Рентген в диагностике очагового туберкулеза легких
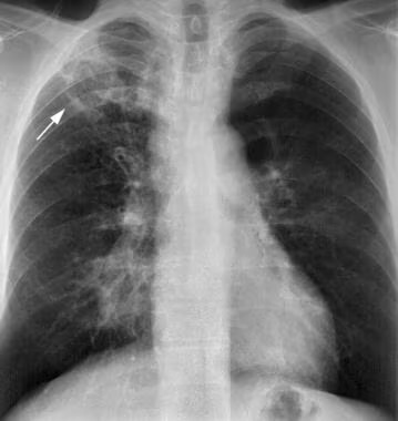
Обследование проводится в прямой (переднезадней) и боковой проекциях грудной клетки, при необходимости — с прицельной съёмкой верхушек лёгких. Визуализируются преимущественно прямые признаки: множественные очаги уплотнения в лёгочной ткани, преимущественно в верхних отделах, с характерными особенностями формы и распределения. Цель исследования — выявление локализации, количества, размеров и структурных особенностей туберкулёзных очагов, а также оценка наличия сопутствующих изменений.
Рентгенография выявляет следующие признаки очагового туберкулёза лёгких:
Наличие множественных малых очагов (2–5 мм) округлой или неправильной формы с неравномерной интенсивностью тени, чаще в субапикальных и верхнедолевых отделах.
Тенденция к группировке очагов, образующих конгломераты с нечёткими, размытыми контурами, особенно на фоне фиброзно-склеротических изменений.
Участки с просветлениями или кальцинатами, свидетельствующими о давности процесса или очаговом обызвествлении.
Местное обеднение сосудистого рисунка и умеренная деформация лёгочного поля в зоне поражения.
Перифокальный интерстициальный отёк или уплотнение, особенно в фазе инфильтрации.
При прогрессирующем течении — формирование небольших полостей распада с неравномерными внутренними стенками.
Диагностические преимущества рентгена
Рентгенограмма даёт возможность детально визуализировать следующие диагностические параметры:
- Определение точной локализации очагов, преимущественно в верхних и задних сегментах лёгких, с анализом их распределения.
- Измерение размеров очаговых образований, их количества и плотности, включая выявление конгломератов и участков обызвествления.
- Оценка характера контуров (чёткие, размытые, сливаются в группы) и степени перифокальных изменений.
- Выявление начальных признаков распада или формирования полостей, что важно для стадирования процесса.
- Возможность сопоставления с ранее выполненными рентгенограммами для оценки динамики заболевания.
- Проведение исследования доступно, быстро, возможно в амбулаторных и стационарных условиях без сложной подготовки.
Диагностические ограничения
Рентген имеет ряд ограничений, и с его помощью не всегда удаётся точно визуализировать следующие аспекты:
- Низкая чувствительность к выявлению очагов менее 2 мм в диаметре, особенно при их локализации на фоне выраженного сосудистого рисунка.
- Сложности дифференциации свежих активных очагов от старых посттуберкулёзных изменений без данных КТ или томографии.
- Невозможность достоверной оценки бронхиального дерева и внутригрудных лимфатических узлов.
- Недостаточная визуализация полостей распада и ранних фаз кавитации, особенно при наложении теней крупных сосудов.
- Снижение качества исследования при значительных деформациях грудной клетки, массивном плевральном фиброзе или ожирении.
- Присутствует лучевая нагрузка: при выполнении рентгенографии грудной клетки в прямой, боковой проекциях с прицельной съёмкой верхушек лёгких суммарная эффективная доза составляет от 0,12 до 0,2 мЗв.
Бесплатный телефон по России: +7(800)300-98-12
Список литературы:
- Способ лечения очагового и инфильтративного туберкулеза легких / Виноградова Т. И., Ковалева Р. Г., Кондакова М. Н. / Патент РФ №2242222, МПК А61К 31/136 (БИМП 35, 2004 г.).
- Туберкулез. Особенности течения, возможности фармакотерапии/ под ред. Иванова А. К. – 2009.
- Бердюгина О. В., Скорняков С. Н., Медвинский И. Д., Ершова А. В., Павлов В. А., Бердюгин К. А. Функционально-метаболические изменения иммунокомпетентных клеток при туберкулезе легких (обзор литературы) // Уральский медицинский журнал. - 2013. - № 2. - С. 121-127.
- Морозова Т.И., Кайсинова А.С. Динамика показателей качества жизни у больных очаговым туберкулезом // 2017. - № 1. - С. 79-82.
- Гусаров Ю. В., Гусаров В. В. Установление рентгенологических особенностей туберкулеза легких нетипичной локализации // Бюллетень медицинских Интернет-конференций. - 2018. - Т. 8, № 3. - С. 115.
Информационные статьи о диагностике
ЕДИНЫЙ ЦЕНТР ЗАПИСИ НА МРТ И КТ



