МРТ и КТ в диагностике псевдотуморозного панкреатита
Магнитно-резонансная томография при псевдотуморозном панкреатите хорошо выявляет следующие анатомические признаки:
В режиме Т1 определяется гипоинтенсивный сигнал от увеличенной головки поджелудочной железы, что отражает воспалительный инфильтрат с фиброзным компонентом.
В режиме Т2 визуализируется неоднородный гиперинтенсивный сигнал, чаще с выраженными зонами отёка и расширением главного панкреатического протока.
В режиме с подавлением сигнала от жира подчёркивается зона уплотнения и воспалительного отёка, особенно в парапанкреатической клетчатке.
В режиме с контрастированием определяется постепенное, диффузное накопление контраста с низкой степенью усиления, без чёткой капсулы и признаков инвазии в сосуды, что отличает воспалительное образование от опухоли.
Фиксируется деформация и нерезкое расширение главного панкреатического протока, иногда с признаками его сужения в области головки.
Диагностические преимущества МР-томографии
МРТ позволяет детально визуализировать следующие диагностические параметры:
- Протяжённость воспалительного процесса в ткани железы и парапанкреатической клетчатке фиксируется в Т2-режиме и при подавлении сигнала от жира.
- Толщина воспалительного инфильтрата и его структура оцениваются по однородности сигнала и характеру контрастного усиления.
- Глубина вовлечения магистральных сосудов и отсутствие признаков инвазии определяются по сохранности их контуров.
- Диаметр и форма главного панкреатического протока визуализируются при МР-холангиопанкреатографии, что даёт возможность оценить степень стеноза.
- Наличие отёка, перидуктального фиброза и парапанкреатических жидкостных скоплений позволяет дифференцировать воспалительный процесс от опухоли.
Диагностические ограничения МР-сканирования
Магнитно-резонансная томография имеет ряд ограничений, и с её помощью не всегда удаётся точно визуализировать следующие аспекты:
- Малые участки кальциноза или обызвествлений не визуализируются, что ограничивает выявление хронических изменений.
- Без динамического контрастирования трудно отличить фиброзный узел от гиповаскулярной опухоли.
- Наличие дуктальной гипоплазии или клеточного облитеративного фиброза не выявляется.
- Дифференцировать аутоиммунный панкреатит от аденокарциномы возможно не во всех случаях без морфологического подтверждения.
- Доступность и длительность исследования ограничивают его использование в экстренной диагностике.
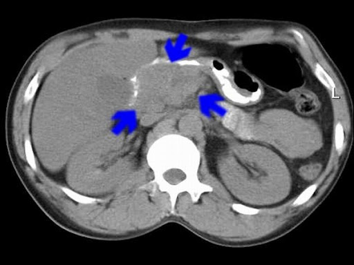
Компьютерная томография при псевдотуморозном панкреатите хорошо выявляет следующие анатомические признаки:
В нативном режиме определяется увеличение головки поджелудочной железы с пониженной плотностью и неровными, но не инфильтративными краями.
В режиме сканирования мягких тканей визуализируется диффузная инфильтрация парапанкреатической клетчатки без чётких границ и с вовлечением дуоденальной стенки.
В режиме с контрастированием фиксируется слабое, равномерное или слегка гетерогенное накопление контрастного вещества в зоне воспалительного узла.
В режиме высокоразрешающего сканирования костных и кальцифицированных структур могут выявляться участки паренхиматозного обызвествления при сочетании с хроническим панкреатитом.
Фиксируется деформация или сужение общего желчного протока на уровне головки железы без признаков его инвазии или обструкции твёрдой опухолью.
Диагностические преимущества компьютерного сканирования
МСКТ позволяет детально визуализировать следующие диагностические параметры:
- Толщина и плотность воспалительного образования в головке поджелудочной железы оцениваются в динамике, что помогает отличить опухолевое и воспалительное течение.
- Границы образования и его влияние на соседние структуры фиксируются по степени смещения и деформации, а не инвазии.
- Протяжённость парапанкреатического воспаления и наличие жидкости, инфильтрации или лимфоаденопатии оцениваются в стандартных и тонкосрезовых режимах.
- Форма и диаметр главного панкреатического и желчного протоков визуализируются при трёхфазном контрастном исследовании.
- Наличие участков кальциноза, характерных для хронического процесса, дифференцируется от новообразований.
Диагностические ограничения КТ
Компьютерная томография имеет ряд ограничений, и с её помощью не всегда удаётся точно визуализировать следующие аспекты:
- Структура стромы, наличие фиброзной ткани и выраженность воспалительного отёка не визуализируются без МР-визуализации.
- Тонкие протоки и ранние признаки аутоиммунного воспаления не определяются без МР-холангиопанкреатографии.
- Контрастная картина может быть схожа с гиповаскулярными опухолями при выраженном фиброзе.
- Ограниченная возможность оценки динамики сигнала внутри образования снижает точность дифференциации.
- Без контрастного усиления не фиксируются границы активного воспаления, что затрудняет оценку протяжённости процесса.
Сравнительный анализ методов
|
Критерий |
МРТ |
КТ |
|---|---|---|
|
Принцип метода |
Ядерно-магнитный резонанс, фиксирующий сигнальные характеристики тканей по насыщенности водородом |
Рентгеновская томография, отображающая анатомические структуры по плотности тканей к ионизирующему излучению |
|
Визуализация воспалительного образования |
Гипоинтенсивный сигнал в Т1, неоднородный гиперинтенсивный в Т2 с постепенным накоплением контраста |
Пониженная плотность с равномерным или слегка гетерогенным контрастным усилением без чётких инфильтративных границ |
|
Дифференциация с опухолью |
Отсутствие инвазии сосудов, постепенное слабое усиление, сохранение структуры протока |
Отсутствие инфильтрации, слабое накопление контраста и отсутствие выраженного масс-эффекта |
|
Оценка главного панкреатического протока |
Фиксируется деформация и нерезкое сужение, отчётливо при МР-холангиопанкреатографии |
Форма и диаметр протока видны при трёхфазном исследовании, но без детализации слабовыраженных изменений |
|
Визуализация парапанкреатической клетчатки |
Отёк и воспаление определяются в Т2 и жироподавленных режимах |
Диффузная инфильтрация с деформацией дуоденальной стенки |
|
Выявление фиброзного компонента |
Отражается как зона плотного сигнала без инвазии, с постепенным усилением контраста |
Низкая плотность, слабое накопление контраста, не отличающееся от гиповаскулярных опухолей |
|
Наличие кальцинатов |
Не фиксируются без КТ |
Выявляются участки кальциноза при сочетанном хроническом панкреатите |
|
Степень сосудистой инвазии |
Сосуды визуализируются отчётливо, признаки компрессии без стенозов и обрыва сигнала |
Сосуды сохраняют просвет, смещаются без признаков обтурации или инфильтрации |
|
Детализация анатомических границ |
Чёткая дифференциация между головкой, протоком, сосудами и окружающими структурами |
Относительно грубая анатомическая детализация, особенно в области мягкотканных компонентов |
|
Лучевая нагрузка |
Отсутствует, метод безопасен при повторных исследованиях |
Присутствует, ограничивает частоту динамического контроля |
|
Продолжительность исследования |
25–40 минут, ограничено при нестабильном состоянии пациента |
5–10 минут, предпочтительно при экстренной диагностике |
Бесплатный телефон по России: +7(800)300-98-12
Список литературы:
- Логинов А.С., Садоков В.М. Дифференциальная диагностика рака головки поджелудочной железы и псевдотуморозного панкреатита // Сов. Медицина.-1989.- №10,- С. 93-95.
- Тихонова В.С., Груздев И.С., Кондратьев Е.В., Михайлюк К.А., Кармазановский Г.Г. Дифференциальная диагностика псевдотуморозного панкреатита и протоковой аденокарциномы поджелудочной железы: характеристики КТ с контрастированием и текстурного анализа. Медицинская визуализация. 2022;26(1):140-154.
- Губергриц Н.Б. Клиничекая панкреатология / Н.Б. Губергриц, Т.Н. Христич. – Донецк: ООО «Лебедь», 2000. – 416 с.
- Внутренние болезни : учебник : в 2 т. / под ред. Н. А. Мухина, В. С. Моисеева, А. И. Мартынова. – 2-изд. испр. и доп. – М. : ГЭОТАР-Медиа, 2012. – Том 1. – 672 с.
- Бацков С.С. Ультразвуковой метод исследования в гепатологии и панкреатологии (диагностические и дифференциально-диагностические возможности). СПб, 1998. - 167 с.
- Шелагуров А.А. Болезни поджелудочной железы. М.: Медицина, 1970.-324 с.
Информационные статьи о диагностике
ЕДИНЫЙ ЦЕНТР ЗАПИСИ НА МРТ И КТ



