Целомическая киста перикарда не является заболеванием, а представляет собой врождённую патологию развития, возникающую в результате нарушения резорбции целомического выпота. Компьютерная томография может использоваться для уточнения размеров и расположения образования, но не является основным методом. Основным диагностическим методом при подозрении на целомическую кисту перикарда является эхокардиография, которая позволяет определить наличие жидкостной полости, её локализацию и оценить влияние на сердечную гемодинамику. При сомнительных случаях также применяется МРТ.
КТ в диагностике целомической кисты перикарда
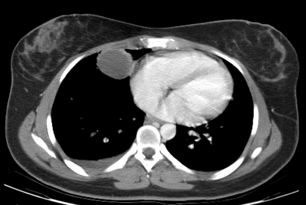
МСКТ при целомической кисте перикарда выявляет следующие анатомические признаки:
В режиме сканирования мягких тканей визуализируется округлое или овальное жидкостное образование с чёткими контурами, расположенное в переднем или нижнебоковом отделе средостения, прилегающим к перикарду.
В нативном режиме определяется однородная гиподенсивная структура кисты без включений, со средней плотностью, характерной для жидкого содержимого.
В режиме сканирования с контрастированием отсутствует накопление контрастного вещества в стенке образования, что подтверждает его неваскулярный характер и отсутствие признаков воспаления.
На мультипланарных реконструкциях прослеживается тонкая капсула образования, отсутствие инфильтрации окружающих тканей и смещение рядом расположенных структур — чаще лёгкого или сердца.
В режиме высокоразрешающего сканирования костных структур отсутствуют признаки костной деформации, однако могут визуализироваться вторичные эффекты давления на прилегающие анатомические элементы.
Диагностические преимущества
МСКТ позволяет детально визуализировать следующие диагностические параметры:
- Размер и форма жидкостного образования, что даёт возможность точно определить объём и ориентацию кисты в полости средостения.
- Толщина стенки образования, что позволяет дифференцировать целомическую кисту от воспалительных или опухолевых процессов.
- Отношение к соседним органам и степень их смещения, что важно при оценке компрессионного влияния на лёгкое или сердце.
- Плотность содержимого кисты, что даёт представление о её жидкостной природе и отсутствии признаков кровоизлияния или гнойного воспаления.
- Контуры и равномерность капсулы, что позволяет исключить признаки инфильтративного роста или прорыва кисты.
Диагностические ограничения
Компьютерная томография имеет ряд ограничений, и с её помощью не всегда удаётся точно визуализировать следующие аспекты:
- Определение точной этиологии кисты, что требует морфологического подтверждения в спорных случаях.
- Оценка клеточного состава содержимого, что невозможно без пункционного анализа.
- Ранняя стадия воспалительных изменений стенки кисты, если отсутствуют выраженные признаки инфильтрации или утолщения.
- Функциональное воздействие на перикард или сердце, что требует дополнительных функциональных или эхокардиографических исследований.
- Отличие целомической кисты от других кистозных образований средостения при атипичной локализации или изменённой форме.
Бесплатный телефон по России: +7(800)300-98-12
Список литературы:
- Батищев, Н.Г. Клиника и хирургическое лечение целомических кист перикарда : автореф. дис. . канд. мед. наук : 14.00.27 / Н.Г. Батищев. — М, 1967. 17 с.
- Габуния, Р.И. Компьютерная томография в клинической диагностике : руководство для врачей / Р.И. Габуния, Е.К. Колесникова. — М. : Медицина, 1995.-352 с.
- Малиновский, Н. Н. Пороки развития перикарда / Н. Н. Малиновский, И. И. Платов // Хирургия. Журнал им. Н. И. Пирогова. – 2001. – № 5. – С. 4-9.
- Сандип Кумар Кар, Танмой Гангули. Современные концепции диагностики и лечения кист перикарда. 2017; 69(3):364-370.
- Ле Ру, Б. Т. Целомические кисты перикарда / Б. Т. Ле Ру // Грудная клетка. - 1959. - Том 14, № 1. - С. 27-35.
Информационные статьи о диагностике
ЕДИНЫЙ ЦЕНТР ЗАПИСИ НА МРТ И КТ



