Рентген в диагностике пневмомедиастинума
Обследование проводится в прямой и боковой проекциях грудной клетки, с прицельной съёмкой средостения, а при необходимости — в косых проекциях и положении на боку, в режиме обзорной рентгенографии для выявления прямых признаков пневмомедиастинума. Цель обследования — определение объёма и распространённости газа в средостении, выявление рентгенологических сигналов, указывающих на разрыв воздухоносных структур или мягкотканевых пространств, а также оценка риска компрессии органов.
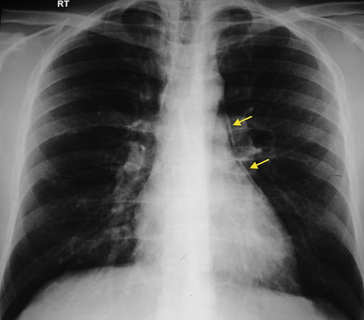
Рентгенография выявляет следующие признаки пневмомедиастинума:
Полосы или просветления линейной формы, окружающие контуры средостенных структур (трахеи, пищевода, аорты, сердца), сигнализирующие о скоплении свободного газа.
Чёткая визуализация границ крупных сосудов и сердца, которые в норме не прослеживаются так отчётливо, за счёт оконтуривания их воздухом.
Воздушные полосы, распространяющиеся в мягкие ткани шеи, надключичные области или корни лёгких, отражающие распространение газа из средостения.
Отделение тени сердца от диафрагмы на боковых рентгенограммах («знак сердечно-диафрагмального просветления»), указывающее на скопление воздуха в нижнем отделе средостения.
Смещение средостенных структур, включая трахею или пищевод, при массивном пневмомедиастинуме, что свидетельствует о тяжёлой степени процесса.
Диагностические преимущества рентгена
Рентгенограмма даёт возможность детально визуализировать следующие диагностические параметры:
- Объём и распространение газа в средостении, что позволяет оценить тяжесть и степень вовлечения структур.
- Локализация участков скопления воздуха и характер оконтуривания анатомических элементов, что даёт информацию о предполагаемом источнике газа.
- Состояние прилежащих мягких тканей, включая признаки распространения воздуха в шейные или паравертебральные пространства.
Диагностические ограничения
Рентгенологическое обследование имеет ряд ограничений, и с его помощью не всегда удаётся точно визуализировать следующие аспекты:
- Незначительные объёмы газа, расположенные в труднодоступных для визуализации участках (например, в заднем средостении).
- Источники утечки воздуха, включая разрывы трахеи, бронхов или пищевода, что требует проведения КТ или эндоскопических исследований.
- Сопутствующие изменения паренхимы лёгких, плевральной полости и сосудов, которые не отображаются на рентгенограммах с достаточной детализацией.
- Присутствует лучевая нагрузка: при выполнении рентгенографии грудной клетки в прямой, боковой, косых и прицельных проекциях суммарная эффективная доза составляет от 0,1 до 0,3 мЗв.
Бесплатный телефон по России: +7(800)300-98-12
Список литературы:
- Спонтанный пневмомедиастинум/ Моисеев В. С., Платов И. И.// Проблемы туберкулёза. — 1998 — № 5.
- Чу К. М., Леунг Ю. Ю., Хуэй Дж. Ю. и др. Спонтанный пневмомедиастинум у пациентов с тяжелым острым респираторным синдромом // 2004. -Том 23, № 6. - С. 802-804.
- Кадзи Ю., Охара Г., Кагохаши К. и др. Пневмомедиастинум у пациента с пневмоцистной жировой пневмонией. Интерн. Медицина, 2012, том 51, № 16, с. 2251.
- Кузнецов Ю.С., Дурлештер В.М., Пшуков В.А., Маркин В.В., Крячко А.А., Щупляк С.В., Мурашко Д.С., Рудько В.А. Пневмомедиастинум как предиктор негативного прогноза у больных коронавирусной пневмонией. Сибирский научный медицинский журнал. 2023;43(2):103-108.
- Герасимов Л.А., Дмитриева A.M., Плешкова Н.М. и др. Новые диагностические возможности усовершенствованных методик рентгеновского исследования бронхолегочной системы // Всероссийский конгресс рентгенологов и радиологов, VI 1-й Владимир, 1966. - С.12-20.
Информационные статьи о диагностике
ЕДИНЫЙ ЦЕНТР ЗАПИСИ НА МРТ И КТ


