Поражения головного мозга представляют собой широкий спектр патологических состояний, которые могут быть обусловлены различными причинами и механизмами. Классификация поражений головного мозга строится на этиопатогенетическом принципе, позволяющем выделить основные категории, каждая из которых включает разнообразные нозологические формы с характерной клинической и морфологической картиной.
Сосудистые поражения мозга являются одними из наиболее распространённых и включают ишемические инсульты, геморрагические инсульты, транзиторные ишемические атаки, васкулопатии, церебральную венозную тромбозу и хроническую ишемию мозга. Механизм их развития связан с нарушением мозгового кровообращения, гипоксией и гибелью нейронов.
Травматические поражения охватывают черепно-мозговую травму различной степени тяжести, включая сотрясение мозга, ушибы, внутричерепные гематомы, диффузное аксональное повреждение и посттравматическую энцефалопатию. Они могут сопровождаться очаговой неврологической симптоматикой, нарушением сознания и стойкими когнитивными нарушениями.
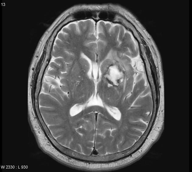
Опухолевые поражения головного мозга включают как первичные новообразования (глиомы, менингиомы, медуллобластомы), так и метастатическое поражение. Рост опухоли может приводить к локальной компрессии, отёку мозга, гидроцефалии и повышению внутричерепного давления, проявляясь очаговыми симптомами и общемозговой клиникой.
Инфекционные поражения обусловлены проникновением патогенных микроорганизмов в нервную ткань и включают менингиты, энцефалиты, менингоэнцефалиты, абсцессы мозга и нейросифилис. Эти процессы могут быть бактериальной, вирусной, грибковой или паразитарной природы и часто сопровождаются лихорадкой, судорогами, расстройством сознания и менингеальными симптомами.
Дегенеративные заболевания мозга характеризуются прогрессирующим нарушением функций нейронов с утратой когнитивных, моторных и поведенческих способностей. К ним относятся болезнь Альцгеймера, болезнь Паркинсона, болезнь Хантингтона, деменция с тельцами Леви, боковой амиотрофический склероз и другие формы нейродегенерации.
Демиелинизирующие заболевания связаны с разрушением миелиновой оболочки аксонов и наиболее типичны для рассеянного склероза, острых диссеминированных энцефаломиелитов (ADEM), нейромиелита оптика и других форм. Эти состояния сопровождаются очаговой неврологической симптоматикой, вариабельным течением и иммунной дисрегуляцией.
Аномалии развития головного мозга включают врождённые пороки, такие как агенезия мозолистого тела, гидроцефалия, лиссэнцефалия, порэнцефалия, аргирия и другие мальформации, возникающие на этапах нейроэмбриогенеза и проявляющиеся в детском возрасте задержкой развития, эпилепсией и нарушениями моторики.
Метаболические и токсические поражения мозга могут быть связаны с эндогенными нарушениями (печёночная энцефалопатия, уремическая энцефалопатия, гипогликемия, гипонатриемия) или воздействием экзогенных токсинов (алкоголь, тяжелые металлы, наркотики, медикаментозная интоксикация). Такие состояния часто приводят к диффузному поражению мозга и нарушениям сознания.
Аутоиммунные и воспалительные поражения включают системные и органоспецифические заболевания, при которых наблюдается иммунное повреждение нервной ткани. Примеры — аутоиммунный энцефалит (в том числе с антителами к NMDA-рецепторам), системная красная волчанка с ЦНС-манифестацией, васкулиты, саркоидоз и ангииты ЦНС.
МРТ и КТ в диагностике поражения головного мозга
Магнитно-резонансная томография при поражении головного мозга хорошо выявляет следующие анатомические признаки:
Сосудистые поражения:
В режиме Т1 наблюдается гипоинтенсивный сигнал в зонах инфаркта или кровоизлияния в стадии резорбции.
В режиме Т2 определяется гиперинтенсивный сигнал при ишемии, глиозе и перифокальном отёке.
В режиме с подавлением сигнала от жидкости усиливается визуализация очагов ишемического размягчения и перивентрикулярной демиелинизации.
В режиме с подавлением сигнала от жира сохраняется контраст между очагами ишемии и окружающей тканью.
В режиме с контрастированием фиксируется нарушение гематоэнцефалического барьера при постишемических изменениях и васкулитах.
Травматические поражения:
В режиме Т1 визуализируются зоны гипоинтенсивности при повреждении вещества мозга и хронических гематомах.
В режиме Т2 выявляются участки гиперинтенсивного сигнала, соответствующие отёку, контузии и глиозу.
В режиме с подавлением сигнала от жидкости подчёркиваются малые участки кровоизлияний и кисты.
В режиме с подавлением сигнала от жира очаги становятся более различимыми по краям.
В режиме с контрастированием возможно усиление в области рубцовых и воспалительных изменений.
Опухолевые поражения:
В режиме Т1 визуализируются гипоинтенсивные массы с возможными зонами гиперинтенсивности при кровоизлиянии или жировом компоненте.
В режиме Т2 определяется гиперинтенсивный сигнал от опухоли, с неоднородной структурой, участками некроза и отёка.
В режиме с подавлением сигнала от жидкости подчёркивается отграниченность опухоли и степень воздействия на прилежащие ткани.
В режиме с подавлением сигнала от жира улучшается визуализация опухолей, инфильтрирующих жировую клетчатку.
В режиме с контрастированием определяется усиление в активной части опухоли, отсутствие усиления в зонах некроза.
Инфекционные поражения:
В режиме Т1 очаги воспаления дают пониженный сигнал, особенно при абсцедировании.
В режиме Т2 визуализируются зоны отёка, размягчения и некроза с гиперинтенсивным сигналом.
В режиме с подавлением сигнала от жидкости подчёркиваются границы воспалительных очагов.
В режиме с подавлением сигнала от жира улучшается различение инфильтрации и окружающих структур.
В режиме с контрастированием выявляется капсульное усиление при абсцессах и диффузное усиление при менингоэнцефалитах.
Дегенеративные заболевания:
В режиме Т1 отмечается снижение интенсивности сигнала в поражённых участках коры и базальных ганглиев.
В режиме Т2 определяется гиперинтенсивность в зонах дегенерации белого вещества и подкорковых структур.
В режиме с подавлением сигнала от жидкости подчёркивается атрофия, утрата различий между зонами коры и белого вещества.
В режиме с подавлением сигнала от жира контраст остаётся стабильным при умеренной атрофии.
В режиме с контрастированием патологических изменений обычно не наблюдается.
Демиелинизирующие заболевания:
В режиме Т1 визуализируются слабогипоинтенсивные очаги в белом веществе.
В режиме Т2 фиксируется множественные гиперинтенсивные очаги, особенно в перивентрикулярной, субкортикальной и мозжечковой зонах.
В режиме с подавлением сигнала от жидкости подчёркиваются активные очаги, не сливающиеся с ликвором.
В режиме с подавлением сигнала от жира визуализируются перивоскулярные инфильтраты.
В режиме с контрастированием активные очаги усиливаются, старые остаются без усиления.
Аномалии развития:
В режиме Т1 отображается утолщённая или неправильная кора, отсутствие нормального извилистого рисунка.
В режиме Т2 выявляются участки задержки миелинизации и гетеротопии серого вещества.
В режиме с подавлением сигнала от жидкости визуализируются порэнцефалические кисты и расщелины.
В режиме с подавлением сигнала от жира структурные отклонения становятся чётче при наличии инфильтрации.
В режиме с контрастированием усиления обычно нет, за исключением осложнённых форм.
Метаболические и токсические поражения:
В режиме Т1 возможен гипоинтенсивный сигнал от участков некроза и нарушений обмена.
В режиме Т2 определяется симметричный гиперинтенсивный сигнал в базальных ядрах и мозжечке.
В режиме с подавлением сигнала от жидкости подчёркиваются зоны отёка и метаболической демиелинизации.
В режиме с подавлением сигнала от жира выявляется изменение структуры при хронических отравлениях.
В режиме с контрастированием усиления не наблюдается.
Аутоиммунные и воспалительные поражения:
В режиме Т1 визуализируются зоны пониженного сигнала в областях воспаления.
В режиме Т2 определяется гиперинтенсивный сигнал в мозге, мозжечке и стволовых структурах.
В режиме с подавлением сигнала от жидкости подчёркиваются слабовыраженные очаги, особенно при энцефалите.
В режиме с подавлением сигнала от жира улучшается визуализация менингеальных и периваскулярных инфильтратов.
В режиме с контрастированием определяется диффузное или кольцевидное усиление при активной фазе воспаления.
Диагностические преимущества МР-томографии
МРТ позволяет детально визуализировать следующие диагностические параметры:
- Сосудистые поражения выявляются по изменениям сигнала в режимах Т2 и с подавлением жидкости, визуализируются инфаркты, лакуны, участки постгипоксического размягчения и отёка.
- Травматические поражения определяются за счёт оценки структуры мозгового вещества, выявляются очаги ушиба, диффузного аксонального повреждения и последствия черепно-мозговой травмы в Т1, Т2 и с подавлением жидкости.
- Опухолевые поражения визуализируются в Т1 с контрастированием и в Т2, определяется структура, васкуляризация, зоны некроза, инфильтрации и распространение.
- Инфекционные поражения выявляются по гиперинтенсивным изменениям в Т2 и режимах с подавлением жидкости, визуализируются абсцессы, энцефалиты и последствия нейроинфекций.
- Дегенеративные заболевания определяются как участки атрофии, утраты слоистости и уменьшения толщины коры, преимущественно в Т1 и с подавлением жидкости.
- Демиелинизирующие заболевания хорошо визуализируются в Т2 и с подавлением жидкости, определяются множественные очаги в белом веществе, перивентрикулярные бляшки и активные зоны.
- Аномалии развития выявляются по структуре и форме извилин, борозд и мозолистого тела, особенно в Т1 и Т2, уточняются лиссенцефалия, агенезия, дизгенезия.
- Метаболические и токсические поражения отображаются как симметричные очаги гиперинтенсивного сигнала в базальных ядрах и белом веществе на Т2 и с подавлением жидкости.
- Аутоиммунные и воспалительные поражения выявляются по распространённости сигнала в Т2 и с подавлением жидкости, визуализируются зоны отёка, инфильтрации и нарушения гематоэнцефалического барьера.
Диагностические ограничения МР-сканирования
Магнитно-резонансная томография имеет ряд ограничений, и с её помощью не всегда возможно оценить следующие аспекты:
- Сосудистые поражения на раннем этапе ишемии или при наличии кальцинатов отображаются с недостаточной выраженностью сигнала.
- Травматические поражения с вовлечением костных структур основания черепа или при наличии обызвествления определяются ограниченно.
- Опухолевые образования без выраженного контрастного накопления при инфильтративном росте имеют размытые границы и требуют дополнительной верификации.
- Инфекционные поражения с капсулированными структурами или кальцинатами, такими как при токсоплазмозе, отображаются недостаточно отчётливо.
- Дегенеративные изменения на ранней стадии без выраженной атрофии не отличаются от возрастных нормальных изменений.
- Демиелинизирующие поражения при низкой активности процесса могут не фиксироваться без усиления сигнала.
- Аномалии развития с минимальной структурной трансформацией при отсутствии симптоматики остаются трудновыявляемыми.
- Метаболические нарушения без устойчивых изменений в структуре белого вещества не дают специфических сигналов.
- Аутоиммунные поражения при интактном гематоэнцефалическом барьере не сопровождаются контрастным усилением и отображаются слабо.
Компьютерная томография при поражении головного мозга хорошо выявляет следующие анатомические признаки по основным категориям поражений:
Сосудистые поражения:
В нативном режиме визуализируется гиперденсивный сигнал при кровоизлияниях, субарахноидальной крови и гематомах, формируется зона пониженной плотности при инфаркте мозга в подострой и хронической фазе.
В режиме сканирования мягких тканей уточняется объём постишемических изменений, выявляется отёк, компрессия желудочков и смещение срединных структур.
В режиме с контрастированием визуализируются зоны нарушенного мозгового кровотока, формируется контрастное усиление сосудистых мальформаций и тромбозов синусов.
Травматические поражения:
В нативном режиме хорошо видны линейные и вдавленные переломы костей черепа, острые эпидуральные и субдуральные гематомы, а также внутримозговые кровоизлияния.
В режиме сканирования мягких тканей определяются очаги ушиба мозга, отёк, диффузное аксональное повреждение и внутричерепная гипертензия.
В режиме с контрастированием уточняются зоны кровоизлияния и возможные сосудистые повреждения.
Опухолевые поражения:
В нативном режиме визуализируются объёмные образования с различной плотностью, зоны кальцинатов, костная деструкция и деформация оболочек мозга.
В режиме сканирования мягких тканей определяется структура опухоли, смещение прилежащих структур и отёк.
В режиме с контрастированием наблюдается накопление контраста в опухолевом узле, определяется неравномерность, интенсивность и тип усиления, фиксируются зоны некроза.
Инфекционные поражения:
В нативном режиме могут визуализироваться гиподенсивные зоны размягчения, кальцинаты при хронических инфекциях.
В режиме сканирования мягких тканей определяется выраженность отёка, объём поражения и реакция оболочек.
В режиме с контрастированием фиксируется кольцевидное усиление при абсцессах и менингеальных реакциях.
Дегенеративные заболевания:
В нативном режиме определяются расширенные желудочки и борозды, снижение объёма мозгового вещества.
В режиме сканирования мягких тканей визуализируется выраженная атрофия структур, особенно в теменно-височной и лобной зонах.
Контраст не применяется рутинно, возможен при подозрении на сочетанную патологию.
Демиелинизирующие заболевания:
В нативном режиме не выявляются достоверные признаки без выраженных изменений.
В режиме сканирования мягких тканей возможна визуализация зон сниженной плотности, но без достаточной чувствительности.
Контрастное усиление не даёт специфической картины, диагностическая ценность ограничена.
Аномалии развития:
В нативном режиме хорошо видна форма и конфигурация костей черепа при подозрении на краниостеноз.
В режиме сканирования мягких тканей визуализируются аномалии мозолистого тела, гидроцефалия, агенезия отдельных структур.
Контраст позволяет уточнить наличие сосудистых аномалий и особенности ликворных путей.
Метаболические и токсические поражения:
В нативном режиме не выявляются отчётливые признаки без вторичных изменений.
В режиме сканирования мягких тканей возможна визуализация симметричных участков сниженной плотности при тяжёлых формах.
Контрастное усиление используется редко и не даёт специфических данных.
Аутоиммунные и воспалительные поражения:
В нативном режиме визуализируются гиподенсивные зоны при развитии воспаления, отёк, кальцинаты.
В режиме сканирования мягких тканей фиксируется реакция оболочек, объём воспалительного очага.
В режиме с контрастированием наблюдается усиление оболочек, инфильтрация мягких тканей, вовлечение сосудистых структур.
Диагностические преимущества компьютерного сканирования
МСКТ позволяет детально визуализировать следующие диагностические параметры:
- Сосудистые поражения выявляются за счёт высокой чувствительности к свежей крови, что даёт возможность раннего выявления внутричерепных гематом и кровоизлияний, а также оценки субарахноидального пространства и желудочковой системы.
- Травматические изменения структур костей черепа, оболочек мозга и мозгового вещества визуализируются в виде переломов, гематом, очагов ушиба и компрессии, с возможностью оценки динамики отёка и вторичных осложнений.
- Опухоли мозга отображаются по плотности ткани, наличию кальцинатов, костной деструкции и объёмному воздействию на соседние структуры, при контрастировании хорошо видна сосудистая активность образования.
- Воспалительные процессы визуализируются по степени отёка, смещению ликворных пространств, изменению плотности вещества мозга и усилению контраста в зонах абсцедирования или менингита.
- Аномалии развития черепа и мозга выявляются по костным маркёрам, форме черепной коробки, наличию агенезий, кистозных образований и изменению симметрии ликворных пространств.
Диагностические ограничения КТ
Компьютерная томография имеет ряд ограничений, и с её помощью не всегда удаётся точно визуализировать следующие аспекты:
- Демиелинизирующие заболевания не сопровождаются отчётливыми плотностными изменениями, поэтому не выявляются при отсутствии выраженного отёка или структурных дефектов.
- Метаболические и токсические поражения не отображаются при отсутствии грубых вторичных изменений плотности, таких как некроз или кальциноз, а симметричные поражения коры и базальных ядер остаются неразличимыми.
- Функциональные и нейромедиаторные нарушения не визуализируются, так как метод не фиксирует активность нейронов, особенности метаболизма и изменения белкового обмена.
- Малые сосудистые мальформации, васкулиты и поражения капиллярного русла остаются вне зоны надёжной оценки, особенно без применения ангиографических техник.
- Ранние стадии дегенеративных заболеваний головного мозга не определяются при отсутствии выраженной атрофии или изменения ликворных пространств.
Сравнительный анализ методов
|
Критерий |
МРТ |
КТ |
|---|---|---|
|
Принцип работы |
Радиочастотный резонанс ядер водорода в магнитном поле |
Поглощение рентгеновского излучения с построением плотностной реконструкции |
|
Структура серого и белого вещества |
Визуализируется с высокой контрастностью, особенно в Т1 и Т2 |
Оценивается ограниченно при невыраженной разнице плотности |
|
Очаги ишемии, глиоза, демиелинизации |
Видны как зоны изменённого сигнала с чёткой локализацией |
Выявляются только при значительных плотностных изменениях |
|
Внутричерепные кровоизлияния |
Определяются в SWI и Т2 как зоны смешанного сигнала |
Хорошо визуализируются при гиперденсности в нативном режиме |
|
Визуализация сосудистой проницаемости и воспаления |
Оценивается по контрастному усилению и нарушению барьера |
Фиксируется при выраженном усилении, чувствительность ниже |
|
Инфильтрация опухоли или воспаления |
Подробно отображается в многоплоскостной реконструкции |
Определяется по плотности, особенно при использовании контраста |
|
Структура костей основания и свода черепа |
Не визуализируется с достаточной точностью |
Отлично видна, особенно в высокоразрешающем режиме |
|
Анатомические ориентиры внутри мозга |
Детализируются в срезах Т1, Т2 и FLAIR |
Оцениваются ориентировочно при наличии деформации или смещения |
|
Характер и границы объёмных образований |
Уточняются по сигналу, контрастному усилению и зоне отёка |
Видны при изменённой плотности и объёмном эффекте |
|
Лучевая нагрузка |
Отсутствует |
Присутствует |
|
Продолжительность исследования |
30–40 минут |
5–10 минут |
Бесплатный телефон по России: +7(800)300-98-12
Список литературы:
- Ганнушкина И.В. Иммунологические аспекты травмы и сосудистых поражений мозга . -М.: Медицина, 1994; 198.
- Беличенко О.И., Абрамова Н.Н., Терновой С.К. Магнитно-резонансная ангиография в диагностике поражений экстра- и интракраниальных артерий у больных с цереброваскулярными заболеваниями. Мед. радиология и радиационная безопасность 1996; 41 (6): 5-11.
- Бернштейн Е.Ф. Клинический спектр сосудистых заболеваний головного мозга. // Техника не инвазивной диагностики сосудистых заболеваний. Сан Луи Изд . KB Мосби КО 1985 С. 301-315.
- Зенков, Л.Р. Функциональная диагностика нервных болезней / Л.Р. Зенков, М.А. Ронкин. -М.: Медицина, 1991. 640 с.
- Арефьев, В.А. Динамика электроэнцефалографических данных у больных после устранения травматического сдавления головного мозга // Нейродинамика черепно-мозговой травмы / В.А. Арефьев. Горький, 1984.-С. 191-193.
Информационные статьи о диагностике
ЕДИНЫЙ ЦЕНТР ЗАПИСИ НА МРТ И КТ



