МРТ и УЗИ в диагностике ретроцервикального эндометриоза
Магнитно-резонансная томография при ретроцервикальном эндометриозе выявляет следующие анатомические признаки:
В режиме Т1-взвешенных изображений определяется участок повышенного сигнала в зоне позадишеечного пространства, сигнал соответствует наличию гемосидерина и компонентов старой крови в фиброзно-изменённой ткани.
В режиме Т2-взвешенных изображений визуализируется зона пониженного сигнала с неравномерными границами, сигнал отражает наличие плотной эндометриоидной инфильтрации с элементами фиброза.
В режиме с подавлением сигнала от жира определяется гетерогенный очаг в проекции ретроцервикальной области, сигнал состоит из чередующихся гиперинтенсивных и гипоинтенсивных участков, что соответствует фиброзно-геморрагическому компоненту.
В режиме с подавлением сигнала от воды сохраняется низкий сигнал от основного очага, окружающая клетчатка визуализируется с участками лёгкого отёка.
В режиме с внутривенным контрастированием выявляется умеренное накопление контраста в активной части очага, сигнал подтверждает наличие персистирующего воспалительного процесса в эндометриоидной ткани.
Диагностические преимущества МР-томографии
МРТ позволяет детально визуализировать следующие диагностические параметры:
- Глубина инфильтрации клетчатки позадишеечного пространства, что имеет значение при определении степени поражения и планировании объёма хирургического вмешательства.
- Толщина эндометриоидного очага, что используется при контроле прогрессирования заболевания.
- Протяжённость спаечного компонента, что важно при анализе вовлечённости соседних структур, включая прямую кишку и крестцово-маточные связки.
- Наличие геморрагических включений, что имеет значение при дифференциации активного и фиброзного эндометриоза.
- Форма и границы инфильтрата, что используется при уточнении распространения и выявлении сочетанного тазового эндометриоза.
Диагностические ограничения МР-сканирования
Магнитно-резонансная томография имеет ряд ограничений, и с её помощью не всегда удаётся точно визуализировать следующие аспекты:
- Различие между плотной фиброзной тканью и инертной спаечной капсулой, что ограничивает точность стадирования.
- Малые эндометриоидные очаги без кровянистого содержимого, что снижает чувствительность в фазе ремиссии.
- Оценка подвижности прямой кишки и матки, что невозможно при статичной визуализации и ограничивает анализ спаечного процесса.
- Отражение активности воспалительного компонента без чёткого накопления контраста, что затрудняет диагностику в хронической форме.
- Визуализация поверхностных перитонеальных очагов, что ограничено при их тонкости и отсутствии гемосидерина.
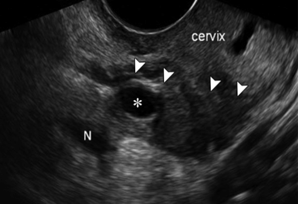
Ультразвуковое исследование не является базовым исследованием для диагностики ретроцервикального эндометриоза, потому что ограничено в оценке глубины инфильтрации, различии активных и фиброзных очагов и визуализации слабовыраженных перитонеальных включений при невыраженных анатомических смещениях. Ретроцервикальный эндометриоз представляет собой форму наружного эндометриоза с поражением позадишеечного пространства, сопровождающуюся болевым синдромом, диспареунией и нарушениями функций тазовых органов. Для диагностики назначаются магнитно-резонансная томография и лапароскопия. Косвенно УЗИ выявляет следующие анатомические признаки:
В серошкальном режиме визуализируется гипоэхогенный участок неправильной формы в проекции заднего свода влагалища и позадишеечного пространства, структура соответствует эндометриоидной инфильтрации с нечёткими границами, стенка заднего свода выглядит утолщённой и ригидной, матка смещается кпереди и может быть фиксирована, а прямая кишка приближается к задней поверхности шейки с утратой нормального межорганного скольжения.
В режиме сканирования мягких тканей определяется снижение эхогенности парацервикальной клетчатки и увеличение толщины крестцово-маточных связок, структура соответствует воспалительной инфильтрации и рубцовой трансформации.
В допплеровском режиме выявляется минимальный или отсутствующий кровоток в пределах инфильтрата, что подтверждает преобладание фиброзного компонента при хроническом течении.
Диагностические преимущества УЗ-исследования
Ультразвуковая диагностика позволяет детально визуализировать следующие диагностические параметры:
- Толщина и эхогенность инфильтрата в заднем своде, что имеет значение при уточнении глубины эндометриоза.
- Протяжённость поражения крестцово-маточных связок, что используется при анализе степени фиксации матки.
- Нарушение подвижности органов в динамическом режиме, что имеет значение при выявлении выраженного спаечного процесса.
- Форма и контуры инфильтрата, что используется при дифференциации с другими вариантами опухолевидных образований малого таза.
- Отражение вовлечённости прямой кишки, что важно для оценки необходимости комбинированного хирургического вмешательства.
Диагностические ограничения УЗИ
Сонография имеет ряд ограничений, и с её помощью не всегда удаётся точно визуализировать следующие аспекты:
- Глубина инфильтрации в параректальную клетчатку, что ограничивает оценку при отсутствии выраженного анатомического смещения.
- Дифференциация активных и фиброзных участков в зоне поражения, что затруднено при одинаковой эхогенности.
- Чёткость границ инфильтрата в условиях малого акустического окна, что снижает визуализацию при низкой подвижности органов.
- Визуализация малых очагов на поверхности брюшины, что остаётся за пределами чувствительности стандартного сканирования.
- Оценка состояния передней стенки прямой кишки, что ограничивается её газовым содержимым и перегибами.
Сравнительный анализ методов
|
Критерий |
МРТ |
УЗИ |
|---|---|---|
|
Принцип работы |
Магнитное поле и радиоволны, визуализация эндометриоидной инфильтрации и кровяных включений |
Ультразвуковые волны, визуализация плотных и воспалительных структур в области таза |
|
Чувствительность к изменениям стенки |
Высокая — визуализирует толщину инфильтрата и признаки воспалительной трансформации |
Средняя — отображает утолщение заднего свода и ригидность тканей |
|
Чувствительность к содержимому |
Высокая — определяет геморрагические включения и гетерогенные участки в фиброзной ткани |
Ограничена — не различает активные и фиброзные компоненты в инфильтрате |
|
Определение границ образования |
Высокая — отображает форму, протяжённость и границы инфильтрации в ретроцервикальной зоне |
Средняя — границы инфильтрата нечёткие, особенно при малом акустическом окне |
|
Выявление парависцеральных изменений |
Высокая — визуализирует поражение клетчатки и крестцово-маточных связок |
Средняя — фиксирует снижение эхогенности клетчатки и утолщение связок |
|
Визуализация полости и перегородок |
Средняя — отображает гетерогенную структуру, но поверхностные очаги не всегда видимы |
Ограничена — не выявляет малые перитонеальные очаги и внутрисвязочные компоненты |
|
Различие между типами содержимого |
Высокая — позволяет отличать гемосидерин, фиброз и активное воспаление |
Ограничена — эхогенность одинаковая при различных фазах поражения |
|
Выявление васкуляризации |
Средняя — накопление контраста выявляет активные участки воспаления |
Низкая — кровоток часто отсутствует при хроническом процессе |
|
Контрастное усиление |
Используется — умеренное накопление контраста указывает на активный воспалительный очаг |
Отсутствует |
|
Лучевая нагрузка |
Отсутствует |
Отсутствует |
|
Продолжительность исследования |
30–45 мин |
10–15 мин |
Бесплатный телефон по России: +7(800)300-98-12
Список литературы:
- Классификации эндометриоза / Э.К. Айламазян // Журнал акушерства и женских болезней. - 2017. - Т.66, №2. - С. 77-92.
- Бурлев В.А., Гаспарян С.А., Павлович С.В., Адамян JI.B. Клинико-диагностическое значение сосудисто-эндотелиального фактора роста при ретроцервикальном эндометриозе.//Проблемы репродукции №6. -2002. - с.44-46.
- Ельцов-Стрелков В.И., Краснополский В.И., Кулаков В.И., Калганова Н.П. О лечении ретроцервикального эндометриоза. -//Акуш. и гинек.-1980.-№6.-с.35-37.
- Кондриков Н.И., Беляева Н.А., Завалишина Л.Э., Адамян Л.В. и др. Клинико-морфологическая характеристика ретроцервикального эндометриоза. // Акуш. и гинек.-1989.-№2.-С.49-55.
- Хачатрян А.К. Эхография в диагностике внутреннего и ретроцервикального эндометриоза. Автореферат дис. . к.м.н. — М., 1996.-23с.
Информационные статьи о диагностике
ЕДИНЫЙ ЦЕНТР ЗАПИСИ НА МРТ И КТ



