Виды перелома
Переломы костей предплечья являются частым видом травмы опорно-двигательного аппарата. Предплечье состоит из двух длинных трубчатых костей — лучевой и локтевой. Эти кости участвуют как в стабилизации сустава, так и в обеспечении движений руки. Переломы могут быть изолированными (только одна кость) или сочетанными (обе кости), а также сопровождаться повреждением суставов, связок и нервов. Рентгенография предплечья в двух проекциях (прямая и боковая) является стандартом первичной диагностики и позволяет определить локализацию, тип перелома, наличие смещения и возможные осложнения.
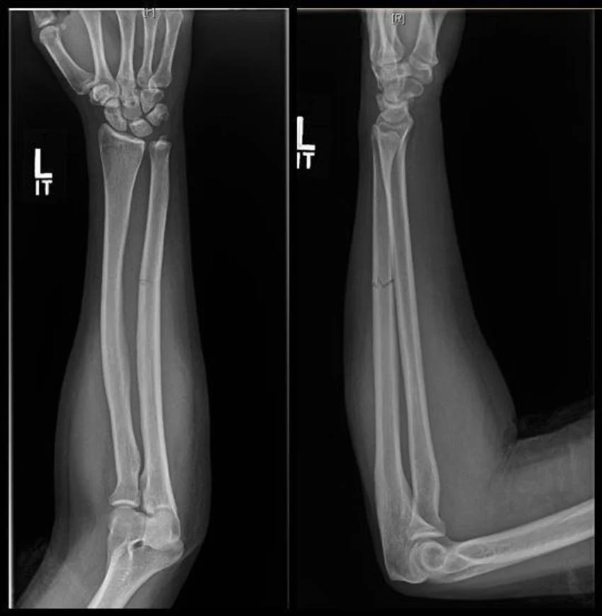
Переломы диафиза (средней трети) лучевой или локтевой кости возникают при прямом ударе или падении на вытянутую руку. Перелом может быть поперечным, косым или оскольчатым. На рентгенограмме видна линия излома на уровне средней трети одной или обеих костей. Смещение отломков бывает значительным и часто требует оперативного вмешательства.
Одновременный перелом локтевой и лучевой костей — это тяжёлая травма, которая часто сопровождается деформацией, отёком и нарушением функции конечности. На рентгене видно два перелома на разных уровнях или в одной плоскости, и смещение отломков обычно выражено.
Перелом Галеацци — это сочетание перелома диафиза лучевой кости с вывихом дистального лучелоктевого сустава. На рентгенограмме определяется перелом средней или нижней трети лучевой кости. При этом важно оценивать состояние сустава в запястье, где может быть вывих локтевой кости.
Перелом Монтецци представляет собой перелом проксимального отдела локтевой кости в сочетании с вывихом головки лучевой кости в локтевом суставе. На рентгене видна линия перелома в верхней трети локтевой кости, а также смещение или вывих головки лучевой кости. Этот вид травмы часто наблюдается у детей и требует срочной репозиции.
Перелом Коллеса возникает при падении на вытянутую руку. Характерным признаком является смещение отломка кзади и вверх, что придаёт кисти характерный «штыкоподобный» вид. На рентгене определяется поперечный перелом в области метафиза с типичным смещением. Существует также противоположный по направлению перелом — перелом Смита, при котором отломок смещён кпереди.
Перелом локтевого отростка возникает при прямом ударе по задней поверхности локтя или при падении с опорой на согнутую руку. На рентгенограмме определяется линия перелома в области верхнего конца локтевой кости, часто с выраженным смещением вверх, что связано с натяжением сухожилия трехглавой мышцы плеча.
Переломы головки лучевой кости чаще встречаются у взрослых и могут сопровождаться ограничением вращения предплечья. На рентгенограмме видно либо трещину, либо многооскольчатый перелом головки в области локтевого сустава. В зависимости от степени смещения применяется как консервативное, так и оперативное лечение.
Рентген в диагностике перелома костей предплечья
Исследование проводится в прямой (переднезадней) и боковой проекциях с применением прицельной съёмки повреждённого сегмента. Визуализируются прямые признаки (нарушение целостности кортикальной пластинки, линия перелома, фрагментация) и косвенные признаки (смещение оси, ангуляция, отёк мягких тканей). Цель обследования — точное определение локализации, характера и степени смещения перелома, выявление внутрисуставных повреждений и сопутствующих мягкотканных изменений.
Рентгенография выявляет следующие признаки перелома костей предплечья:
Перелом диафиза:
Линия перелома, ориентированная поперечно, косо или продольно, проходящая через диафиз на уровне средней трети кости.
Прерывание непрерывности кортикального слоя с обеих сторон кости.
Смещение отломков по ширине, длине или с угловой деформацией оси.
Возможное образование диастаза между фрагментами.
При изолированном повреждении одной кости — нормальное положение или подвывих головки другой кости, требующий дополнительной оценки.
Перелом обеих костей предплечья:
Две линии перелома — на локтевой и лучевой кости, располагающиеся в одной плоскости или на разных уровнях.
Выраженное смещение фрагментов в противоположных направлениях.
Нарушение анатомической параллельности костей предплечья.
Чёткая ступенчатая деформация контуров обеих костей на снимках.
Перелом Галеацци:
Линия перелома в средней или нижней трети диафиза лучевой кости с прерыванием кортикального слоя.
Смещение отломков лучевой кости с угловой деформацией.
Вывих или подвывих дистального конца локтевой кости в лучелоктевом суставе.
Расхождение суставной щели в дистальном лучелоктевом сочленении.
Перелом Монтецци:
Линия перелома в проксимальной трети диафиза локтевой кости.
Смещение отломков локтевой кости с изменением её оси.
Вывих головки лучевой кости из суставной ямки локтевого сустава.
Нарушение конгруэнтности суставных поверхностей в области локтевого сустава.
Перелом дистального отдела лучевой кости:
Поперечная или косая линия перелома в метафизарной зоне дистального отдела.
При переломе Коллеса — смещение дистального фрагмента кзади и проксимально, формирующее «штыкоподобную» деформацию.
При переломе Смита — смещение дистального фрагмента кпереди.
Увеличение объёма мягких тканей вокруг области перелома.
Перелом локтевого отростка:
Линия перелома, проходящая через верхушку или основание локтевого отростка.
Смещение фрагмента кверху под действием сухожилия трёхглавой мышцы.
Нарушение ровности заднего контура локтевой кости.
Визуализация костных отломков в полости локтевого сустава при внутрисуставном характере перелома.
Перелом головки лучевой кости:
Линия перелома в пределах суставной поверхности или шейки лучевой кости.
При многооскольчатом переломе — наличие нескольких костных фрагментов в проекции головки.
Смещение или вращение фрагментов с нарушением сферичности суставной поверхности.
Возможное сужение или деформация суставной щели локтевого сустава.
Диагностические преимущества рентгена
Рентгенограмма даёт возможность детально визуализировать следующие диагностические параметры:
- Определение точного типа перелома — поперечный, косой, винтообразный, оскольчатый, компрессионный — по характеру линии излома.
- Измерение угла отклонения анатомической оси, степени ангуляции и ротационного смещения для планирования репозиции.
- Анализ величины диастаза между фрагментами, степени смещения по длине, ширине и оси с прогнозированием стабильности.
- Оценка состояния суставных поверхностей, включая выявление внутрисуставных повреждений и подвывихов.
- Визуализация сопутствующих мягкотканных изменений: отёков, гематом, инородных тел в зоне повреждения.
- Возможность быстрого выполнения исследования в экстренных условиях без предварительной подготовки пациента.
Диагностические ограничения
Метод имеет ряд ограничений, и с его помощью не всегда удаётся точно визуализировать следующие аспекты перелома костей предплечья:
- Отсутствие визуализации хрящевых структур, капсульно-связочного аппарата и сухожилий.
- Низкая чувствительность к выявлению трещин и микропереломов, особенно при их локализации вне зоны основной проекции.
- Невозможность оценки состояния сосудисто-нервного пучка в зоне повреждения.
- Снижение чёткости изображения при выраженном отёке мягких тканей или наложенных фиксирующих повязках.
- Присутствует лучевая нагрузка: при выполнении рентгенографии предплечья в прямой и боковой проекциях с применением прицельной съёмки поражённого сегмента суммарная эффективная доза составляет от 0,02 до 0,05 мЗв.
Бесплатный телефон по России: +7(800)300-98-12
Список литературы:
- Барабаш А.П., Соломин Л.Н. Совершенствование методики чрескостного остеосинтеза при лечении повреждений костей предплечья // Травматология и ортопедия России 1995. - № 4. - С.26-30.
- Дроботов В.Н. Восстановительное лечение при переломах костей кисти и предплечья // Биомеханика на защите жизни и здоровья человека: Тез. докл. -Нижний Новгород, 1992. Т.1 - С. 74.
- Кабардин Н.Е. Восстановительная хирургия повреждений костей предплечья: Автореф. дис. доктора мед. наук. К., 1969. - 26 с.
- Милешин Н.И. К вопросу о репозиции и лечении переломов предплечья // Сб. науч. трудов врачей леч. учрежд. г. Куйбышева и мед. института. Куйбышев, 1986.-С. 213.
- Орнштейн Э.Г. Переломы и вывихи костей предплечья. Кишинев: Штиинца, 1979.-125 с.
Информационные статьи о диагностике
ЕДИНЫЙ ЦЕНТР ЗАПИСИ НА МРТ И КТ



