МРТ в диагностике глиомы хиазмы
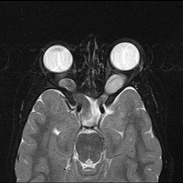
Магнитно-резонансная томография при подозрении на глиому хиазмы проводится в режимах Т1-взвешенных, Т2-взвешенных и диффузионно-взвешенных изображений с контрастным усилением. Обследование проводится в рамках нейровизуализации при нарушениях зрения, гипоталамических симптомах или признаках краниофарингиомы. Цель — детальное выявление анатомо-структурных изменений в области хиазмы зрительных нервов, определение характера опухоли, её распространения и степени компрессии окружающих структур.
МРТ выявляет следующие анатомические признаки глиомы хиазмы:
На Т1-взвешенных изображениях — изоинтенсивный или умеренно гипоинтенсивный очаг в проекции хиазмы, с нечёткими границами и слабым различием от окружающей ткани.
На Т2-взвешенных изображениях — гиперинтенсивный сигнал от массы в области хиазмы и прилежащей части зрительных нервов, с признаками отёка или кистозной дегенерации.
После введения контрастного препарата — нерезкое, диффузное или гетерогенное накопление контраста, особенно в пределах опухоли инфильтративного типа.
Деформация и расширение хиазмы с вовлечением зрительных трактов или гипоталамических структур.
Сдавление третьего желудочка или изменение ликвородинамики при росте образования кверху.
Отсутствие капсулы и границ, характерное для астроцитарных глиом низкой степени дифференцировки.
Признаки инфильтративного роста без признаков некроза или кровоизлияния на ранних стадиях.
Нарушение симметрии зрительных нервов и зрительных трактов, их утолщение, искривление или смещение.
Диагностические преимущества
МР-томография позволяет детально визуализировать следующие диагностические параметры глиомы хиазмы:
- Размеры и форма опухоли с точной анатомической локализацией в пределах хиазмально-супраселярной области.
- Характер МР-сигнала на разных последовательностях, включая оценку однородности, наличия кист, зон отёка или дегенерации.
- Степень и характер контрастного усиления — как показатель васкуляризации и потенциальной злокачественности.
- Протяжённость опухоли по ходу зрительных нервов и возможность вовлечения гипоталамуса, зрительных трактов и других срединных структур.
- Выраженность и направление компрессии третьего желудочка, риск окклюзионной гидроцефалии.
- Оценка инфильтративного характера роста без чётких границ, типичного для диффузных астроцитом.
- Отслеживание динамики в ответ на терапию (лучевую или химиотерапию) при повторных исследованиях.
Диагностические ограничения
МРТ имеет ряд ограничений, и с её помощью не всегда удаётся точно визуализировать следующие аспекты:
- Невозможно достоверно определить степень клеточной атипии без морфологического подтверждения.
- Ограниченная специфичность сигнала — глиома может имитировать другие объёмные процессы (краниофарингиома, герминома, воспалительные инфильтраты).
- Трудности в дифференциации между реактивным утолщением зрительного тракта и инфильтративным вовлечением.
- Небольшие зоны микрокальцинатов и кровоизлияний выявляются ограниченно по сравнению с КТ.
- Оценка степени нарушения проводимости зрительных путей невозможна без нейрофизиологических методов.
- Не удаётся отличить границы опухоли при глубоком инфильтративном распространении без анатомических ориентиров.
- Функциональные последствия (утрата поля зрения, гормональные сдвиги) требуют дополнительной клинико-лабораторной корреляции.
Бесплатный телефон по России: +7(800)300-98-12
Список литературы:
- Серова Н.К., Коновалов А.Н., Элиава Ш.Ш., и др. Глиома хиазмы и зрительных нервов, проявившаяся кровоизлиянием (два клинических наблюдения и обзор литературы). Журнал «Вопросы нейрохирургии» имени Н.Н. Бурденко. 2016;80(5):90‑97.
- Борисова И.А. Варианты роста глиом различных отделов зрительного пути, их хирургическое лечение //Бюл. Укр. Асоц. 1998.—№6. С.59.
- Давыдова Т.Г., Хилъко В.А. Клиника, диагностика и хирургическое лечение глиом зрительных нервов и хиазмы //Опухоли гипофиза и хиазмально-селлярной области /Под ред. Б.А.-Самотокина, В.А.Хилько.— Л.: Медицина, 1985.— С.273—276.
- СмирновЛ.И. Гистогенез, гистология и топография опухолей мозга.— М.: Медгиз, 1951.— Ч.1.— С.96—97.
- Серова Н. Глиома хиазмы и зрительных нервов, проявившаяся кровоизлиянием (два клинических наблюдения и обзор литературы) / Н. Серова, А. Коновалов, Ш. Элиава, О. Тропинская, О. Кучина, Н. Елисеева, И. Пронин, Ю. Пилипенко // Вопросы нейрохирургии имени Н.Н.Бурденко - 2016. - Т. 80 - № 5 - 90-97с.
Информационные статьи о диагностике
ЕДИНЫЙ ЦЕНТР ЗАПИСИ НА МРТ И КТ



