Основным методом диагностики является молекулярно-генетический анализ, позволяющий выявить мутацию гена фратаксина. Дополнительно проводятся электрофизиологические исследования, включая электронейромиографию для оценки нервной проводимости, а также клиническое наблюдение с функциональными тестами на координацию движений. Магнитно-резонансная томография не является основным методом диагностики атаксии Фридрейха, поскольку не позволяет выявить молекулярно-генетическую природу заболевания и не даёт возможности подтвердить мутацию гена FXN, лежащую в основе патогенеза.
МРТ в диагностике атаксии Фридрейха
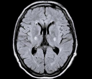
МРТ при атаксии Фридрейха выявляет следующие анатомические аспекты:
На Т1-взвешенных изображениях определяется уменьшение объёма спинного мозга в грудном и шейном отделах, истончение мозжечковых ножек, снижение плотности белого вещества в проводящих путях, возможное расширение борозд в области мозжечка.
На Т2-взвешенных изображениях визуализируется гиперинтенсивный сигнал в спинно-мозжечковых трактах и снижение интенсивности сигнала в области передних и задних столбов спинного мозга.
На Т2-взвешенных изображениях с подавлением жира выявляются зоны дегенерации в области мостомозжечковых трактов, снижение интенсивности сигнала от спинного мозга, возможные признаки атрофии базальных ганглиев и ствола мозга.
На изображениях с подавлением сигнала от воды определяется структурное истончение мозжечковых путей, выраженная атрофия спинного мозга, возможное уменьшение плотности белого вещества в коре больших полушарий при тяжёлом течении заболевания.
Диагностические преимущества
МРТ позволяет детально визуализировать следующие диагностические параметры атаксии Фридрейха:
- Объём спинного мозга, что даёт возможность оценить степень его истончения и нарушения проводимости нервных импульсов.
- Структура спинномозговых путей, что позволяет выявить дегенеративные изменения в спинно-мозжечковых, пирамидных и задних столбах.
- Состояние мозжечка, что даёт информацию о выраженности его атрофии и степени влияния на координацию движений.
- Изменения в стволе мозга, что позволяет оценить истончение проводящих путей и их связь с нейродегенеративными процессами.
- Атрофические изменения в базальных ганглиях, что даёт возможность выявить их участие в патогенезе заболевания.
Диагностические ограничения
Магнитно-резонансная томография имеет ряд ограничений, и с её помощью не всегда удаётся точно визуализировать следующие аспекты атаксии Фридрейха:
- Функциональные нарушения нервной проводимости, что требует проведения электрофизиологических исследований.
- Начальные дегенеративные изменения в спинном мозге, которые могут быть недостаточно выражены на ранних стадиях заболевания.
- Динамика прогрессирования нейродегенеративных процессов, что требует проведения многократных исследований в разные периоды течения болезни.
- Изменения в микроциркуляции нервной ткани, что ограничивает возможность оценки перфузии без проведения ангиографических методов исследования.
Бесплатный телефон по России: +7(800)300-98-12
Список литературы:
- Наследственные болезни нервной системы.// Ю.Е. Вельтищев, П.А.Темин. // «Медицина», 1998.
- Наследственные атаксии и параплегии // С.Н. Иллариошкин. // «Медицина», 2006.
- Иллариошкин С.Н., Друзина Е.Б., Багиева Г.Х.и др. Болезнь Фридрейха: истинный спектр клинических проявлений в свете возможностей прямой ДНК-диагностики. //Журн. неврол. и психиатрии им. С.С. Корсакова. -1999.-№8.-С. 31-34.
- Клюшников, С.А. Алгоритм диагностики наследственных атаксий / Клюшников С.А., Иллариошкин С.Н. // Нервные болезни. - 2012. - Т. 1 - С. 712.
- Залесская О.М. Некоторые данные к вопросу об этиологии болезни Фридрейха. Итоговая научная конференция, посвященная 20-летию Новосибирского института. Тезисы докладов, Новосибирск, 1956, стр.101102.
- Цукер М.Б. Болезнь Фридрейха (наследственная семейная атаксия). Многотомное руководство по неврологии, Москва, 1960, т. 7, стр. 217-242.
Информационные статьи о диагностике
ЕДИНЫЙ ЦЕНТР ЗАПИСИ НА МРТ И КТ



