МРТ и КТ в диагностике дисциркуляторной энцефалопатии
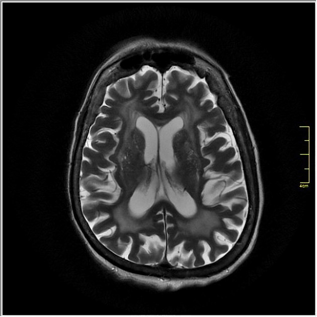
Магнитно-резонансная томография при дисциркуляторной энцефалопатии хорошо выявляет следующие анатомические признаки:
В режиме Т2 визуализируются множественные очаги гиперинтенсивного сигнала в перивентрикулярной и субкортикальной белой материи, преимущественно в лобных и теменных долях, что соответствует хронической ишемии.
В режиме Т1 определяется сниженный сигнал в зонах лейкоареоза, что отражает выраженные дистрофические изменения.
В режиме с подавлением сигнала от воды выявляются малые очаги в глубинных отделах белого вещества и в области базальных ядер, что характерно для микроангиопатии.
В режиме с контрастированием, как правило, отсутствует усиление, что подтверждает хронический, неактивный характер изменений.
Расширение периваскулярных пространств, атрофия коры и увеличение желудочков могут быть дополнительно выявлены как признаки выраженной энцефалопатии.
Диагностические преимущества МР-томографии
МРТ позволяет детально визуализировать следующие диагностические параметры:
- Глубина ишемических изменений в белом веществе мозга определяется по интенсивности сигнала в Т2-режиме, что отражает стадию процесса.
- Степень вовлечения субкортикальных зон и базальных ядер оценивается при многоплоскостной визуализации, что важно для оценки когнитивного прогноза.
- Толщина и структура коры больших полушарий фиксируются при оценке выраженности корковой атрофии.
- Объём перивентрикулярного лейкоареоза и его распространённость сопоставимы с клиническими проявлениями.
- Наличие лакунарных инфарктов и постишемических кист визуализируется с высокой точностью, что имеет значение для стратификации риска.
Диагностические ограничения МР-сканирования
Магнитно-резонансная томография имеет ряд ограничений, и с её помощью не всегда удаётся точно визуализировать следующие аспекты:
- Очаги с низкой интенсивностью сигнала при хронической ишемии могут сливаться с фоновым сигналом у пожилых пациентов.
- Трудно дифференцировать слабовыраженные лакунарные изменения от возрастной атрофии без данных динамического наблюдения.
- Наличие артефактов от движений снижает качество изображения в тонких структурах.
- Не все режимы визуализации доступны при наличии противопоказаний к контрасту или клаустрофобии.
- При смешанном генезе изменений затруднена чёткая интерпретация ишемического компонента без комплексной клинико-лабораторной корреляции.
Компьютерная томография при дисциркуляторной энцефалопатии хорошо выявляет следующие анатомические признаки:
В нативном режиме визуализируется умеренная или выраженная кортикальная атрофия, увеличение борозд и расширение желудочковой системы.
В режиме сканирования мягких тканей выявляются очаги пониженной плотности в белом веществе, преимущественно в перивентрикулярной зоне и в области глубоких структур.
В режиме с контрастированием не наблюдается накопления контраста, что подтверждает хронический характер изменений.
Могут определяться постишемические лакуны, участки энцефаломаляции и субкортикальные кисты.
Кальцинаты сосудистого генеза, атеросклеротические изменения артерий и сосудистые тени нередко выявляются при стандартном сканировании.
Диагностические преимущества компьютерного сканирования
МСКТ позволяет детально визуализировать следующие диагностические параметры дисциркуляторной энцефалопатии:
- Степень корковой и подкорковой атрофии определяется с высокой точностью по конфигурации борозд и желудочков.
- Плотность белого вещества мозга и наличие гиподенсных участков позволяют выявить зону хронической ишемии.
- Объём лакунарных и энцефаломаляционных очагов фиксируется при аксиальном сканировании, что помогает уточнить степень неврологических нарушений.
- Состояние базальных ганглиев и коры можно оценить по относительной плотности тканей и их симметричности.
- При наличии кальцинатов и грубых сосудистых изменений КТ позволяет судить о выраженности атеросклероза как этиологического фактора.
Диагностические ограничения КТ
Компьютерная томография имеет ряд ограничений, и с её помощью не всегда удаётся точно визуализировать следующие аспекты:
- Малые ишемические очаги не дифференцируются без снижения плотности, особенно при поверхностной локализации.
- Структурные изменения на ранней стадии заболевания могут не выявляться при отсутствии значительной разницы в плотности.
- Оценка белого вещества ограничена по чувствительности в сравнении с МРТ, особенно в глубоких отделах.
- Атрофия может быть интерпретирована как возрастная, если нет сопоставления с клинической картиной.
- Контрастное усиление не даёт специфической информации о хронических ишемических изменениях.
Сравнительный анализ методов
|
Критерий |
МРТ |
КТ |
|---|---|---|
|
Принцип метода |
Является методом визуализации с использованием магнитного поля и радиочастотных импульсов |
Основан на измерении плотности тканей с помощью рентгеновского излучения |
|
Выявление очагов лейкоареоза |
Чётко визуализируются множественные гиперинтенсивные очаги в Т2-режиме |
Видны очаги пониженной плотности в белом веществе, но с меньшей чувствительностью |
|
Оценка степени корковой и подкорковой атрофии |
Видна выраженная атрофия с уменьшением толщины коры и расширением борозд и желудочков |
Определяется увеличение борозд и желудочков, особенно в тяжёлых случаях |
|
Дифференцировка лейкоареоза и лакунарных инфарктов |
Возможна по сигналу и локализации, особенно в режимах с подавлением сигнала от воды |
Ограничена без чёткой границы, возможны ошибки при интерпретации |
|
Визуализация перивентрикулярных изменений |
Высокая чувствительность к субэпендимарному отёку и инфильтрации |
Видны только при выраженном снижении плотности |
|
Оценка изменений в базальных ганглиях и стволе |
Детально прослеживается структура и степень ишемии в базальных ядрах |
Определяются симметричные зоны гиподенсивности при выраженной патологии |
|
Визуализация постишемических кист и энцефаломаляции |
Кисты визуализируются как гиперинтенсивные зоны в Т2 |
Чётко видны при выраженной энцефаломаляции |
|
Характеристика сосудистых изменений |
Непрямая оценка по последствиям ишемии, без визуализации стенок артерий |
Возможна визуализация кальцинатов и выраженного атеросклероза |
|
Выявление субклинических изменений |
Высокая чувствительность к ранним микрососудистым очагам |
Ограничена, ранние изменения могут быть не видны |
|
Лучевая нагрузка |
Отсутствует |
Есть |
|
Продолжительность исследования |
20–30 минут |
5–10 минут |
Бесплатный телефон по России: +7(800)300-98-12
Список литературы:
- Бурцев Е.М. Вопросы классификации, клинического течения и патогенетического лечения дисциркуляторной энцефалопатии // Журнал невропатологии и психиатрии им. Корсакова. — 1991. Т. 91, № 7. - С. 19-22.
- Дамулин И.В. Дисциркуляторная энцефалопатия: патогенез, клиника, лечение. Методические рекомендации. Москва, 2005, с.48.
- Диагностика и принципы патогенетической терапии дисциркуляторной энцефалопатии. Под ред. А.А.Скоромца, А.М.Никифорова.- СПб.: ЭЛБИ-СПб, 2005.-104с/
- Камчатнов П.Р. Дисциркуляторная энцефалопатия // Consilium Medicum.-2004.-Том 6.- №8.
- Левин О.С. Дисциркуляторная энцефалопатия: современные представления о механизмах развития и лечения // 2006. Том 8.- №8.-С.72-79.
Информационные статьи о диагностике
ЕДИНЫЙ ЦЕНТР ЗАПИСИ НА МРТ И КТ



