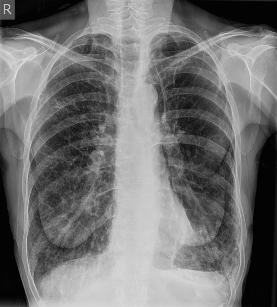
Рентген в диагностике обструктивного бронхита
Исследование проводится в прямой и боковой проекциях грудной клетки с возможным выполнением прицельной съёмки корней лёгких. Визуализируются преимущественно косвенные признаки: усиление и деформация лёгочного рисунка, признаки гиповентиляции, гиперинфляции и утолщения бронхиальных стенок. Цель исследования — подтверждение наличия бронхиальной обструкции, оценка степени вовлечения бронхиального дерева и исключение очаговой или инфильтративной патологии.
Рентгенография выявляет следующие признаки обструктивного бронхита:
Усиление и неравномерная деформация сосудисто-бронхиального рисунка, преимущественно в прикорневых и среднедолевых отделах.
Утолщение стенок бронхов с кольцевидными и линейными затемнениями на фоне повышенной воздушности лёгочной ткани.
Гиперинфляция лёгких с увеличением объёма грудной клетки, опущением и уплощением куполов диафрагмы.
Снижение прозрачности прикорневой зоны за счёт воспалительного перибронхиального инфильтрата.
Умеренное расширение просвета крупных бронхов и признаки воздушной ловушки в периферических отделах.
Нарушение архитектоники легочного поля с локальными участками гиповентиляции без инфильтративной тени.
Диагностические преимущества рентгена
Рентгенограмма даёт возможность детально визуализировать следующие диагностические параметры:
- Анализ выраженности бронхиального рисунка и его деформации как индикатора хронического воспаления.
- Оценка степени бронхиальной обструкции через косвенные признаки: гиперинфляция, задержка воздуха, перераздувание.
- Выявление перибронхиального отёка и утолщения стенок, характерных для обструктивного воспаления.
- Определение состояния диафрагмы и положения органов средостения при выраженной обструкции.
- Исключение наличия скрытой очаговой или долевой пневмонии на фоне хронического бронхита.
- Мониторинг динамики хронического бронхита при длительном течении или обострении.
Диагностические ограничения
Рентген имеет ряд ограничений, и с его помощью не всегда удаётся точно визуализировать следующие аспекты:
- Невозможность прямой визуализации просвета малых и средних бронхов.
- Ограниченная дифференциация между острым и хроническим бронхитом на основании изменений рисунка.
- Снижение чувствительности к ранним функциональным изменениям бронхиальной проводимости.
- Затруднение диагностики у пациентов с эмфиземой, бронхоэктазами или выраженными поствоспалительными изменениями.
- Невозможность оценки характера мокроты, степени воспаления слизистой и активности воспалительного процесса.
- Присутствует лучевая нагрузка: при выполнении рентгенографии грудной клетки в двух проекциях с прицельной съёмкой корней лёгких суммарная эффективная доза составляет от 0,12 до 0,25 мЗв.
Бесплатный телефон по России: +7(800)300-98-12
Список литературы:
- Чучалин А.Г., Айсанов З.Р. Роль дыхательной мускулатуры в патогенезе обструктивных заболеваний легких и пути терапевтической коррекции // Пробл. Туб., 1987; 7: 65-9.
- Замотаев И.П. Хронический обструктивный бронхит: вопросы диагностики и лечения // ТОП-медицина.- 1996.- №6.-С. 12-15.
- Макаревич А.Э. Заболевания органов дыхания.: Минск: Высшая школа, 2000.- 363 с.
- Панфилов Ю.А., Осадчук М.А. Функциональная диагностика обструктивных заболеваний легких.- Куйбышев, 1982.- 15 с.
- Белоногов М.А., Теселкин Ю.О. и др. Обструктивный бронхит: некоторые аспекты патогенеза и особенности клинического течения //Тер.арх.-1996.
Информационные статьи о диагностике
ЕДИНЫЙ ЦЕНТР ЗАПИСИ НА МРТ И КТ


