МРТ и УЗИ в диагностике гематометры
Гематометра представляет собой скопление крови в полости матки вследствие нарушения оттока, часто связанного с обструкцией цервикального канала или врождёнными аномалиями. Для первичной диагностики используется ультразвуковое исследование, которое позволяет выявить объём, структуру и однородность содержимого, а также оценить состояние эндометрия и проходимость канала. Магнитно-резонансная томография при гематометре хорошо выявляет следующие анатомические признаки:
В режиме Т1 определяется гиперинтенсивный сигнал в полости матки, что указывает на присутствие крови, особенно в случаях с высоким содержанием белков или при её частичной организации.
В режиме Т2 визуализируется гипоинтенсивное или неоднородное образование в просвете полости, соответствующее скоплению крови в различных стадиях деградации.
В режиме с подавлением сигнала от жира сохраняется интенсивность сигнала внутри полости, что подтверждает геморрагическое, а не жировое или серозное содержимое.
В режиме с контрастированием отсутствует накопление контрастного вещества в просвете, при этом стенки матки могут незначительно усиливаться при наличии сопутствующего воспаления.
Матка визуализируется с увеличенным объёмом, расширенной полостью и утолщенными миометриями без признаков деформации, что характерно для неосложнённой гематометры.
Диагностические преимущества МР-томографии
МРТ позволяет детально визуализировать следующие диагностические параметры:
- Интенсивность сигнала в Т1- и Т2-режимах позволяет определить фазу кровоизлияния и степень его организации, что имеет значение для дифференциальной диагностики.
- Толщина стенки матки и равномерность миометрия оцениваются по дифференцировке сигнала, что помогает исключить миометрит или перфорацию.
- Глубина расширения полости определяется на сагиттальных и аксиальных срезах, что позволяет установить степень накопления крови.
- Протяжённость и конфигурация скопления визуализируются в многоплоскостных проекциях, что способствует точной локализации и определению препятствия оттоку.
- Наличие вторичных признаков, таких как ретенция крови в шейке или вовлечение цервикального канала, чётко определяется, что помогает установить причину нарушения оттока.
Диагностические ограничения МР-сканирования
Магнитно-резонансная томография имеет ряд ограничений, и с её помощью не всегда удаётся точно визуализировать следующие аспекты:
- При небольшом объёме крови сигнал может быть сходным с секреторным эндометрием, особенно в поздней фазе менструального цикла.
- Сгустки с равномерным распределением без выраженного контраста плохо отличимы от гиперплазии или других внутриматочных содержимых.
- При выраженных артефактах от перистальтики кишечника ухудшается визуализация полости матки, особенно при тонком эндометрии.
- Фиброзные стенки матки в постоперационных случаях снижают контрастность и ограничивают оценку состояния эндометрия.
- МРТ не позволяет оценить в реальном времени степень проходимости цервикального канала, что имеет значение при обструктивных формах гематометры.
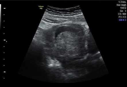
Ультразвуковое исследование при гематометре хорошо выявляет следующие анатомические признаки:
В серошкальном режиме визуализируется увеличенная матка с анэхогенным или неоднородным гипоэхогенным содержимым в её полости, соответствующим скоплению крови.
В режиме мягкотканевого сканирования определяется утолщение эндометриального слоя и деформация полости за счёт внутриматочного содержимого, с наличием эхогенных включений при частично организованной крови.
В допплеровском режиме в полости матки отсутствует кровоток, при этом может определяться повышенная перфузия по стенке при сопутствующем воспалении.
Диагностические преимущества УЗ-исследования
Ультразвуковая диагностика позволяет детально визуализировать следующие диагностические параметры:
- Объём скопившейся крови в полости определяется по размеру анэхогенной или смешанной эхогенности зоны, что даёт представление о степени накопления.
- Толщина и структура эндометрия выявляются в серошкальном режиме, что помогает исключить органические причины обструкции.
- Глубина полости и её деформация точно определяются при продольном и поперечном сканировании, что позволяет оценить степень расширения.
- Однородность содержимого указывает на стадию кровоизлияния и наличие или отсутствие свежих сгустков.
- Состояние шейки матки и её проходимость может быть оценено при трансвагинальном сканировании, особенно при наличии гематометры, вызванной цервикальной обструкцией.
Диагностические ограничения УЗИ
Сонография имеет ряд ограничений, и с её помощью не всегда удаётся точно визуализировать следующие аспекты:
- При частично резорбированной крови с высокой эхогенностью отличить её от полипа или остатков плодного яйца бывает затруднительно.
- Малая толщина эндометрия и слабая эхоконтрастность при гипоэстрогенных состояниях ограничивают возможность оценки его структуры.
- При наличии перегибов матки затруднено определение границ полости и точного распределения содержимого.
- Наличие артефактов от кишечных петель может ухудшать визуализацию матки при трансабдоминальном доступе.
- Сильно организованная гематома визуализируется как плотная структура, что может ошибочно трактоваться как внутриматочное образование.
Сравнительный анализ методов
|
Критерий |
МРТ |
УЗИ |
|---|---|---|
|
Принцип метода |
Визуализация анатомических и тканевых структур на основе различий в сигнальных характеристиках в многоплоскостной проекции |
Формирование изображения на основе эхосигналов от тканей различной плотности |
|
Визуализация полости матки |
Полость матки расширена, заполнена содержимым с гиперинтенсивным или неоднородным сигналом, что соответствует крови |
Визуализируется анэхогенное или гипоэхогенное содержимое в расширенной полости матки |
|
Оценка стенки и миометрия |
Стенка утолщена, структура миометрия равномерная, без признаков деформации |
Толщина стенки оценима, структура без изменений, возможна деформация за счёт содержимого |
|
Оценка характера содержимого |
Сигнальные характеристики указывают на геморрагическую природу и стадию деградации |
Эхогенность позволяет предположить жидкостный или сгусточный характер, с затруднением точной фазы кровоизлияния |
|
Визуализация шейки и цервикального канала |
Визуализируется ретенция в шейке и нарушение оттока, канал может быть перекрыт |
Проходимость канала оценивается при трансвагинальном доступе, возможна визуализация блокировки |
|
Дифференциация с другими внутриматочными состояниями |
Возможно различие между гематомой, полипом и остатками при помощи сигнальных и контрастных характеристик |
Частично организованная кровь может быть ошибочно принята за полип или другое образование |
|
Возможность оценки осложнений |
Визуализируется инфильтрация стенки, признаки воспаления, возможное распространение в окружающие ткани |
Перфузия стенки может быть усилена при воспалении, окружающие ткани оцениваются ограниченно |
|
Анатомическая детализация |
Высокая детализация формы, глубины, конфигурации скопления и связи с шейкой |
Детализация ограничена при неблагоприятных акустических условиях |
|
Лучевая нагрузка |
Отсутствует |
Отсутствует |
|
Продолжительность |
20–30 минут |
10–15 минут |
|
Критерий |
МРТ |
УЗИ |
Бесплатный телефон по России: +7(800)300-98-12
Список литературы:
- Бекманн Ч. Р., Линг Ф., Баржански Б. и др. Акушерство и гинекология. — М.: Медицинская литература, 2004.— 548 с.
- Макаренко Т. А., Никифорова Д. Е., Ульянова И. О. Внутриматочные синехии: особенности хирургического лечения и профилактика рецидивов // Медицинский совет. — 2018. — № 7. — С. 146.
- Пороки развития женских половых органов: учебное пособие для самостоятельной внеаудиторной работы/сост.: С.Ю. Муслимова, И.В. Cахаутдинова, Э.М. Зулкарнеева, Т.П. Кулешова. – Уфа: Изд-во БашНИПИнефть, 2015.
- Гематометра как осложнение после кесарева сечения / Е.А. Чернуха, JI.M. Комиссарова, Т.К. Пучко, В.А. Ананьев // Проблемы беременности. 2003. - № 7. - С. 64-68.
- Пирлман М., Тинтиналли Дж., Дин П. Неотложные состояния в акушерстве и гинекологии: диагностика и лечение. М.: БИНОМ; Лаборатория знаний, 2009 г.
Информационные статьи о диагностике
ЕДИНЫЙ ЦЕНТР ЗАПИСИ НА МРТ И КТ



