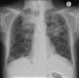
Рентген в диагностике пневмосклероза
Обследование проводится в прямой и боковой проекциях грудной клетки, с прицельной съёмкой подозрительных зон, а при необходимости — в косых проекциях, в режиме обзорной рентгенографии для выявления прямых признаков пневмосклероза. Цель обследования — выявление рентгенологических сигналов фиброзно-склеротических изменений лёгочной ткани, оценка их распространённости, локализации и влияния на архитектуру лёгких и прилежащие структуры.
Рентгенография выявляет следующие признаки пневмосклероза:
Деформация лёгочного рисунка с неструктурными линейными и сетчатыми тяжами, сигнализирующими о разрастании соединительной ткани в межальвеолярных и перибронхиальных перегородках.
Неравномерное уплотнение лёгочной ткани с участками повышенной и пониженной прозрачности, отражающее участки уплотнения и компенсаторной эмфиземы.
Втяжение плевры и междолевых щелей с образованием втяжных линий к области наиболее выраженного склероза.
Уменьшение объёма поражённого участка лёгкого или целой доли с повышением прозрачности окружающих отделов за счёт компенсаторного перераздувания.
Уплотнение и деформация корней лёгких, свидетельствующие о вовлечении перибронхиальных и периваскулярных структур.
Диагностические преимущества
Рентгенограмма даёт возможность детально визуализировать следующие диагностические параметры:
- Локализация, протяжённость и характер склеротических изменений (очаговый, сегментарный, долевой, диффузный), что позволяет установить степень поражения.
- Структура и выраженность деформации лёгочного рисунка, включая наличие тяжеобразных и сетчато-ячеистых элементов.
- Состояние плевры и корней лёгких, включая втяжение, уплотнение и перераспределение лёгочного кровотока.
Диагностические ограничения
Рентген имеет ряд ограничений, и с его помощью не всегда удаётся точно визуализировать следующие аспекты:
- Начальные изменения на уровне небольших межальвеолярных перегородок, которые не видны на рентгенограммах.
- Структура и проходимость малых бронхов, степень бронхиальной деформации, что требует проведения КТ или бронхографии.
- Функциональное состояние лёгочной ткани, включая показатели вентиляции, диффузии и перфузии, что оценивается только при функциональных исследованиях.
- Присутствует лучевая нагрузка: при выполнении рентгенографии грудной клетки в прямой, боковой, косых и прицельных проекциях суммарная эффективная доза составляет от 0,1 до 0,3 мЗв.
Бесплатный телефон по России: +7(800)300-98-12
Список литературы:
- Механизмы формирования пневмосклероза при хроническом эндотоксикозе: Автореферат диссертации/Ахмад, М.А. Итмези – 2006.
- Пульмонология: национальное руководство / под ред. А. Г. Чучалина. — М.: ГЭОТАР-Медиа, 2018. — 768 с.
- Есипова И.К. Пневмосклероз // Легкое в патологии. Часть первая / Отв. ред. И.К. Есипова. - Новосибирск: Наука, 1972. -С.63-75.
- Вотчал Б. Е. О классификации пневмосклерозов. Тер. арх., т. 34, лг 5, с. 3, 1962.
- Линденбратен Л. Д. и Наумов Л. Б. Рентгенологические синдромы и диагностика болезней легких. М., 1972
- Вотчал Б. Е. О классификации пневмосклерозов. Тер. арх., т. 34, лг 5, с. 3, 1962.
- Линденбратен Л. Д. и Наумов Л. Б. Рентгенологические синдромы и диагностика болезней легких. М., 1972.
- Розен-Штраух Л. С., Рыбакова Н. И. и Виннер М. Г. Рентгенодиагностика заболеваний органов дыхания. М., 1978.
- Болезни органов дыхания. Руководство по внутренним болезням / Под ред. Палеева Н.Р. М.: Медицина, 2000. -727с.
- Середа Е.В.,Споров О.А.,Таточенко В.К. Пневмосклерозы. //M.- 1971.
Информационные статьи о диагностике
ЕДИНЫЙ ЦЕНТР ЗАПИСИ НА МРТ И КТ



