Виды рака бронхов
Плоскоклеточный рак бронха — один из наиболее распространённых типов, чаще локализуется в крупных центральных бронхах, который возникает из плоского эпителия, нередко трансформированного вследствие хронического воспаления или курения. Он характеризуется медленным ростом, склонностью к распаду опухоли и образованию кавитаций и часто даёт метастазы в лимфатические узлы средостения.
Аденокарцинома бронха развивается из железистого эпителия и чаще локализуется в периферических отделах бронхиального дерева. Этот тип опухоли в настоящее время становится наиболее частым, особенно у некурящих и женщин и обладает склонностью к раннему гематогенному метастазированию, в том числе в мозг и кости.
Мелкоклеточный рак бронха — высокоагрессивная опухоль, происходящая из нейроэндокринных клеток, которая в основном локализуется в центральных бронхах и характеризуется быстрым ростом, ранним метастазированием и высокой чувствительностью к химио- и лучевой терапии. Он считается опухолью с крайне неблагоприятным прогнозом при позднем выявлении.
Крупноклеточный недифференцированный рак — редкий тип недифференцированной карциномы, который может локализоваться как центрально, так и периферически и отличается быстрым ростом и агрессивным клиническим течением, но в то же время трудно поддаётся морфологической классификации.
Бронхиолоальвеолярный рак (ныне чаще классифицируется как подтип аденокарциномы) — опухоль, распространяющаяся по альвеолярным структурам. Он может проявляться как мультифокальный процесс в лёгких, иногда с картиной, напоминающей пневмонию.
Карциноид бронха — нейроэндокринная опухоль низкой степени злокачественности, возникающая из клеток APUD-системы. Он чаще локализуется в крупных бронхах, растёт медленно и может вызывать обструкцию дыхательных путей.
Рентген в диагностике рака бронха
Обследование проводится в прямой (постеро-антериальной) и боковой проекциях грудной клетки, при необходимости дополняется прицельной съёмкой подозрительных зон, рентгеноскопией и томографией для уточнения характеристик образования. Применяются стандартный режим для оценки общей конфигурации лёгочных полей и корней лёгких и высококонтрастный режим для выявления малых очагов, нарушений бронхиальной проходимости и сопутствующих изменений. Рентгенография позволяет выявлять прямые признаки рака бронха, отражающие наличие опухолевого образования, а также косвенные признаки и рентгенологические сигналы, свидетельствующие о вторичных изменениях в лёгочной ткани и средостении.
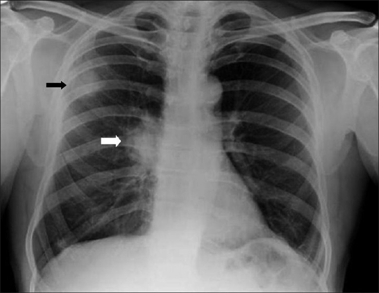
Рентгенография выявляет следующие признаки рака бронха:
Плоскоклеточный рак бронха:
Центральное образование в проекции главных или долевых бронхов, часто с неровными или звёздчатыми контурами.
Признаки обструкции бронха: ателектаз соответствующего сегмента или доли лёгкого, с уменьшением объёма и смещением междолевых щелей.
Наличие кавитации внутри опухоли с неровными толстыми стенками — признак распада.
Расширение корня лёгкого за счёт увеличенных лимфатических узлов.
Усиление лёгочного рисунка в зоне дренажа поражённого бронха.
Смещение структур средостения при массивном коллапсе лёгочной ткани.
Аденокарцинома бронха:
Периферически расположенное округлое или овальное образование с нечёткими или волнистыми краями.
Инфильтративная тень без признаков обструкции бронха на ранней стадии.
Участки неравномерной воздушности вокруг опухоли, иногда с элементами псевдокавитации.
Субплевральное расположение с вовлечением висцеральной плевры и возможным плевральным выпотом.
Слабая выраженность реактивных изменений со стороны бронхов и корней.
Мелкоклеточный рак бронха:
Интенсивное центральное затемнение в проекции главного или промежуточного бронха.
Выраженное увеличение лимфатических узлов средостения, формирующее расширенный корень лёгкого.
Сужение просвета бронха с развитием обструктивного ателектаза.
Часто наблюдаются признаки медиастинальной компрессии: смещение трахеи, синдром верхней полой вены.
Отсутствие полостей распада и резкая динамика увеличения размеров образования.
Крупноклеточный недифференцированный рак:
Массивное периферическое или центральное образование с нечёткими, инфильтративными контурами.
Быстрый рост по рентгенологическим данным, значительное увеличение размеров по сравнению с предыдущими исследованиями.
Участки некроза в структуре опухоли с участием прилежащей плевры или сосудов.
Признаки компрессии или смещения соседних анатомических структур.
Возможное наличие метастатических очагов в других отделах лёгких.
Бронхиолоальвеолярный рак:
Мелкоочаговые или инфильтративные тени в нижних и заднебазальных отделах лёгких.
Картина напоминает интерстициальную пневмонию: без чётких границ, с сохранением бронхиального рисунка.
Одностороннее или двустороннее распределение изменений.
Отсутствие выраженной деформации бронхов и корней лёгких.
Отсутствие плеврального выпота или выраженной лимфаденопатии на начальных стадиях.
Карциноид бронха:
Чётко очерченное округлое образование в центральных отделах лёгкого.
Признаки частичной бронхиальной обструкции: гиповентиляция или ателектаз сегмента.
Отсутствие признаков инвазии в окружающие ткани.
Сохранение анатомической конфигурации прилежащих структур.
Иногда наблюдается умеренное увеличение перибронхиальных лимфатических узлов.
Диагностические преимущества
Рентгенограмма даёт возможность детально визуализировать следующие диагностические параметры рака бронха:
- Локализация опухолевого узла относительно бронхиального дерева и лёгочной ткани.
- Размеры, контуры и структура опухолевого образования, характер его роста (центральный, периферический).
- Наличие ателектаза, гиповентиляции или обструктивных изменений в дистальных отделах.
- Изменения корня лёгкого, включая утолщение, деформацию и вовлечение сосудов.
- Косвенное влияние на окружающие структуры — положение средостения, состояние плевральной полости.
Диагностические ограничения
Рентген имеет ряд ограничений, и с его помощью не всегда удаётся точно визуализировать следующие аспекты рака бронха:
- Опухоли диаметром менее 1 см, особенно в периферических отделах.
- Оценка состояния слизистой бронхов, степени инфильтрации стенки, что требует бронхоскопии.
- Разграничение опухолевых и постобструктивных воспалительных изменений.
- Выявление метастатического поражения лимфоузлов средостения, требующее КТ или ПЭТ.
- Присутствует лучевая нагрузка: при выполнении рентгенографии грудной клетки в прямой и боковой проекциях с прицельной съёмкой подозрительных зон суммарная эффективная доза составляет от 0,1 до 0,3 мЗв.
Бесплатный телефон по России: +7(800)300-98-12
Список литературы:
- Лактионов К.К. Злокачественное новообразование бронхов и легкого. Клинические рекомендации / К.К. Лактионов // Современная онкология. - 2022. - № 24 (3). - С. 269-304.
- Власов П., Барышников А., Ионова В. Клинико-рентгенологическая диагностика рака лёгкого // Медицинская газета. — 2005. — № 17.
- Ищенко Б.И., Бисенков Л.Н., Тюрин И.Е. Лучевая диагностика для торакальных хирургов. СПб.; 2001.
- Бронхолегочные опухоли: анатомо-клинические и патологические исследования / М. Наста. - Бухарест: АРНР. 1963. - 451 е.
- Власов П.В. Лучевая диагностика заболеваний органов грудной полости. М.: Видар, -2006, -311 с.
Информационные статьи о диагностике
ЕДИНЫЙ ЦЕНТР ЗАПИСИ НА МРТ И КТ



