МРТ, КТ, УЗИ в диагностике кистомы яичника
МРТ выявляет следующие анатомические признаки:
На Т1-взвешенных изображениях определяется капсулированное образование в области придатков матки с гипоинтенсивным сигналом от жидкостного содержимого, однородным или с элементами кровоизлияния.
На Т2-взвешенных изображениях визуализируется гиперинтенсивный сигнал от содержимого кисты, позволяющий оценить структуру жидкости и наличие перегородок.
В режиме с подавлением сигнала от жира подчёркивается отграниченность капсулы кистомы от прилежащих тканей и наличие жировых включений, если таковые имеются.
В режиме с подавлением сигнала от воды определяется утолщение капсулы или внутрисосудистые перегородки, подозрительные на пролиферативный процесс.
На изображениях с контрастным усилением оценивается васкуляризация стенки и перегородок образования, что позволяет отличить кистому от злокачественного новообразования.
Мультипланарные реконструкции помогают точно определить расположение кистомы относительно матки, мочевого пузыря и прямой кишки.
Оценивается вовлечение окружающих структур в патологический процесс, включая возможный асцит при осложнённом течении.
Диагностические преимущества МР-томографии
МРТ позволяет детально визуализировать следующие диагностические параметры:
- Структура содержимого кистозного образования с различением однородной и неоднородной жидкости.
- Толщина капсулы и наличие перегородок, отражающих степень сложности образования.
- Контуры и границы образования с окружающими анатомическими структурами.
- Признаки геморрагического компонента или участков некроза внутри образования.
- Оценка пролиферативных изменений и подозрение на малигнизацию по интенсивности сигнала и усилению после контраста.
- Наличие параовариальных кист или сопутствующих изменений в матке и придатках.
- Дифференциация кистомы от других объёмных образований малого таза.
Диагностические ограничения МР-сканирования
Магнитно-резонансная томография имеет ряд ограничений, и с её помощью не всегда удаётся точно визуализировать следующие аспекты кистомы яичника:
- Сложности в дифференцировке между доброкачественной кистомой и граничными опухолями без гистологического подтверждения.
- Невозможность чёткой визуализации микрокальцинатов и точной минерализации.
- Ограничения в доступности обследования у пациенток с металлическими имплантами.
- Зависимость качества изображения от неподвижности пациента при длительном исследовании.
- Интерпретация неконтрастных изображений при отказе от контрастного усиления может быть ограниченной.
- Невозможность одновременно оценить метаболическую активность образования.
- Отсутствие динамической функциональной информации, в отличие от сцинтиграфии или ПЭТ.
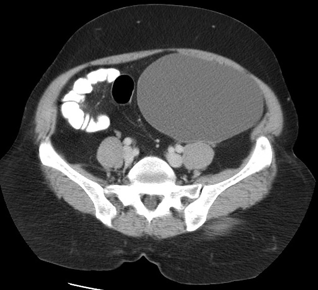
КТ не является базовым исследованием для диагностики кистомы яичника, потому что не обеспечивает достаточной детализации структуры содержимого, толщины капсулы и степени васкуляризации образования. Приоритетным методом диагностики является магнитно-резонансная томография органов малого таза. МСКТ выявляет следующие анатомические признаки:
В нативном режиме определяется округлое или овальное гиподенсивное образование с чёткими краями в проекции придатков.
В режиме сканирования мягких тканей визуализируется тонкая капсула, возможные кальцинаты в её составе и участки плотности в перегородках.
В режиме с контрастированием отмечается умеренное или слабое накопление контраста в стенке и перегородках, что отражает васкуляризацию.
В режиме высокоразрешающего сканирования костных структур уточняется взаиморасположение образования с тазовыми костями при больших размерах опухоли.
Диагностические преимущества компьютерного сканирования
МСКТ позволяет детально визуализировать следующие диагностические параметры:
- Размер образования с точной оценкой в трёх плоскостях.
- Наличие плотных включений и кальцинатов в капсуле.
- Васкуляризация стенки и перегородок при контрастировании.
- Отношение кистомы к мочевому пузырю, матке и кишечным петлям.
- Оценка свободной жидкости в брюшной полости при подозрении на осложнение.
- Оценка возможных метастатических изменений в брюшине и лимфоузлах при подозрении на осложнённое течение.
- Наличие признаков сдавления или смещения соседних органов.
Диагностические ограничения КТ
Компьютерная томография имеет ряд ограничений, и с её помощью не всегда удаётся точно визуализировать следующие аспекты:
- Сложности в оценке характера содержимого (жидкость, слизь, кровь) без контраста.
- Невозможность отличить доброкачественную кистому от злокачественного процесса только по плотности.
- Ограничение в определении внутренних перегородок при небольших размерах.
- Недостаточная чувствительность к выявлению жирового компонента.
- Неинформативность без контрастирования при малых размерах образования.
- Не проводится динамическая оценка накопления контраста.
- Невозможность точной оценки мягкотканых компонентов и глиозных изменений.
УЗИ выявляет следующие анатомические признаки:
В серошкальном режиме визуализируется анэхогенное или гипоэхогенное округлое образование с тонкой или утолщённой капсулой.
Определяются внутренние перегородки различной толщины, с возможными включениями.
При допплеровской оценке возможна васкуляризация капсулы, особенно при сложной структуре кистомы.
Имеется возможность выявления признаков осложнения — перекрута, кровоизлияния, нагноения.
Визуализируется смещение соседних структур, особенно при крупных образованиях.
Определяется контур и эхоструктура противоположного яичника.
При трансвагинальном исследовании визуализируются детали внутренней архитектоники образования.
Диагностические преимущества УЗ-исследования
Ультразвуковая диагностика позволяет детально визуализировать следующие диагностические параметры кистомы яичника:
- Толщина капсулы и наличие перегородок.
- Структура содержимого — эхогенность, гомогенность, наличие включений.
- Наличие признаков кровоизлияния или внутренней трансформации.
- Размеры и рост образования в динамике.
- Признаки воспалительных изменений в окружающих тканях.
- Наличие жидкости в позадиматочном пространстве или в боковых карманах.
- Оценка степени васкуляризации по данным цветового допплера.
Диагностические ограничения УЗИ
Сонография имеет ряд ограничений, и с её помощью не всегда удаётся точно визуализировать следующие аспекты кистомы яичника:
- Ограниченная чувствительность в оценке глубокорасположенных образований при выраженном метеоризме.
- Сложности в визуализации при крупных образованиях, выходящих за пределы малого таза.
- Невозможность точной оценки степени злокачественности.
- Снижение детализации структуры капсулы по сравнению с МРТ.
- Сложности в дифференциации сложных кистом от других опухолей.
- Невозможность мультипланарной оценки структуры образования.
- Ограниченная информативность при наличии спаечного процесса.
Сравнительный анализ методов
|
Критерий |
КТ |
МРТ |
УЗИ |
|---|---|---|---|
|
Принцип работы |
Рентгеновские лучи, визуализация плотных и кальцифицированных структур |
Магнитное поле, визуализация мягкотканевых и жидкостных компонентов |
Ультразвук, исследование в реальном времени с трансвагинальным доступом |
|
Визуализация содержимого |
Видна плотность, но не позволяет отличить слизь, кровь, жидкость |
Высокая — структура жидкости, кровоизлияния, перегородки |
Оценивается эхогенность, внутренние включения и гомогенность |
|
Визуализация капсулы и перегородок |
Тонкая капсула, кальцинаты видны при контрастировании |
Точная визуализация толщины капсулы, сосудистых перегородок |
Перегородки различной толщины, визуализируются при хорошем окне |
|
Оценка васкуляризации |
Умеренное накопление контраста в стенке и перегородках |
Чёткое усиление васкулярных зон на контрасте |
Цветной допплер фиксирует кровоток при сложной структуре |
|
Дифференциация доброкачественного и злокачественного процесса |
Ограничена — по плотности не различается |
Признаки пролиферации, усиление контраста, структура содержимого |
Возможна только при выраженной сосудистой атипии |
|
Оценка смещения и вовлечения соседних органов |
Видно сдавление мочевого пузыря, матки, кишечных петель |
Мультипланарно оцениваются отношения с органами таза |
Смещение визуализируется при больших размерах образования |
|
Выявление осложнений |
Видны асцит, кальцинаты, косвенные признаки перекрута |
Оценивается асцит, некроз, кровоизлияния, вовлечение брюшины |
Возможна диагностика перекрута, кровоизлияния, нагноения |
|
Детализация структуры |
Ограничена — плотность, кальцинаты, контуры |
Высокая — различение тканей, утолщений, сосудистой активности |
Зависит от качества изображения, доступности, акустических условий |
|
Контроль за динамикой |
Ограничен из-за лучевой нагрузки |
Оптимален — без облучения, оценка структуры и сигналов |
Применим — безопасен, но менее точен при сложных формах |
|
Ограничения при малых размерах |
Снижение информативности без контраста |
Ограничена точность при отказе от контраста |
Малые образования могут быть не видны при плохом окне |
|
Возможность мультипланарного анализа |
Доступна — костные ориентиры, объём |
Высокая — ориентация, расположение, отношение к структурам |
Отсутствует — только фронтальная/сагиттальная проекция |
|
Лучевая нагрузка |
Высокая — 5–7 мЗв |
Отсутствует |
Отсутствует |
|
Продолжительность исследования |
5–10 мин |
30–60 мин |
10–15 мин |
Бесплатный телефон по России: +7(800)300-98-12
Список литературы:
- Гинекология. Национальное руководство. Под ред. Г.М. Савельевой, Г.Т. Сухих, В.Н. Серова, И.Б. Манухина, В.Е Радзинского. ГЭОТАР-Медиа. 2017, 1048 с.
- Востров А.Н., Степанов С.О., Корнеева И.А. Дифференциальная ультразвуковая диагностика доброкачественных и злокачественных новообразований яичников/ Онкология. Журнал им. П.А. Герцена, 2015, № 3, с. 52-58.
- Гинекология. Национальное руководство. Под ред. Г.М. Савельевой, Г.Т. Сухих, В.Н. Серова, И.Б. Манухина, В.Е Радзинского. ГЭОТАР-Медиа. 2017, 1048с.
- Нейштадт Э.Л., Ожиганова И.Н. Опухоли яичника. - СПб: ООО «Издательство ФОЛИАНТ», 2014. -352с.
- Бычков, В.М. Сравнительное гисто-ультраструктурное изучение различных типов серозных кистом яичников: Дис. . канд. мед. наук./ В.М. Бычков. - Л., 1980. - 231 с.
Информационные статьи о диагностике
ЕДИНЫЙ ЦЕНТР ЗАПИСИ НА МРТ И КТ



