Рентген в диагностике пневмококковой пневмонии
Обследование проводится в прямой и боковой проекциях грудной клетки, с прицельной съёмкой поражённых отделов лёгких, а при необходимости — в косых проекциях, в режиме обзорной рентгенографии для выявления прямых признаков пневмококковой пневмонии. Цель обследования — определение локализации, объёма и характера альвеолярного воспаления, оценка состояния лёгочного рисунка, плевры и выявление рентгенологических сигналов консолидации лёгочной ткани.
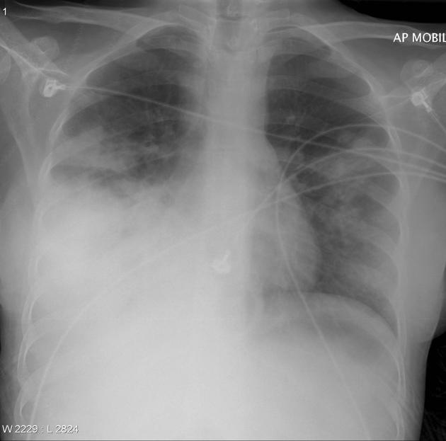
Рентгенография выявляет следующие признаки пневмококковой пневмонии:
Однородное сегментарное или долевое затемнение с чёткими внешними контурами и воздушными бронхограммами внутри, сигнализирующее об альвеолярной консолидации.
Гомогенное уплотнение лёгочной ткани, чаще в нижней или средней доле, соответствующее классическому течению крупозной пневмонии.
Сохранение или утолщение междолевых щелей на фоне воспалительных изменений, что отражает локализацию процесса.
Умеренное смещение междолевых границ и лёгкого в сторону поражения при выраженном альвеолярном уплотнении.
Реактивные плевральные изменения — утолщение плевры, локальный выпот на стороне поражения, чаще в виде пристеночного скопления жидкости.
Диагностические преимущества
Рентгенограмма даёт возможность детально визуализировать следующие диагностические параметры:
- Локализация, объём и распределение альвеолярной консолидации, что позволяет установить тип и стадию воспалительного процесса.
- Наличие и выраженность воздушной бронхограммы, что даёт представление о сохранности бронхиальной проходимости.
- Оценка состояния плевры и прилежащих структур, включая выявление начальных плевральных реакций и их распространённости.
Диагностические ограничения
Рентгенологическое обследование имеет ряд ограничений, и с его помощью не всегда удаётся точно визуализировать следующие аспекты:
- Начальные альвеолярные изменения с ограниченной протяжённостью, которые могут быть неразличимы на стандартных рентгенограммах.
- Характер воспалительного экссудата, клеточный состав и возбудитель процесса, что требует лабораторного подтверждения.
- Функциональные нарушения вентиляции и перфузии, а также степень газообменных расстройств, которые невозможно оценить без дополнительных исследований.
- Присутствует лучевая нагрузка: при выполнении рентгенографии грудной клетки в прямой, боковой, косых и прицельных проекциях суммарная эффективная доза составляет от 0,1 до 0,3 мЗв.
Бесплатный телефон по России: +7(800)300-98-12
Список литературы:
- Баранов А.А. Современная клинико-эпидемиологическая характеристика пневмококковых инфекций/ А.А. Баранов, Н.И. Брико, Л.С. Намазова-Баранова //Лечащий врач.-2012.- №4.- С.79-84.
- Боброва О.И. Актуальные проблемы пневмококковой инфекции и вопросы её специфической профилактики/ О.И. Боброва, О.Г. Карноухова, Л.А. Степаненко, Г.Ю. Коган, В.И. Злобин //Сибирский медицинский журнал (Иркутск). - 2014.- Т. 126. № 3. - С. 5-7.
- Малявин А. Г. Медицинская реабилитация больных пневмонией / А. Г. Малявин, А. М. Щегольков // Пульмонология. 2004. - № 3. - С. 93 - 103.
- Зубков, М. Н. Микробиологические аспекты диагностики пневмоний / М. Н. Зубков, Е. К. Гугуцидзе // Пульмонология. - 1997. - №. 1. - С. 41-45.
- Никонова, Е. В. Клинико-диагностические аспекты пневмоний / Е. В. Никонова, А. Л. Черняев, А. Г. Чучалин // Пульмонология. - 1997. - № 1. - С. 60-63.
Информационные статьи о диагностике
ЕДИНЫЙ ЦЕНТР ЗАПИСИ НА МРТ И КТ



