МРТ, КТ, УЗИ в диагностике нодулярной гиперплазии печени
Магнитно-резонансная томография при нодулярной гиперплазии печени выявляет следующие анатомические признаки:
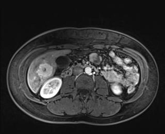
На Т1-взвешенных изображениях определяется образование с изоинтенсивным или слегка гиперинтенсивным сигналом по отношению к окружающей паренхиме печени, что свидетельствует о высоком содержании клеточных элементов.
На Т2-взвешенных изображениях визуализируется образование с преимущественно изоинтенсивным сигналом, при этом центральный рубец даёт слабовыраженный гиперинтенсивный сигнал.
На изображениях с подавлением сигнала от жира подчёркивается однородность структуры образования без признаков жировой инфильтрации, что помогает отличить его от других опухолевых процессов.
В режиме с подавлением сигнала от воды выявляется центральный рубец с гиперинтенсивным сигналом на фоне остальной ткани узла, что указывает на наличие фиброзной ткани.
В режиме динамического контрастного усиления определяется выраженное раннее артериальное накопление контраста в узле с последующим равномерным вымыванием на венозной и поздней фазах.
В режиме диффузионно-взвешенной визуализации фиксируется свободная диффузия в пределах узла без выраженного ограничения, что отличает доброкачественный характер нодулярной гиперплазии.
Диагностические преимущества МР-томографии
МРТ позволяет детально визуализировать следующие диагностические параметры:
- Характеристики сигнала от узла на Т1- и Т2-взвешенных изображениях с оценкой его однородности и отношения к окружающей паренхиме, что позволяет точно отличать доброкачественные образования от злокачественных.
- Структура центрального рубца с определением его сигналов в разных режимах, что служит важным дифференциально-диагностическим признаком нодулярной гиперплазии.
- Артериальное кровоснабжение образования с оценкой скорости и характера контрастирования, что позволяет уточнять наличие гиперваскуляризации и её распределение.
- Состояние капсулы и окружающей паренхимы печени при выявлении возможных сопутствующих изменений, таких как стеатоз или фиброз.
- Разграничение между узлом и здоровой тканью печени с оценкой чёткости контуров и наличия деформации сосудистых структур.
- Особенности динамики накопления и вымывания контраста, позволяющие отличать нодулярную гиперплазию от аденомы или гепатоцеллюлярной карциномы.
Диагностические ограничения МР-сканирования
Магнитно-резонансная томография имеет ряд ограничений, и с её помощью не всегда удаётся точно визуализировать следующие аспекты:
- Границы между узлом и нормальной тканью печени при изоинтенсивности сигнала без применения динамического контрастирования.
- Структура малых сосудистых компонентов центрального рубца при стандартных режимах без использования высокопольных аппаратов.
- Различие между слабо выраженным фиброзом центральной зоны и окружающей паренхимой при недостаточно выраженных изменениях сигнала.
- Точные характеристики васкуляризации при слабовыраженном артериальном кровоснабжении в узлах малых размеров.
- Особенности клеточной архитектуры образования при отсутствии выраженного контрастирования.
- Дифференциация нодулярной гиперплазии от хорошо дифференцированной формы гепатоцеллюлярной карциномы без морфологической верификации.
Компьютерная томография не является базовым исследованием для диагностики нодулярной гиперплазии печени, потому что при визуализации ограничена точность оценки структуры центрального рубца, а также недостаточна дифференциация от других гиперваскулярных образований без полноценной динамики контрастирования. Нодулярная гиперплазия печени представляет собой доброкачественное образование, развивающееся на фоне локальной гиперплазии гепатоцитов с характерным центральным рубцом и сохранённой сосудистой архитектурой. Приоритетными методами являются магнитно-резонансная томография с динамическим контрастированием и гепатоспецифическим контрастом. Оданко КТ выявляет следующие анатомические признаки:
В нативном режиме определяется образование изоденсивной или слегка гиподенсивной плотности относительно нормальной паренхимы печени.
В артериальной фазе контрастирования визуализируется интенсивное накопление контраста по всему объёму узла за исключением центрального рубца.
В портальной фазе и фазе отсроченного сканирования определяется постепенное вымывание контраста до плотности, близкой к окружающей ткани печени.
В режиме сканирования мягких тканей фиксируется центральный рубец в виде слабоденсивного линейного участка внутри образования.
В режиме сканирования мягких тканей выявляется сохранение чётких и ровных контуров узла без признаков инвазии в окружающие структуры.
В режиме высокоразрешающего сканирования костных структур отсутствуют признаки минерализации центрального рубца, что характерно для нодулярной гиперплазии.
Диагностические преимущества компьютерного сканирования
МСКТ позволяет детально визуализировать следующие диагностические параметры:
- Плотность образования в нативном и контрастных режимах с уточнением его гемодинамических характеристик.
- Интенсивность и равномерность накопления контраста в артериальную фазу, позволяющая отличить гиперплазию от других гиперваскулярных узлов.
- Структура и размеры центрального рубца, отражающего наличие фиброзной ткани внутри узла.
- Чёткость контуров образования и отсутствие инфильтративного роста в окружающую паренхиму печени.
- Динамика вымывания контраста с переходом к плотности здоровой ткани в венозную фазу.
- Степень сохранности сосудистого рисунка печени в области расположения узла без признаков компрессии магистральных сосудов.
Диагностические ограничения КТ
Компьютерная томография имеет ряд ограничений, и с её помощью не всегда удаётся точно визуализировать следующие аспекты:
- Структура центрального рубца в узлах малого диаметра при недостаточной разрешающей способности.
- Отличие нодулярной гиперплазии от других гиперваскулярных образований без контрастных фаз сканирования.
- Гемодинамические особенности сосудистого рисунка узла в условиях слабовыраженного накопления контраста.
- Различие между гиперплазией и аденомой печени при атипичных формах накопления контраста.
- Детализация архитектоники внутридольковых структур узла в стандартных режимах сканирования.
- Структура внутрипечёночных вен в зоне узла при отсутствии динамической ангиографии.
Ультразвуковое исследование не является базовым для диагностики нодулярной гиперплазии печени, потому что при визуализации ограничена возможность различения нодулярной гиперплазии и гепатоцеллюлярной аденомы без применения контрастных агентов и точной оценки сосудистого рисунка. УЗИ выявляет следующие анатомические признаки:
В серошкальном режиме определяется округлое или овальное образование с изоэхогенной или слегка гипоэхогенной структурой по отношению к окружающей паренхиме.
В серошкальном режиме визуализируются чёткие, ровные контуры узла без признаков капсулы.
В режиме цветового допплеровского картирования выявляется выраженная центральная васкуляризация с радиальным распределением сосудов.
В энергетическом допплеровском режиме определяется интенсивный кровоток в центральной части узла без признаков артериовенозных шунтов.
В серошкальном режиме выявляется центральная гипоэхогенная полоса, соответствующая центральному рубцу при крупных образованиях.
В В-режиме фиксируется отсутствие значимого акустического эффекта за образованием, что подтверждает его доброкачественный характер.
Диагностические преимущества УЗ-исследования
Ультразвуковая диагностика позволяет детально визуализировать следующие диагностические параметры:
- Структура узла с оценкой эхогенности и наличием чётких контуров на фоне нормальной ткани печени.
- Распределение сосудистого рисунка внутри узла с типичной радиальной васкуляризацией.
- Структура центральной зоны гиперплазии при наличии рубцового изменения в крупных узлах.
- Степень однородности паренхимы образования без признаков некроза или кистозных изменений.
- Отсутствие признаков компрессии окружающих сосудов и смещения крупных магистральных структур.
- Особенности кровотока в зоне узла без артериовенозного шунтирования и патологических сигналов.
Диагностические ограничения УЗИ
Сонография имеет ряд ограничений, и с её помощью не всегда удаётся точно визуализировать следующие аспекты:
- Структура центрального рубца при малом размере образования.
- Дифференциация гиперплазии от гиперваскулярной аденомы без применения контрастного усиления.
- Гемодинамические особенности кровоснабжения малых узлов без использования контрастных средств.
- Выявление слабовыраженных изменений эхогенности в случае изоэхогенных узлов.
- Разграничение границ между узлом и нормальной тканью печени при отсутствии чёткой капсулы.
- Характеристики тонких сосудов внутри узла при слабовыраженной васкуляризации.
Сравнительный анализ методов
|
Критерий |
КТ |
МРТ |
УЗИ |
|---|---|---|---|
|
Принцип работы |
Рентгеновские лучи, визуализация плотности тканей, структуры узла и центрального рубца |
Магнитное поле и радиоволны, визуализация структуры образования, сосудистой архитектуры и динамики накопления контраста |
Ультразвуковые волны, визуализация размеров узла, структуры паренхимы и кровотока |
|
Чувствительность к выявлению узла |
Высокая — определяется изоденсивное или гиподенсивное образование с чёткими контурами |
Высокая — визуализируется узел с характерными сигналами на Т1 и Т2, наличие центрального рубца |
Высокая — определяется изоэхогенное или слегка гипоэхогенное образование с ровными контурами |
|
Чувствительность к выявлению центрального рубца |
Средняя — визуализируется в виде слабоденсивного участка внутри образования |
Высокая — определяется гиперинтенсивный сигнал центрального рубца на Т2 и подавлении воды |
Средняя — фиксируется центральная гипоэхогенная полоса при крупных образованиях |
|
Оценка характера кровоснабжения |
Высокая — определяется интенсивное артериальное накопление и равномерное вымывание |
Высокая — выраженное раннее накопление контраста, оценка васкуляризации узла |
Средняя — выявляется радиальная васкуляризация центральной части узла |
|
Выявление жировой инфильтрации |
Ограниченная — визуализация возможна при выраженных изменениях плотности |
Высокая — отсутствует жировая инфильтрация на фоне подавления сигнала от жира |
Ограниченная — возможна только косвенная оценка по эхогенности |
|
Дифференциация гиперплазии и аденомы |
Средняя — требует анализа динамики контрастирования |
Высокая — характер накопления и вымывания контраста отличает гиперплазию от аденомы |
Ограниченная — требует сопоставления с данными допплерографии и клиники |
|
Дифференциация гиперплазии и карциномы |
Средняя — возможна при типичном накоплении контраста и отсутствии инфильтрации |
Высокая — динамическое контрастирование и диффузионная характеристика дифференцируют процессы |
Ограниченная — возможна только при выраженных структурных изменениях и сосудистых нарушениях |
|
Визуализация окружающих структур |
Высокая — хорошо определяется состояние сосудов и окружающей паренхимы печени |
Высокая — визуализируются сосудистые структуры, паренхима и лимфатические узлы |
Средняя — состояние крупных сосудов оценивается при благоприятных акустических условиях |
|
Контрастное усиление |
Позволяет оценить артериальное накопление и динамическое вымывание |
Обеспечивает детальную оценку васкуляризации, структуры узла и центрального рубца |
Не используется в стандартной методике, возможно допплеровское исследование кровотока |
|
Лучевая нагрузка |
Высокая — 5–7 мЗв |
Отсутствует |
Отсутствует |
|
Продолжительность исследования |
5–10 мин |
30–60 мин |
10–15 мин |
Бесплатный телефон по России: +7(800)300-98-12
Список литературы:
- Чардаров Н.К. , Шатверян Г.А. и соавт. Фокальная нодулярная гиперплазия печени. Хирургия. Журнал им. Н.И. Пирогова, №6 2012.
- Переславцева Е.М. Комплексная диагностика доброкачественных опухолей печени в амбулаторных условиях.: Автореф. дис. канд. мед. наук.- М.,2000.
- Катрич А. Н., Рябин Н. С., Польшиков С. В., Катрич Н. А. Ультразвуковое исследование с контрастным усилением в дифференциальной диагностике фокальнонодулярной гиперплазии печени. Кубанский научный медицинский вестник. 2019; 26(2): 50–63.
- Шатверян Г.А.. Мовчун А.А., Абдулаев А.Г., Камалов Ю.Р. Диагностика и лечение доброкачественных образований печени // Анналы хирургической гепатологии. 1996.
- Подымова С.Д. Болезни печени М.: Медицина, 1993.- С. 5-554.
Информационные статьи о диагностике
ЕДИНЫЙ ЦЕНТР ЗАПИСИ НА МРТ И КТ



