Виды десмоидной опухоли
Абдоминальная десмоидная опухоль развивается в стенке живота, чаще всего у женщин после родов или операций.
Интраабдоминальная десмоидная опухоль возникает в сальнике, брыжейке или забрюшинном пространстве, особенно часто у пациентов с синдромом Гарднера и визуализируется как неоднородное мягкотканное образование, которое может сдавливать кишечник или сосуды. Экстраабдоминальная десмоидная опухоль локализуется в конечностях, пояснице, шее или грудной стенке.
Интракраниальные или черепно-основанные десмоидные опухоли могут проявляться в области основания черепа.
МРТ в диагностике десмоидной опухоли
Магнитно-резонансная томография проводится в аксиальной, фронтальной и сагиттальной проекциях в режимах Т1- и Т2-взвешенных изображений, а также с применением режима подавления сигнала от жира и внутривенного контрастного усиления. Применяется при подозрении на десмоидную опухоль с целью оценки размеров, локализации, структуры и степени инвазии новообразования в окружающие ткани, включая фасции, мышцы и сосудисто-нервные пучки.
МРТ выявляет следующие анатомические признаки десмоидной опухоли:
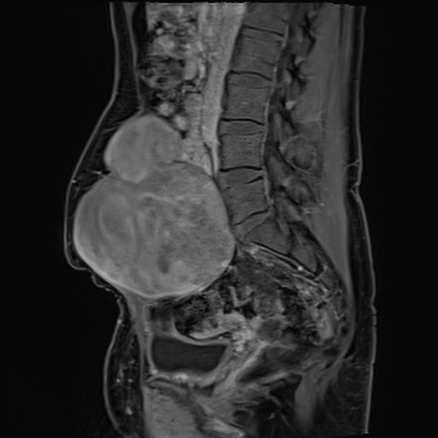
Абдоминальная десмоидная опухоль:
- Изоинтенсивное или слегка гипоинтенсивное образование на Т1-взвешенных изображениях, располагающееся в толще прямой мышцы живота или апоневроза.
- Гиперинтенсивный сигнал на Т2, с внутренней неоднородной структурой — чередование участков фиброза и клеточных компонентов.
- Контрастное усиление гетерогенное, преимущественно по периферии, с выраженной васкуляризацией активных зон опухоли.
- Отсутствие капсулы, прорастание между мышечными волокнами и в апоневротические перегородки.
- Возможное втяжение кожи, уплощение контуров брюшной стенки или локальное выбухание.
- Иногда выявляется инфильтрация подкожной клетчатки или фасциального слоя.
Интраабдоминальная десмоидная опухоль:
- Образование мягкотканной плотности в проекции брыжейки, большого сальника или забрюшинного пространства, с неизменённой архитектурой кишечной стенки.
- Сигнал на Т1 — изоинтенсивный по сравнению с мышцей, с небольшими участками гипоинтенсивности.
- На Т2 — неоднородный гиперинтенсивный сигнал, более выраженный в зонах с клеточной пролиферацией.
- После контрастного усиления выявляется постепенное, неравномерное накопление контраста — центральные зоны усиливаются медленно, периферия — интенсивнее.
- Признаки сдавления или смещения кишки, мочеточника, сосудов без признаков инвазии в полые органы.
- Может наблюдаться деформация брыжеечных сосудов и утрата жировых прослоек между опухолью и прилежащими структурами.
- Нередко визуализируется инфильтрация фасциальных оболочек и жировой клетчатки.
Экстраабдоминальная десмоидная опухоль:
- Плотное мягкотканное образование, локализующееся в мышечных слоях конечностей, поясничной области, грудной стенки или шеи.
- На Т1 — гипоинтенсивное, гомогенное или с точечными включениями фиброза.
- На Т2 — неоднородный гиперинтенсивный сигнал, чередующийся с участками низкой интенсивности в зонах выраженного фиброза.
- Контрастное усиление выраженное, неравномерное: в клеточных зонах — быстрое и интенсивное, в фиброзных — слабое и постепенное.
- Контуры образования частично расплывчатые, с признаками прорастания в соседние мышечные группы, сухожилия и фасциальные перегородки.
- Признаки компрессии сосудов, нервов и утолщения прилежащих фасциальных структур.
- Иногда выявляется втяжение кожи или деформация поверхностного контура тела.
Интракраниальная или черепно-основанная десмоидная опухоль:
- Очаговое образование в области основания черепа, чаще в проекции клиновидной или височной кости.
- На Т1 — низкий или смешанный сигнал, соответствующий преобладанию фиброзной ткани.
- На Т2 — повышенный сигнал в центральных участках, с гипоинтенсивным ободком по периферии.
- Контрастное усиление постепенное, неоднородное, преимущественно в активных, менее фиброзных компонентах опухоли.
- Признаки инвазии в кости основания черепа — утрата кортикального слоя, очаговая деструкция, деформация краниобазальных контуров.
- Сдавление или смещение прилежащих структур мозга, сосудов, черепных нервов.
- Иногда визуализируются признаки вовлечения мягких тканей околоносовых пазух или орбиты при латеральном распространении.
Диагностические преимущества магнитно-резонансной томографии
МР-томография позволяет детально визуализировать следующие диагностические параметры:
- Точное определение размеров, формы и локализации образования в пределах мягких тканей.
- Оценка внутренней структуры опухоли, включая соотношение миксоидных и фиброзных компонентов по сигналу в разных режимах.
- Анализ степени инвазии в окружающие ткани с чёткой дифференциацией мышечно-фасциальных плоскостей.
- Характеристика сосудистого компонента опухоли на основе интенсивности и равномерности накопления контрастного вещества.
- Возможность динамического наблюдения за ростом опухоли и ответом на терапию без лучевой нагрузки.
- Высокая пространственная и контрастная разрешающая способность при визуализации глубоких мягкотканевых структур.
Диагностические ограничения
МРТ имеет ряд ограничений, и с её помощью не всегда удаётся точно визуализировать следующие аспекты:
- Ограниченная специфичность сигнальных характеристик, что затрудняет дифференцировку с другими фиброзными или саркоматозными образованиями.
- Невозможность точной оценки клеточного состава и степени активности опухоли без морфологического подтверждения.
- Снижение чувствительности при наличии артефактов движения или имплантированных металлических конструкций.
- Невозможность визуализации клеточного распространения вдоль фасциальных структур.
- Ограниченная доступность метода при клаустрофобии, нестабильном состоянии пациента или противопоказаниях к контрастированию.
Бесплатный телефон по России: +7(800)300-98-12
Список литературы:
- Ковалев А.И. Клиника и лечение десмоидных опухолей. // В кн.: Актуальные проблемы онкологии и медицинской радиологии., БССР, 1980, №9, с. 89-91.
- Морозова С.В. Разработка консервативных методов лечения десмоидных фибром. // Дисс. канд., М., 2004.
- Морозова, С. В. Разработка консервативных методов лечения десмоидных фибром : дис. ... канд. мед. наук : 14.00.14 / Морозова, Светлана Вячеславовна. - М., 2004. - С. 154.
- Павлова М.М. Десмоидные опухоли экстраабдоминальной локализации. // Архив патол., 1969, № 10, 75-78.
- Порошин-Клещук К.К. Патологическая анатомия опухолево подобных заболеваний и истинных опухолей фиброзной ткани. // Автореф. дисс. докт., М., 1978.
Информационные статьи о диагностике
ЕДИНЫЙ ЦЕНТР ЗАПИСИ НА МРТ И КТ



