МРТ и КТ в диагностике нейросенсорной тугоухости
Нейросенсорная тугоухость представляет собой поражение рецепторного аппарата улитки или слухового нерва, возникающее при вирусных, сосудистых, токсических или опухолевых процессах. Для диагностики назначается магнитно-резонансная томография височных костей и мостомозжечковых углов в режимах с подавлением сигнала от жира и контрастированием, а также проводится аудиометрия и отоакустическая эмиссия. Магнитно-резонансная томография при нейросенсорной тугоухости хорошо выявляет следующие анатомические признаки:
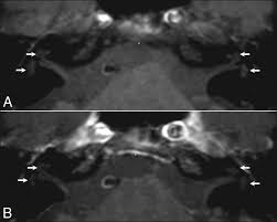
В режиме Т1 определяется нормальный или сниженный сигнал от структур улитки и слухового нерва, возможна асимметрия калибра преддверно-улиткового нерва в канале внутреннего слухового прохода.
В режиме Т2 визуализируется снижение сигнала от эндолимфы или ликвора внутреннего слухового прохода при отёке, гипоплазии или атрофии преддверно-улиткового нерва.
В режиме с подавлением сигнала от жира подчёркиваются тонкие контуры слухового нерва и его окружения, выявляется разница в толщине и структуре между сторонами.
В режиме с контрастированием определяется накопление контрастного вещества при наличии воспаления, неоплазии или сосудистой мальформации.
На многоплоскостной визуализации фиксируются аномалии развития улитки, лабиринта, внутреннего слухового канала, а также объёмные образования мостомозжечкового угла, такие как невринома слухового нерва.
Диагностические преимущества МР-томографии
МРТ позволяет детально визуализировать следующие диагностические параметры:
- Толщина и структура преддверно-улиткового нерва в зоне канала и мостомозжечкового угла фиксируются по сигнальным характеристикам.
- Протяжённость и форма внутреннего слухового прохода оцениваются при подозрении на его сужение или расширение, что важно для исключения врождённых аномалий.
- Состояние улитки и лабиринта, включая эндолимфатический мешок, анализируется при подозрении на гидропс или врождённую дисплазию.
- Объём образования в зоне мостомозжечкового угла определяется при подозрении на невриному, менингиому или сосудистую мальформацию.
- Анатомическое различие между воспалительным, сосудистым, опухолевым и дегенеративным поражением слухового нерва устанавливается по типу сигнала и накоплению контраста.
Диагностические ограничения МР-сканирования
Магнитно-резонансная томография имеет ряд ограничений, и с её помощью не всегда удаётся точно визуализировать следующие аспекты:
- Микроструктурные изменения рецепторного аппарата улитки не фиксируются при отсутствии выраженной анатомической патологии.
- Отличие между ишемическим и дегенеративным поражением нерва невозможно без дополнительных функциональных данных.
- Поражения без структурного компонента, например, при токсической нейропатии, могут не сопровождаться изменениями сигнала.
- Состояние волосковых клеток и кохлеарной микрофизиологии не оценивается в анатомических режимах.
- Функциональная активность слухового пути за пределами мосто-мозжечкового угла (стволовые и корковые зоны) ограничена по детализации.
Компьютерная томография при нейросенсорной тугоухости хорошо выявляет следующие анатомические признаки:
В нативном режиме определяется структура височной кости, в том числе форма и объём костного лабиринта, аномалии улитки и полукружных каналов.
В режиме сканирования костных структур визуализируются врождённые пороки развития внутреннего уха — неполная спирализация улитки, аплазия или гипоплазия канала нерва.
В режиме с контрастированием (при КТ-ангиографии) могут быть выявлены сосудистые аномалии, например, избыточная петля артерии, компримирующая слуховой нерв.
В высокоразрешающем режиме определяется состояние стенок улитки, форма окна улитки и структура внутреннего слухового прохода.
Диагностические преимущества компьютерного сканирования
МСКТ позволяет детально визуализировать следующие диагностические параметры:
- Форма и толщина костного лабиринта, улитки и каналов фиксируются при врождённых аномалиях и дисплазиях.
- Степень минерализации и целостность улиткового окна оцениваются при отосклерозе и других костных поражениях.
- Протяжённость и конфигурация внутреннего слухового прохода и его взаимодействие с каналами лицевого нерва уточняются при трёхмерной реконструкции.
- Состояние костного покрытия нерва, наличие деформаций и изменения формы костных структур уточняются при аксиальном просмотре.
- Анатомические аспекты сосудистой компрессии или редких вариантов расположения сосудов определяются при использовании КТ-ангиографии.
Диагностические ограничения КТ
Компьютерная томография имеет ряд ограничений, и с её помощью не всегда удаётся точно визуализировать следующие аспекты:
- Состояние нервных структур, включая преддверно-улитковый нерв, не определяется при отсутствии костной патологии.
- Патология мягких тканей, сосудов и сигнальных изменений не оценивается без МР-корреляции.
- Микрососудистая компрессия и воспалительные изменения остаются невыявленными без контрастных режимов или МРТ.
- Структура улитки без изменения плотности может быть нормальной при тяжёлой нейросенсорной тугоухости.
- Диагностика функциональных расстройств слуха невозможна в статическом анатомическом изображении.
Сравнительный анализ методов
|
Критерий |
МРТ |
КТ |
|---|---|---|
|
Принцип визуализации |
Сигнальные характеристики слухового нерва, улитки и мозжечковых углов |
Плотностная структура височной кости, костного лабиринта и каналов |
|
Локализация и структура слухового нерва |
Определяется толщина, форма и симметрия преддверно-улиткового нерва в канале и у входа в мозжечковый угол |
Костный канал нерва визуализируется, но сам нерв не оценивается |
|
Структура улитки и лабиринта |
Анализируются сигналы от эндолимфы, выявляется дисплазия или гидропс |
Выявляются пороки развития, форма улитки, степень минерализации |
|
Патология мостомозжечкового угла |
Определяются невриномы, сосудистые мальформации, воспаления |
Изменения в мягких тканях не фиксируются |
|
Сосудистые и воспалительные изменения |
Дифференцируются по типу сигнала и накоплению контраста |
Выявляются только костные дефекты и крупные сосудистые петли при КТ-ангиографии |
|
Аномалии внутреннего слухового прохода |
Видны размеры, форма, асимметрия просвета |
Детально фиксируются костные стенки, возможна оценка гипо- или аплазии канала |
|
Дифференциация причин тугоухости |
Осуществляется между сосудистой, воспалительной, опухолевой и дегенеративной природой |
Ограничена костными аспектами и требует МР-корреляции |
|
Оценка мягких тканей и нерва |
Высокая детализация слухового нерва и лабиринта |
Отсутствует |
|
Лучевая нагрузка |
Отсутствует |
Присутствует |
|
Продолжительность исследования |
20–30 минут |
5–10 минут |
Бесплатный телефон по России: +7(800)300-98-12
Список литературы:
- Золотова, Т. В. Диагностика и лечение нейросенсорной тугоухости: автореф. дис.... канд. мед. наук / Т. В. Золотова. - М., 1988. - 22с.
- Евдощенко, Б. А. Принципы лечения больных с нейросенсорной тугоухостью / Б. А. Евдощенко, А. Л. Косаковский // Журн. ушн., нос. и горл. бол.- 1998. - № 3. - С.43-47.
- Самсонов Ф. А. Патогенетические аспекты лечения больных нейросенсорной тугоухостью / Ф. А. Самсонов // Вестн. оторинолар. - 2004. -№ 4. - С.33-35.
- Сагалович Б.М., Петровская А.П. Дифференциальная диагностика различных форм нейросенсорной тугоухости//Современные методы диагностики и лечения хронических оториноларингологических заболеваний.— М., 1986.— С. 3—8.
- Гофман В.Р. Иммунологические аспекты нейросенсорной тугоухости. - СПб., 1995. - 280 с.
Информационные статьи о диагностике
ЕДИНЫЙ ЦЕНТР ЗАПИСИ НА МРТ И КТ



