МРТ, КТ, УЗИ в диагностике водянки желчного пузыря
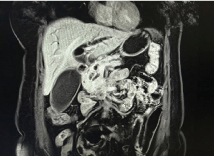
Магнитно-резонансная томография при подозрении на водянку желчного пузыря проводится в режиме аксиальной и коронарной Т2-взвешенной томографии с жироподавлением, с последующим выполнением нативной магнитно-резонансной холангиографии. Исследование направлено на визуализацию увеличенного желчного пузыря, признаки его обтурации и состояния желчевыводящих путей. Признаки являются прямыми и анатомическими.
МРТ выявляет следующие анатомические признаки водянки желчного пузыря:
На Т2-взвешенных изображениях определяется гиперинтенсивный сигнал от избыточно расширенной полости желчного пузыря с продольным размером более 10 см и поперечным более 4 см.
Стенка желчного пузыря равномерно истончена, толщина не превышает 3 мм, контуры гладкие, без признаков воспалительной инфильтрации.
В шейке желчного пузыря или пузырном протоке может определяться структура с низким сигналом, соответствующая обтурирующему конкременту.
Жёлчные протоки дистальнее уровня блока не визуализируются или представлены утончённой линией без сигнала, что указывает на механическую обструкцию.
Общий жёлчный проток может быть нормального диаметра или умеренно расширен, в зависимости от длительности блока.
Окружающие структуры не изменены, признаков отёка, инфильтрации или воспалительного процесса не определяется.
Диагностические преимущества магнитно-резонансной томографии
МР-томография позволяет детально визуализировать следующие диагностические параметры:
- Измерение размеров полости желчного пузыря в трёх проекциях с оценкой формы и степени дилатации.
- Точная дифференциация сигналов от жёлчи и стенки пузыря, что позволяет выявить отсутствие воспаления.
- Выявление обтурирующих конкрементов в области шейки или пузырного протока за счёт характерного низкого сигнала на фоне гиперинтенсивной жёлчи.
- Нативная холангиография позволяет оценить проходимость протоков и выявить уровень блока без введения контрастных веществ.
- Визуализация топографического соотношения увеличенного пузыря с окружающими структурами, включая сосудисто-протоковые пучки и печень.
Диагностические ограничения МРТ
МРТ имеет ряд ограничений, и с её помощью не всегда удаётся точно визуализировать следующие аспекты:
- Конкременты менее 3 мм, расположенные в области устья пузырного протока, могут не различаться на фоне гиперинтенсивной жёлчи.
- Трудности оценки функционального состояния пузыря и характера секреции, которые требуют динамического радионуклидного исследования.
- Искажение изображения при наличии артефактов от дыхательных движений, особенно у пациентов с выраженным метеоризмом.
- Ограниченная информативность у лиц с противопоказаниями к МРТ (имплантаты, стимуляторы, выраженная клаустрофобия).
- Невозможность достоверной визуализации структуры слизистой оболочки желчного пузыря и степени её гиперплазии.
Компьютерная томография проводится при подозрении на водянку желчного пузыря в режиме мультиспирального сканирования с контрастным усилением. Цель исследования — выявление прямых анатомических признаков перерастяжения пузыря, наличия включений в проекции пузырного протока и оценки степени нарушения желчного оттока.
КТ выявляет следующие признаки водянки желчного пузыря:
Увеличение продольного размера желчного пузыря более 100 мм при поперечном — более 40 мм.
Грушевидная форма органа без признаков деформации или стенозирования шейки.
Истончение стенки менее 2 мм с чёткими, равномерными контурами.
Гиподенсное содержимое однородной плотности до 20 HU без уровней или включений газов.
Отсутствие контрастного поступления в просвет пузыря при сохранённой васкуляризации печени.
Визуализация конкрементов размером менее 3 мм в области шейки или пузырного протока.
Наличие компрессии прилежащих отделов двенадцатиперстной кишки или печени без признаков инвазии.
Диагностические преимущества МСКТ
КТ-диагностика даёт возможность детально визуализировать следующие диагностические параметры:
- Позволяет количественно измерить размеры жёлчного пузыря и выявить значительное его увеличение.
- Обеспечивает определение формы органа и целостности стенки без применения инвазивных техник.
- Позволяет оценить плотность содержимого и дифференцировать застоявшуюся жёлчь от гнойного экссудата.
- Даёт возможность обнаружить камни диаметром менее 3 мм в пузырном протоке.
- Позволяет выявить нарушение пассажа контраста и определить непроходимость выводных путей.
- Визуализирует взаимоотношения жёлчного пузыря с прилежащими органами при выраженном перерастяжении.
Диагностические ограничения компьютерной томографии
Метод имеет ряд ограничений, и с его помощью не всегда удаётся точно визуализировать следующие аспекты:
- Структурные изменения слизистой оболочки без контрастирования полости пузыря.
- Нарушение сократительной функции пузыря в покое при отсутствии динамической оценки.
- Начальные воспалительные изменения стенки, если отсутствует перихолецистит.
- Дифференциация водянки от хронического холецистита при схожих морфологических признаках.
- Присутствует лучевая нагрузка: при выполнении КТ органов брюшной полости с внутривенным контрастированием суммарная эффективная доза составляет от 5 до 9 мЗв.
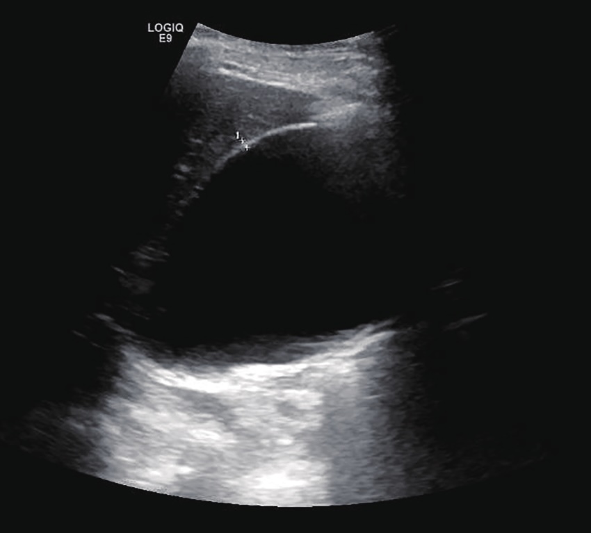
Ультразвуковое исследование проводится при подозрении на водянку жёлчного пузыря с целью выявления прямых анатомических признаков перерастяжения органа, застоя содержимого и нарушения пассажа по пузырному протоку. Исследование выполняется в В-режиме трансабдоминально натощак для оптимизации визуализации стенки и содержимого пузыря.
Ультразвуковое исследование выявляет следующие анатомические признаки водянки жёлчного пузыря:
Продольный размер жёлчного пузыря превышает 100 мм, поперечный — более 40 мм.
Форма органа грушевидная с чёткими, растянутыми контурами без признаков деформации.
Толщина стенки уменьшена, составляет менее 2 мм, стенка визуализируется как тонкая и равномерная.
Полость пузыря заполнена анэхогенным однородным содержимым без признаков перемешивания.
Отсутствие акустических теней и эхосигналов, свидетельствующих о газах или хлопьях.
Признаки компрессии прилегающих тканей или органов при значительном увеличении пузыря.
Гиперэхогенные включения в проекции шейки или пузырного протока с дистальной акустической тенью, диаметром менее 3 мм.
Диагностические преимущества УЗИ
Сонография позволяет детально визуализировать следующие диагностические параметры:
- Позволяет точно измерить продольный и поперечный размеры жёлчного пузыря при перерастяжении.
- Даёт возможность выявить истончение стенки менее 2 мм как характерный признак водянки.
- Позволяет визуализировать внутреннее содержимое с определением эхогенности и однородности жёлчи.
- Обеспечивает высокую чувствительность к выявлению конкрементов диаметром до 3 мм в шейке или протоке.
- Позволяет в реальном времени оценить топографическое расположение пузыря и влияние на соседние структуры.
- Даёт возможность проводить динамическую оценку при изменении положения тела пациента.
Диагностические ограничения УЗИ
УЗ-исследование имеет ряд ограничений, и с его помощью не всегда удаётся точно визуализировать следующие аспекты:
- Изменения стенки жёлчного пузыря при наличии наложенных кишечных газов.
- Визуализация шейки и пузырного протока может быть затруднена при выраженном метеоризме.
- Дифференциация водянки от хронического холецистита при отсутствии данных о сократимости.
- Оценка характера нарушенного оттока невозможна без сопоставления с данными холецистографии.
- Сложности в распознавании воспалительных изменений стенки при отсутствии перихолецистита.
Сравнительный анализ методов
|
Критерий |
УЗИ |
КТ |
МРТ |
|
Принцип метода |
Генерация и приём высокочастотных ультразвуковых волн с формированием изображения в реальном времени |
Рентгеновское излучение с послойным сканированием и измерением плотности тканей в единицах Хаунсфилда, внутривенное контрастирование |
Регистрирование радиочастотного сигнала от ядер водорода в магнитном поле с формированием томографических изображений, включая Т2-взвешенные последовательности и МР-холангиографию |
|
Режим и цель |
Трансабдоминальное В-режимное сканирование натощак для выявления признаков перерастяжения жёлчного пузыря, застоя содержимого и нарушений пассажа по пузырному протоку |
Мультиспиральное сканирование с внутривенным контрастированием для выявления перерастяжения пузыря, наличия включений и оценки степени нарушения желчного оттока |
Аксиальные и коронарные Т2-взвешенные изображения с жироподавлением и нативная МР-холангиография для визуализации увеличенного пузыря, признаков обтурации и состояния желчных протоков |
|
Признаки |
Продольный размер более 100 мм, поперечный более 40 мм; грушевидная форма с чёткими контурами; стенка менее 2 мм; анэхогенное однородное содержимое; отсутствие газов; компрессия соседних структур; гиперэхогенные включения до 3 мм в шейке или протоке |
Продольный размер более 100 мм, поперечный более 40 мм; грушевидная форма; истончённая стенка менее 2 мм; гиподенсное содержимое до 20 HU; отсутствие контраста в просвете; конкременты до 3 мм; компрессия прилежащих органов |
Гиперинтенсивный сигнал от полости пузыря на Т2, размеры более 10 см × 4 см; равномерно истончённая стенка до 3 мм; конкремент с низким сигналом в шейке или протоке; отсутствие сигнала от дистальных протоков; нормальный или умеренно расширенный общий жёлчный проток; отсутствие признаков воспаления |
|
Диагностические преимущества |
Точное измерение размеров при перерастяжении; выявление истончения стенки менее 2 мм; оценка эхогенности и однородности содержимого; высокая чувствительность к камням до 3 мм; топографическая оценка положения пузыря; динамическая оценка при изменении положения тела |
Количественное измерение размеров; оценка формы и целостности стенки; определение плотности содержимого и дифференциация жёлчи и гноя; выявление камней менее 3 мм; определение нарушения пассажа контраста; оценка взаимоотношений с соседними органами |
Измерение размеров в трёх плоскостях; дифференциация жёлчи и стенки; выявление конкрементов в шейке и протоке; оценка проходимости протоков без контраста; определение топографических соотношений с соседними структурами |
|
Ограничения |
Затруднения при метеоризме и наложении кишечных газов; ограниченная визуализация шейки и протока; невозможность дифференциации с хроническим холециститом без оценки сократимости; отсутствие данных о характере нарушенного оттока |
Не визуализирует изменения слизистой без контрастирования полости; невозможность оценки сократимости; трудности в выявлении начальных воспалительных изменений; сходство признаков с хроническим холециститом |
Не визуализирует конкременты менее 3 мм у устья протока; невозможность оценки функции пузыря; артефакты от дыхания; противопоказания к МРТ; невозможность оценки структуры слизистой |
|
Доступность и мобильность |
Высокая мобильность, возможность проведения у постели пациента |
Требует стационарного оборудования, невозможна транспортировка к пациенту |
Требует стационарного томографа, невозможна транспортировка к пациенту |
|
Возможность повторных исследований |
Неограниченная частота повторов без риска |
Ограничена из-за лучевой нагрузки |
Неограниченная частота повторов без лучевой нагрузки |
|
Подготовка пациента |
Натощак, иногда ограничение приёма газообразующих продуктов |
Натощак, при контрастировании — внутривенный доступ и исключение противопоказаний |
Натощак, исключение противопоказаний к МРТ, при необходимости седация при клаустрофобии |
|
Лучевая нагрузка |
Отсутствует |
5–9 мЗв |
Отсутствует |
|
Продолжительность исследования |
5–15 минут включая протокол описания |
5–10 минут включая сканирование и контрастирование |
20–40 минут включая МР-холангиографию |
Бесплатный телефон по России: +7(800)300-98-12
Список литературы:
- Григорьев П. Я. Клиническая гастроэнтерология : учебник для студентов медицинских вузов / П. Я. Григорьев, А. В. Яковенко. 3е изд., перераб. и доп. — М. : Медицинское информационное агентство, 2004. — 768 с.
- Хэгглин Р. Дифференциальная диагностика внутренних болезней/ пер. с нем. — М. : ТриадаХ, 1997. — 796 с.
- Ильченко А.А. Заболевания желчного пузыря. Диагностика. Лечение. // Экстра-выпуск. Механизмы регуляции желчеобразования и методы его коррекции. 2003. - С. 6 — 8.
- Силивончик Н.Н. Функциональные билиарные расстройства и подходы к их лечению // Рецепт. 2003. - Т. 28, № 28. - С. 47-53.
- Митысов В.В. Клиническое руководство по ультразвуковой диагностике // М.: издат. «Видар», 1996. Т. 1. - С. 105-108.
Информационные статьи о диагностике
ЕДИНЫЙ ЦЕНТР ЗАПИСИ НА МРТ И КТ



