Рентген в диагностике пневмокониоза
Обследование проводится в прямой и боковой проекциях грудной клетки, с прицельной съёмкой подозрительных участков, а при необходимости — в косых проекциях, в режиме обзорной рентгенографии для выявления прямых признаков пневмокониоза. Цель обследования — выявление рентгенологических сигналов интерстициальных и узелковых изменений, оценка степени распространённости фиброзных изменений, а также состояния корней лёгких и плевры.
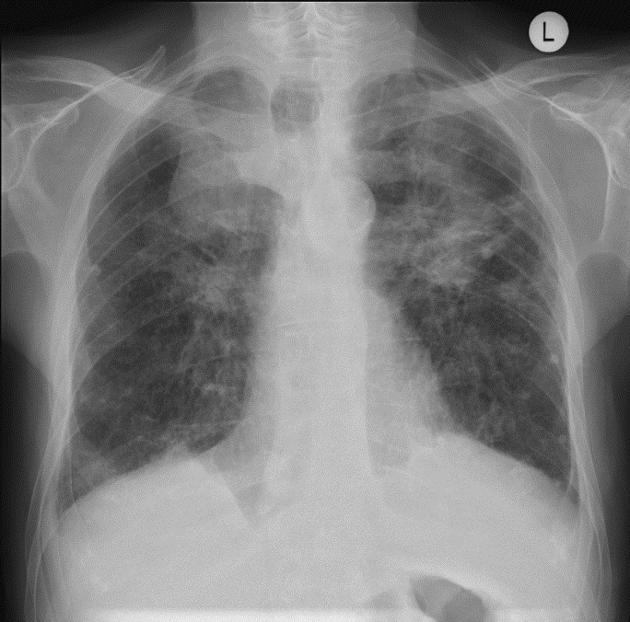
Рентгенография выявляет следующие признаки пневмокониоза:
Диссеминированные узелковые тени диаметром 1–10 мм с преимущественной локализацией в верхних и средних отделах лёгких, сигнализирующие о пылевых отложениях и фиброзе.
Сетчато-ячеистый рисунок лёгочной ткани, отражающий интерстициальное уплотнение и сращение межальвеолярных перегородок.
Уплотнение и расширение корней лёгких, свидетельствующее о вовлечении перибронхиальных и периваскулярных тканей.
Утолщение плевры с возможными кальцинатами, особенно по верхушкам и междолевым щелям, что указывает на плеврофиброз.
При прогрессирующем течении — крупные конгломераты из сливающихся узелков и деформация лёгочного рисунка с признаками «сотового лёгкого».
Диагностические преимущества рентгена
Рентгенограмма даёт возможность детально визуализировать следующие диагностические параметры:
- Локализация, размеры и плотность узелковых образований, что позволяет оценить стадию заболевания.
- Характер и степень интерстициальных изменений, включая утолщение перегородок, формирование ячеистого рисунка.
- Состояние корней лёгких и плевры, включая наличие уплотнений, втяжений, кальцификатов, что важно для прогнозирования осложнений.
Диагностические ограничения
Рентгенологическое обследование имеет ряд ограничений, и с его помощью не всегда удаётся точно визуализировать следующие аспекты:
- Начальные изменения лёгочной ткани, не приводящие к значимой деформации рисунка.
- Характер клеточной инфильтрации, степень воспаления и активности процесса, что требует проведения КТ или биопсии.
- Функциональное состояние лёгких, включая показатели вентиляции, диффузионной способности и газообмена, что оценивается только с помощью спирометрии и функциональных тестов.
- Присутствует лучевая нагрузка: при выполнении рентгенографии грудной клетки в прямой, боковой, косых и прицельных проекциях суммарная эффективная доза составляет от 0,1 до 0,3 мЗв.
Бесплатный телефон по России: +7(800)300-98-12
Список литературы:
- Власов П.В. Рентгенодиагностика пневмокониозов (часть первая) / П.В. Власов // Медицинская визуализация.-2007.-№1.-С.43-53.
- Евлашко Ю.П. К вопросу о новой классификации пневмокониозов / Ю.П. Евлашко, И.С. Иванова // Медицина труда и промышленная экология.-1999.-№8.-С.29-31.
- Клинические особенности пневмокониозов в современных условиях / Л.В. Постникова // Материалы 9 Всероссийского конгресса "Профессия и здоровье" и 4 Всероссийского съезда врачей-профпатологов. -г. Москва.- 2010.-С. 417-419.
- Кончаловская Н.М. Современные формы пневмокониозов / Н.М. Кончаловская // Сборник «патогенез пневмокониозов». Караганда, 1978.- С. 3-10.
- Разумов В.В. К причинности позднего развития пневмокониозов / B.В. Разумов, О.И. Бондарев // Материалы 9 Всероссийского конгресса "Профессия и здоровье" и 4 Всероссийского съезда врачей-профпатологов.-г. Москва. - 2010.-С. 428-430.
Информационные статьи о диагностике
ЕДИНЫЙ ЦЕНТР ЗАПИСИ НА МРТ И КТ


