МРТ в диагностике артериовенозных мальформаций спинного мозга
Магнитно-резонансная томография проводится в аксиальной, сагиттальной и корональной плоскостях с применением T1- и T2-взвешенных последовательностей, а также режимов с подавлением сигнала от жира и контрастным усилением. Применяется при подозрении на артериовенозные мальформации спинного мозга с целью выявления патологически изменённых сосудистых структур, оценки степени венозного застоя, признаков компрессии спинного мозга и вовлечения окружающих тканей. Исследование позволяет определить локализацию мальформации, её тип и гемодинамическое влияние на спинномозговые структуры.
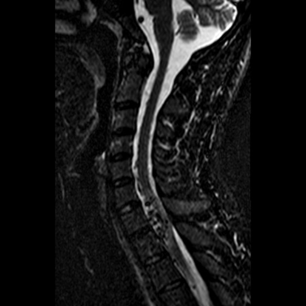
МРТ выявляет следующие анатомические признаки артериовенозных мальформаций спинного мозга:
Извитые, расширенные сосудистые структуры на поверхности или внутри спинного мозга, гиперинтенсивные на T2 и усиливающиеся после контрастирования.
Скопления патологических сосудов в зоне мальформации с неровными контурами, преимущественно дорсальной локализации.
Гиперинтенсивный сигнал от вещества спинного мозга на T2-взвешенных изображениях как признак венозного застоя и хронической ишемии.
Контрастное усиление с линейным или точечным распределением, соответствующим патологическим сосудам и зонам повышенной проницаемости.
Венозное расширение перимедуллярных вен с деформацией спинномозговой поверхности.
Сдавление или смещение спинного мозга при объёмном венозном компоненте мальформации.
Признаки глиоза или атрофии вещества спинного мозга в зоне хронической ишемии.
Диагностические преимущества
МР-томография позволяет детально визуализировать следующие диагностические параметры:
- Возможность оценки локализации и протяжённости мальформации относительно сегментов спинного мозга.
- Чёткое отображение патологически расширенных сосудов и сосудистых петель на фоне окружающих тканей.
- Выявление вторичных изменений вещества спинного мозга, включая отёк, глиоз и ишемическое поражение.
- Контрастное усиление патологических сосудов позволяет уточнить степень васкуляризации и дифференцировать тип мальформации.
- Анализ деформации субарахноидального пространства и давления на спинномозговые корешки.
- Наличие мультиплоскостной визуализации и высокая тканевая контрастность для комплексной анатомической оценки.
Диагностические ограничения
МРТ имеет ряд ограничений, и с её помощью не всегда удаётся точно визуализировать следующие аспекты:
- Невозможно надёжно визуализировать тонкие артерии и ранние венозные дренажи без МР-ангиографии.
- Ограниченная способность классифицировать тип АВМ (шунтовая, фистульная, нидусная) без уточняющей ангиографии.
- Невысокая чувствительность к быстропротекающему артериальному компоненту при отсутствии фазового контрастирования.
- Снижение точности при наличии артефактов от движений, особенно в грудном и поясничном отделах.
- Ограниченная оценка гемодинамической значимости и направления кровотока без использования МР-ангиографических техник.
- Невозможность выявления сопутствующих интраваскулярных патологий (тромбоз, кальцинаты) без КТ- или цифровой ангиографии.
Бесплатный телефон по России: +7(800)300-98-12
Список литературы:
- Тиссен, Т. П. Эндоваскулярное лечение артериовенозных мальформаций спинного мозга / Т. П. Тиссен. - М., 2006. - 360 с.
- Зозуля, Ю. А. Спинальные артериовенозные мальформации: классификация, дифференцированная хирургическая тактика, результаты лечения / Ю. А. Зозуля, Е. И. Слынько // Украинский нейрохирургический журнал. - 2005. - № 2. - С. 4-19.
- Панунцев Г.К. Сосудистые аномалии спинного мозга: Автореф. дис. ... канд. мед. наук. — СПб., 2000. — 24 с.
- Крингс Т., Малл М., Гилсбах Дж. М., Трон А. Пороки развития сосудов позвоночника / / Европ. Радиол. — 2005 год.
- Макдугалл К. Г., Дешмук против Р., Фиорелла Д. Дж., Альбукерке Ф. К., Спецлер Р. Ф. Эндоваскулярные методы лечения сосудистых мальформаций спинальной оси // Нейрохирургия. Клинский Н. Горький. — 2005 год. - Против 16, N2. - с. 395-410.
Информационные статьи о диагностике
ЕДИНЫЙ ЦЕНТР ЗАПИСИ НА МРТ И КТ



