусторонней (при нейрофиброматозе II типа).
Спинальная шваннома - опухоль корешков спинного мозга, чаще всего в шейном или грудном отделе. Клинически она проявляется корешковым болевым синдромом, парестезиями, нарушением двигательной функции при сдавлении спинного мозга.
Церебральные шванномы черепных нервов включают шванномы тройничного нерва, языкоглоточного, блуждающего нерва. Симптоматика образования зависит от поражённого нерва (например, невралгия, дисфагия, дизартрия).
Периферическая шваннома располагается в области конечностей, шеи или туловища вдоль периферических нервов и может пальпироваться как подвижное плотное образование, нередко безболезненное. Иногда у пациента вызывает неврологические симптомы при сдавлении нерва.
Интракраниальные шванномы могут развиваться в области других черепных нервов и внутричерепных структур, иногда имитируя менингиому.
Множественные шванномы (шваноматоз) - генетически обусловленное заболевание, характеризующееся наличием множественных шванном по телу без поражения слуховых нервов (в отличие от НФ2), которое ожет сочетаться с болевым синдромом и дисплазиями.
Ангиоматозная шваннома - редкий гистологический подтип с выраженной сосудистой васкуляризацией. Она может кровоточить или быстро увеличиваться в размерах.
Злокачественная шваннома (злокачественная опухоль из шванновских клеток, MPNST) - редкая, агрессивная опухоль, чаще при нейрофиброматозе I типа. Склонна к рецидивам и метастазированию, требует радикального лечения.
МРТ, КТ, УЗИ в диагностике невриномы
Для диагностики используется магнитно-резонансная томография, а при противопоказаниях или сомнениях возможен ультразвуковой контроль. Магнитно-резонансная томография выявляет следующие анатомические признаки:
Вестибулярная шваннома
В режиме Т1 визуализируется гипоинтенсивное или изоинтенсивное образование в области внутреннего слухового прохода или мосто-мозжечкового угла.
В режиме Т2 выявляется гиперинтенсивный сигнал с чёткими границами, деформирующий внутренний слуховой проход.
В режиме с подавлением сигнала от жидкости подчёркивается контур опухоли, степень воздействия на окружающие ликворные пространства.
В режиме с подавлением сигнала от жира определяется структура прилежащих тканей и степень инфильтрации.
В режиме с контрастированием выявляется интенсивное равномерное или кольцевидное накопление контраста.
Спинальная шваннома
В режиме Т1 определяется гипоинтенсивное или изоинтенсивное образование в области межпозвоночного отверстия или внутри спинального канала.
В режиме Т2 фиксируется гиперинтенсивный сигнал от опухоли с возможным расширением дурального мешка.
В режиме с подавлением сигнала от жидкости подчёркиваются границы опухоли, степень компрессии спинного мозга.
В режиме с подавлением сигнала от жира визуализируется степень поражения паравертебральных мягких тканей.
В режиме с контрастированием выявляется равномерное или неоднородное накопление контраста в структуре опухоли.
Церебральные шванномы черепных нервов
В режиме Т1 фиксируется гипоинтенсивное или смешанное по интенсивности образование вдоль соответствующего нерва.
В режиме Т2 выявляется гиперинтенсивный сигнал, подчёркиваются размеры и структура опухоли.
В режиме с подавлением сигнала от жидкости хорошо визуализируется воздействие опухоли на окружающие ликворные пространства.
В режиме с подавлением сигнала от жира уточняется степень вовлечения окружающих мягких тканей и костных каналов.
В режиме с контрастированием выявляется интенсивное накопление контраста в опухоли.
Периферическая шваннома
В режиме Т1 визуализируется гипоинтенсивное или изоинтенсивное овальное образование по ходу периферического нерва.
В режиме Т2 определяется гиперинтенсивный сигнал с чёткими контурами.
В режиме с подавлением сигнала от жидкости подчёркивается
структура опухоли и степень компрессии окружающих тканей.
В режиме с подавлением сигнала от жира фиксируется граница опухоли и прилежащих мягких тканей.
В режиме с контрастированием выявляется равномерное или неоднородное накопление контраста.
Интракраниальные шванномы
В режиме Т1 выявляется гипоинтенсивное или смешанное по интенсивности объёмное образование.
В режиме Т2 определяется гиперинтенсивный сигнал с возможными кистозными компонентами.
В режиме с подавлением сигнала от жидкости подчёркивается граница опухоли, степень воздействия на окружающие структуры мозга.
В режиме с подавлением сигнала от жира фиксируется степень вовлечения оболочек и костных элементов.
В режиме с контрастированием выявляется равномерное или кольцевидное накопление контраста.
Шваноматоз
В режиме Т1 выявляются множественные гипоинтенсивные образования по ходу различных периферических и черепных нервов.
В режиме Т2 фиксируются гиперинтенсивные сигналы от опухолей различного размера.
В режиме с подавлением сигнала от жидкости подчёркиваются контуры опухолей и их количество.
В режиме с подавлением сигнала от жира визуализируется степень поражения мягких тканей в разных анатомических зонах.
В режиме с контрастированием фиксируется различная степень накопления контраста в опухолях.
Ангиоматозная шваннома
В режиме Т1 определяется гипоинтенсивное или смешанное по интенсивности образование с выраженными сосудами.
В режиме Т2 фиксируется гиперинтенсивный сигнал с множественными сосудистыми структурами.
В режиме с подавлением сигнала от жидкости подчёркивается сосудистая природа опухоли.
В режиме с подавлением сигнала от жира визуализируется структура прилежащих мягких тканей.
В режиме с контрастированием выявляется интенсивное, быстрое и неоднородное накопление контраста.
Злокачественная шваннома (MPNST)
В режиме Т1 фиксируется гипоинтенсивное или смешанное по интенсивности образование с размытыми краями.
В режиме Т2 определяется гиперинтенсивный сигнал, гетерогенная структура опухоли с некротическими участками.
В режиме с подавлением сигнала от жидкости подчёркивается зона отёка и некроза.
В режиме с подавлением сигнала от жира фиксируется инфильтрация мягких тканей, вовлечение окружающих структур.
В режиме с контрастированием выявляется интенсивное, неоднородное накопление контраста, признаки инфильтративного роста.
Невринома Мортона
В режиме Т1 визуализируется гипоинтенсивное или изоинтенсивное округлое или овальное образование в межплюсневом промежутке (чаще между III и IV плюсневыми костями).
В режиме Т2 выявляется гиперинтенсивный сигнал от опухоли, подчёркивающий её размеры и структуру.
В режиме с подавлением сигнала от жидкости подчёркивается контур образования, степень воздействия на окружающие связочные и сухожильные структуры.
В режиме с подавлением сигнала от жира хорошо визуализируется граница опухоли, наличие перифокального отёка.
В режиме с контрастированием определяется интенсивное равномерное или умеренно неоднородное накопление контраста в опухоли.
Диагностические преимущества магнитно-резонансной томографии
Магнитно-резонансная томография позволяет детально визуализировать следующие диагностические параметры:
- Форма и размеры невриномы Мортона определяются с высокой точностью, что даёт возможность установить клиническую значимость утолщения и степень компрессии нерва.
- Сигнальные характеристики на разных режимах обеспечивают различие между мукоидной дегенерацией, фиброзной пролиферацией и опухолевым компонентом.
- Состояние окружающих тканей, включая жировую клетчатку, межплюсневые связки и суставные капсулы, оценивается в прямой проекции с чёткой локализацией зоны поражения.
- Контрастное усиление даёт информацию о васкуляризации образования, что позволяет отличить доброкачественные опухоли от воспалительных или сосудистых процессов.
- Многоплоскостная реконструкция обеспечивает анатомическую детализацию межплюсневых пространств в трёх измерениях без лучевой нагрузки.
Диагностические ограничения МРТ
Магнитно-резонансная томография имеет следующие ограничения при визуализации невриномы Мортона:
- Образования менее 5 мм, особенно при отсутствии отёка или выраженного контрастного усиления, могут не выделяться на фоне мягких тканей.
- Невозможно установить гистологический тип утолщения нерва, поскольку МРТ не даёт информации о клеточном составе.
- При наличии ортопедических конструкций или металлоконструкций в области стопы визуализация ухудшается из-за артефактов.
- Невринома с преобладанием фиброзного компонента может давать слабый сигнал, что затрудняет интерпретацию в стандартных режимах.
- При наличии выраженного отёка стопы или плантарного фасциита различие между нервным утолщением и воспалением может быть неочевидным.
Компьютерная томография выявляет следующие анатомические аспекты:
Вестибулярная шваннома
В нативном режиме визуализируется объёмное образование в области внутреннего слухового прохода с расширением костного канала и возможной деформацией прилежащих структур.
В режиме сканирования мягких тканей определяется плотностная неоднородность опухоли, чёткие или размытые контуры, признаки воздействия на мозговые структуры.
В режиме с контрастированием фиксируется интенсивное равномерное или кольцевидное накопление контраста, подчёркивающее границы опухоли.
Спинальная шваннома
В нативном режиме выявляется расширение межпозвоночного отверстия, деформация или деструкция прилежащих костных структур позвоночника.
В режиме сканирования мягких тканей визуализируется округлое или овальное образование в области межпозвоночного отверстия или в спинальном канале.
В режиме с контрастированием определяется равномерное или умеренно неоднородное накопление контраста в опухоли.
Церебральные шванномы черепных нервов
В нативном режиме фиксируются деформация или расширение костных каналов соответствующих черепных нервов.
В режиме сканирования мягких тканей выявляется плотностное образование вдоль соответствующего нерва, с чёткими или размытыми краями.
В режиме с контрастированием определяется равномерное или умеренно неоднородное накопление контраста.
Периферическая шваннома
В нативном режиме визуализируется округлое или овальное образование вдоль хода периферического нерва, с возможной деформацией прилежащих тканей.
В режиме сканирования мягких тканей определяется структура опухоли, её границы и степень воздействия на окружающие ткани.
В режиме с контрастированием фиксируется равномерное или неоднородное накопление контраста в опухоли.
Интракраниальные шванномы
В нативном режиме фиксируются расширение костных отверстий, деформация соседних костных структур.
В режиме сканирования мягких тканей определяется объёмное образование с чёткими или размытыми границами.
В режиме с контрастированием выявляется интенсивное накопление контраста с подчёркиванием границ опухоли.
Множественные шванномы
В нативном режиме фиксируются множественные образования по ходу различных периферических и черепных нервов, возможные деформации костных каналов.
В режиме сканирования мягких тканей выявляются образования с различной плотностью и размерами.
В режиме с контрастированием определяется различная степень накопления контраста в разных опухолях.
Ангиоматозная шваннома
В нативном режиме определяется объёмное образование с возможными кальцификациями или признаками кровоизлияний.
В режиме сканирования мягких тканей выявляется сосудистая структура опухоли, зоны повышенной плотности.
В режиме с контрастированием фиксируется интенсивное и неоднородное накопление контраста с выраженной васкуляризацией.
Злокачественная шваннома (MPNST)
В нативном режиме определяется объёмное образование с размытыми краями, участками некроза, инфильтрацией окружающих тканей.
В режиме сканирования мягких тканей выявляется неоднородная структура опухоли, признаки инвазии в прилежащие мягкие ткани и кости.
В режиме с контрастированием фиксируется интенсивное, неоднородное накопление контраста, подчёркивающее агрессивный рост опухоли.
Невринома подошвенного нерва
В нативном режиме выявляется плотностная зона между плюсневыми костями, чаще между III и IV плюсневыми костями, с возможным расширением межплюсневого промежутка.
В режиме сканирования мягких тканей определяется овальное образование с плотностью, характерной для мягкотканевого компонента, деформирующее окружающие связочные структуры.
В режиме с контрастированием фиксируется умеренное или интенсивное равномерное накопление контраста, подчёркивающее границы опухоли и степень её воздействия на окружающие мягкие ткани.
Диагностические преимущества компьютерного сканирования
Компьютерная томография позволяет визуализировать следующие диагностические параметры:
- Форма и размеры образования определяются на тонких срезах с высокой детализацией, особенно при плотной структуре невриномы.
- Контуры опухоли и степень её контакта с капсульно-связочным аппаратом стопы оцениваются в прямой проекции, что имеет значение при планировании вмешательства.
- Признаки хронической компрессии определяются по изменению формы и плотности костей, прилежащих к зоне опухоли.
- Контрастное усиление отражает васкуляризацию, позволяя отличить невриному от синовиальных кист или ганглиев при одинаковой плотности.
- Изменения в параартикулярной жировой ткани и структурах суставов фиксируются с точностью, достаточной для дифференциальной диагностики.
Диагностические ограничения КТ
Компьютерная томография имеет следующие ограничения при визуализации невриномы Мортона:
- Невозможно надёжно визуализировать само утолщение нерва, если плотность его близка к окружающим тканям, особенно без контрастирования.
- Малые образования, не вызывающие костных изменений, могут быть неотличимы от прилежащих структур в стандартном режиме.
- Дифференциация между невриномой, фибромой и синовиальной кистой затруднена без данных о васкуляризации и эхоструктуре.
- Нет возможности визуализировать сам нерв на всём его протяжении, в отличие от магнитно-резонансной томографии.
- Структура образования, включая наличие фиброзных или мукоидных компонентов, не поддаётся оценке только по плотностным характеристикам.
Ультразвуковое исследование выявляет следующие анатомические аспекты:
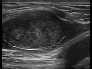
Периферическая шваннома
В серошкальном режиме визуализируется овальное гипоэхогенное или неоднородное образование вдоль хода периферического нерва с чёткими границами, смещающее или деформирующее нерв.
В режиме мягкотканевого сканирования определяется изменение толщины нерва выше и ниже опухоли, структура капсулы опухоли и наличие анэхогенных или гипоэхогенных зон внутри.
В допплеровском режиме фиксируется усиление кровотока в сосудистой сети по периферии опухоли или внутри неё.
Множественные шванномы
В серошкальном режиме при доступных для исследования участках (периферические нервы) выявляются множественные овальные гипоэхогенные образования вдоль хода нервов.
В режиме мягкотканевого сканирования фиксируются изменения структуры соответствующих нервов и мягких тканей.
В допплеровском режиме отмечается усиление кровотока в периферии опухолей.
Ангиоматозная шваннома
В серошкальном режиме визуализируется гипоэхогенное образование с неравномерной внутренней структурой.
В режиме мягкотканевого сканирования выявляются анэхогенные участки, соответствующие сосудистым полостям или кистозным зонам.
В допплеровском режиме фиксируется выраженное усиление кровотока внутри опухоли и по её периферии.
Невринома Мортона
В серошкальном режиме визуализируется овальное или веретенообразное гипоэхогенное образование между головками плюсневых костей, чаще между III и IV плюсневыми костями.
В режиме мягкотканевого сканирования фиксируется уплотнение и утолщение межплюсневого нерва, анэхогенные или гипоэхогенные зоны в ткани опухоли, деформация связочного аппарата в области межплюсневого промежутка.
В допплеровском режиме может фиксироваться умеренно усиленный кровоток в периферии опухоли, при активном росте — сосудистая сеть внутри образования.
Диагностические преимущества УЗ-исследования
Ультразвуковое исследование позволяет визуализировать следующие диагностические параметры:
- Анатомическое расположение невриномы относительно межплюсневых связок и головок плюсневых костей, что важно при топической диагностике.
- Размеры, форма и внутреннее строение опухоли фиксируются в реальном времени с возможностью уточнения границ и характера эхоструктуры.
- Степень васкуляризации и наличие периферического кровотока уточняется с помощью допплеровского режима, что важно для отличия от аваскулярных кист.
- Оценка подвижности образования и его деформации при компрессии позволяет воспроизвести клинический симптом Мортона (болевое выбухание).
- Визуализация изменений в окружающих мягких тканях, включая отёк, воспаление или реактивные изменения, проводится без лучевой нагрузки.
Диагностические ограничения УЗИ
Сонография имеет следующие ограничения при диагностике:
- Невозможно визуализировать глубокорасположенные образования при выраженном отёке или наличии сопутствующего фасциита.
- Трудно разграничить невриному от других гипоэхогенных структур, таких как синовиальная киста или тендовагинит, без данных о клиническом фоне.
- Ограничена визуализация при малых размерах опухоли (<4 мм) или плотной жировой клетчатке подошвы, что снижает разрешающую способность.
- Нет возможности оценки внутренней микроструктуры, включая наличие фиброзных перегородок или кистозных компонентов.
- Невозможно получить изображение в трёх плоскостях с одинаковой точностью, как при МРТ, что ограничивает полное представление об архитектуре опухоли.
Сравнительный анализ методов
|
Критерий |
МРТ |
КТ |
УЗИ |
|---|---|---|---|
|
Принцип работы |
Регистрирует сигналы от водородных ядер в магнитном поле |
Рентгеновская абсорбционная томография с анализом плотности тканей |
Отражение ультразвуковых волн от границ мягкотканевых структур |
|
Чувствительность к мягким тканям |
Высокая, визуализируются нервные структуры, связки и капсулы |
Умеренная, ограничена при низком контрасте между структурами |
Высокая при поверхностном расположении, ограничена при глубокой локализации |
|
Визуализация невриномы Мортона |
Определяется в межплюсневом промежутке как гипоинтенсивное на Т1 и гиперинтенсивное на Т2 |
Выявляется как мягкотканное образование при наличии выраженных изменений |
Визуализируется как гипоэхогенное овальное образование между III–IV плюсневыми костями |
|
Визуализация сосудистого компонента |
Определяется при контрастировании, выявляется васкуляризация по периферии образования |
Возможна при накоплении контраста, но не всегда выражена |
Фиксируется периферическая гиперваскуляризация в режиме цветового допплера |
|
Оценка прилежащих структур |
Детально визуализируются межплюсневые связки, жировая клетчатка, капсулы и подошвенные нервы |
Оценивается форма костей, их контакт с опухолью, капсулы суставов |
Визуализируются сближение плюсневых костей, отёк мягких тканей, деформация суставных капсул |
|
Контрастность опухоли |
Высокая, чётко различима капсула и внутренняя структура образования |
Слабо контрастируется, особенно без внутривенного усиления |
Умеренная, зависит от эхогенности и степени васкуляризации |
|
Топическая детализация |
Высокая, достигается за счёт многоплоскостной реконструкции |
Уточняется на аксиальных и сагиттальных реконструкциях |
Определяется при тыльной и подошвенной компрессии, уточняется при динамическом тестировании |
|
Разрешение при малых размерах |
Хорошее, но при размерах <5 мм может быть затруднено |
Ограничено, особенно при отсутствии костных изменений |
Снижено при размерах <4 мм и плотной подошвенной жировой клетчатке |
|
Дифференциация с кистой |
Обеспечивается анализом сигнала и контрастирования |
Затруднена, особенно при одинаковой плотности |
Возможна при оценке васкуляризации и эхоструктуры |
|
Лучевая нагрузка |
Отсутствует |
Присутствует |
Отсутствует |
|
Продолжительность исследования |
25–30 минут |
5–10 минут |
10–15 минут |
Бесплатный телефон по России: +7(800)300-98-12
Список литературы:
- Авцын А. П., Вихерт Т. М. Невринома // Большая медицинская энциклопедия / под общей редакцией Б. В. Петровского. — 3-е издание. — М.:: "Советская энциклопедия", 1981. — Т. 16. — С. 245—247. — 512 с.
- Магнитно-резонансная томография в нейрохирургии/ Коновалов А.Н., Корниенко В.Н., Пронин И.Н. – 1997.
- Заболотный Д. И. и др. Ранняя диагностика акустической невриномы //Рос. оториноларингология. – 2003. – №. 3. – С. 70.
- Безбородова Т.Ю., Золотова С.В. Тригеминальные невриномы: современная диагностика и лечение. Журнал «Вопросы нейрохирургии» имени Н.Н. Бурденко. 2023;87(1):104‑110.
- Дуус, П. Топический диагноз в неврологии: руководство для врачей. / П. Дуус, пер.с нем. - М.: Медицина, 1995. - 480 с.
Информационные статьи о диагностике
ЕДИНЫЙ ЦЕНТР ЗАПИСИ НА МРТ И КТ



