КТ и УЗИ в диагностике туберозного склероза
Компьютерная томография при подозрении на туберозный склероз проводится в режимах нативного сканирования головного мозга и органов грудной и брюшной полости. Цель обследования — выявление кальцифицированных кортикальных и субэпендимарных узелков, а также других аномалий, типичных для туберозного комплекса, включая поражения лёгких, почек и костей.
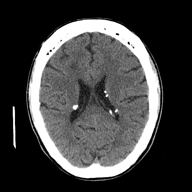
КТ выявляет следующие признаки туберозного склероза:
Множественные субэпендимарные узелки вдоль стенок боковых желудочков, с плотностью от +40 до +120 HU, часто с участками кальциноза.
Кальцифицированные кортикальные туберы в области лобных и теменных долей, реже — затылочной, чаще асимметрично.
Субэпендимарные гигантоклеточные астроцитомы в переднем роге бокового желудочка с мягкотканной плотностью и возможным эффектом объёма.
Множественные двусторонние ангиомиолипомы почек с участками жировой плотности (ниже –10 HU) и мягкотканным компонентом.
Поражение лёгких по типу лимфангиолейомиоматоза — диффузные тонкостенные кисты и участки разрушения лёгочной паренхимы.
Остеосклеротические очаги в телах позвонков и рёбрах, в виде гиперденсных зон без деформации структуры.
Диагностические преимущества КТ
КТ-диагностика даёт возможность детально визуализировать следующие диагностические параметры:
- Точная визуализация кальцифицированных субэпендимарных узлов и кортикальных туберов, особенно у детей.
- Выявление небольших ангиомиолипом почек на ранних стадиях по жировому компоненту.
- Контрастное усиление позволяет отличать астроцитомы от неусиливающихся субэпендимарных узлов.
- Чёткое распознавание структурных изменений лёгочной ткани при лимфангиолейомиоматозе.
- Возможность комплексной оценки костных структур с визуализацией участков остеосклероза.
- Мультипланарная реконструкция и объёмная оценка расположения и размеров узлов.
Диагностические ограничения компьютерной томографии
Метод имеет ряд ограничений, и с его помощью не всегда удаётся точно визуализировать следующие аспекты:
- Некальцифицированные субэпендимарные узлы без контрастирования могут быть неотличимы от нормальной ткани.
- Ограниченные возможности в оценке корковых туберов без кальциноза по сравнению с МРТ.
- Снижение чувствительности к небольшим очагам в мягких тканях мозга при низкой плотности.
- Невозможность оценки динамики роста гигантоклеточных астроцитом без серии последовательных исследований.
- Присутствует лучевая нагрузка: при выполнении КТ головного мозга, грудной клетки и брюшной полости с трёхфазным контрастированием суммарная эффективная доза может достигать 12–20 мЗв.
Ультразвуковое исследование при туберозном склерозе проводится в В-режиме с допплерографией органов брюшной полости, почек, сердца и щитовидной железы. Цель обследования — выявление ангиомиолипом, фибром, кистозных и солидных образований, характерных для системного поражения внутренних органов при этом заболевании.
Ультразвуковое исследование выявляет следующие анатомические признаки туберозного склероза:
Множественные ангиомиолипомы почек, представленные гиперэхогенными гомогенными образованиями овальной или дольчатой формы без акустической тени.
Кисты паренхимы почек различных размеров, с анэхогенным содержимым и чёткими контурами.
Фибромы миокарда в виде округлых гиперэхогенных образований, фиксированных к межжелудочковой перегородке, без нарушений кровотока при ЦДК.
Фиброзные узлы печени, визуализируемые как гипоэхогенные или смешанные очаги неправильной формы, без сосудистой васкуляризации.
Гиперплазия щитовидной железы с участками очаговой неоднородности и без признаков компрессии.
Одиночные или множественные узловые образования в надпочечниках с изоэхогенной или гипоэхогенной структурой, без признаков инвазии.
Диагностические преимущества УЗИ
Сонография позволяет детально визуализировать следующие диагностические параметры:
- Надёжная идентификация ангиомиолипом почек по характерной эхогенности и однородности структуры.
- Ранняя диагностика фибром миокарда как специфического признака при скрининге у новорождённых.
- Выявление сопутствующих кистозных изменений в почках и печени с оценкой размеров и капсулы.
- Оценка наличия и характера узлов в щитовидной железе и надпочечниках при системной форме.
- Возможность динамического наблюдения за размерами и гемодинамикой образований без лучевой нагрузки.
- Контроль эффективности терапии путём повторных исследований с сопоставлением эхоструктуры очагов.
Диагностические ограничения УЗИ
УЗ-исследование имеет ряд ограничений, и с его помощью не всегда удаётся точно визуализировать следующие аспекты:
- Невозможность выявления субэпендимарных и кортикальных узлов головного мозга.
- Ограниченная чувствительность при визуализации фибром в толще миокарда.
- Трудности дифференцировки ангиомиолипом от других эхогенных новообразований, особенно при атипичной структуре.
- Невозможность достоверно оценить глубину и инвазивность очагов в надпочечниках и печени.
- Низкая точность при оценке динамики роста мягкотканных образований без дополнительных методов визуализации.
Сравнительный анализ методов
|
Критерий |
КТ |
УЗИ |
|---|---|---|
|
Принцип работы |
Рентгеновское сканирование с измерением плотности тканей в единицах HU и построением срезов в различных плоскостях |
Отражение ультразвуковых волн от границ тканей с регистрацией эхосигнала в режиме B-сканирования и допплерографии |
|
Область исследования |
Головной мозг, органы грудной и брюшной полости, костные структуры |
Органы брюшной полости, почки, сердце, щитовидная железа, надпочечники |
|
Диагностическая цель |
Выявление кальцифицированных субэпендимарных и кортикальных узлов, астроцитом, ангиомиолипом, поражений лёгких и костей |
Выявление ангиомиолипом, фибром, кистозных и солидных образований внутренних органов |
|
Прямые признаки |
Кальцифицированные субэпендимарные узлы, кортикальные туберы, астроцитомы, ангиомиолипомы с жировым компонентом, кисты лёгких, остеосклеротические очаги |
Гиперэхогенные ангиомиолипомы почек, кисты почек и печени, гиперэхогенные фибромы миокарда, гипоэхогенные или смешанные узлы печени, изменения щитовидной железы и надпочечников |
|
Оценка сопутствующих изменений |
Лимфангиолейомиоматоз лёгких, остеосклероз позвонков и рёбер |
Узлы и гиперплазия щитовидной железы, надпочечниковые образования |
|
Возможности дифференциации |
Отличие астроцитом от субэпендимарных узлов, ангиомиолипом от других опухолей по плотности |
Разграничение кистозных и солидных образований по эхоструктуре |
|
Ограничения |
Невизуализируемые некальцифицированные узлы, ограниченная чувствительность к слабым очагам без контраста |
Нет данных о поражениях ЦНС, ограниченная оценка фибром миокарда и глубины инвазии узлов |
|
Лучевая нагрузка |
Присутствует: при КТ головного мозга, грудной клетки и брюшной полости с трёхфазным контрастированием суммарная эффективная доза 12–20 мЗв |
Отсутствует |
|
Инвазивность |
Неинвазивно, но с введением контрастного препарата при необходимости |
Неинвазивно |
|
Продолжительность исследования |
10–20 минут |
10–15 минут |
Бесплатный телефон по России: +7(800)300-98-12
Список литературы:
- Сакович Р.А., Чиж Г.В. Туберозный склероз. // Новости лучевой диагностики. 2002. -№ 1 - С. 4-76.
- Козлова С.И., Демикова Н.С., Семанова Е., Блинникова О.Е. Туберозный склероз. В кн.: наследственные синдромы и медико -генетическое консультирование. М.,1998, с. 270.
- Темин П.А., Дорофеева М.Ю. Туберозный склероз. Клиника, диагностика, лечение.// Весник практической неврологии 1998 (4), с 228-241.
- Кузина Н.Ю. (Боровикова Н.Ю.), Дорофеева М.Ю. Клинический полиморфизм туберозного склероза // Материалы I Международной (X Всероссийской) Пироговской студенческой научной конференции / Вестник Российского Государственного Медицинского Университета. Москва. - 2006. - №2(49). - с. 292.
- Туберозный склероз (болезнь Бурневилля-Прингла) : учеб. пособие для последипломного образования врачей / под редакцией Н. А. Шнайдер, Ю. В. Максимовой. - Красноярск : Оперативная полиграфия, 2012. - 172 с.
Информационные статьи о диагностике
ЕДИНЫЙ ЦЕНТР ЗАПИСИ НА МРТ И КТ



