Рентген в диагностике очаговой пневмонии
Обследование проводится в прямой и боковой проекциях грудной клетки, с прицельной съёмкой подозрительных участков, а при необходимости — в косых проекциях, в режиме обзорной рентгенографии для выявления прямых признаков очаговой пневмонии. Цель обследования — выявление рентгенологических сигналов воспалительных инфильтратов, оценка характера, локализации и распространённости очагового уплотнения лёгочной ткани, а также состояния прилежащих структур.
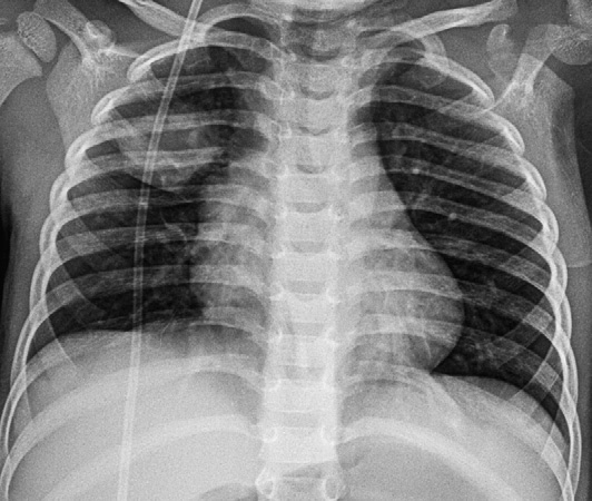
Рентгенография выявляет следующие признаки очаговой пневмонии:
Наличие одного или нескольких очагов уплотнения лёгочной ткани диаметром 1–2 см с нечёткими контурами, сигнализирующих о воспалительном инфильтрате в пределах ацинуса или дольки.
Сливные инфильтраты с тенденцией к формированию более крупных участков затемнения, преимущественно в сегментах нижней или средней доли.
Усиление и деформация лёгочного рисунка в зоне поражения за счёт перибронхиального воспаления и отёка межальвеолярных перегородок.
Сохранённые или частично прослеживаемые бронхиальные просветы (воздушные бронхограммы) на фоне инфильтративных изменений.
В отдельных случаях — утолщение плевры или незначительное количество пристеночного выпота на стороне воспалительного процесса.
Диагностические преимущества рентгена
Рентгенограмма даёт возможность детально визуализировать следующие диагностические параметры:
- Локализация, размер, количество и структура очагов воспаления, что позволяет оценить тяжесть и динамику заболевания.
- Соотношение альвеолярного и интерстициального компонентов воспаления, что помогает в дифференциальной диагностике.
- Оценка состояния плевры, корней лёгких и средостенных структур, что важно для выявления осложнённого течения.
Диагностические ограничения
Метод имеет ряд ограничений, и с его помощью не всегда удаётся точно визуализировать следующие аспекты:
- Мелкоочаговые изменения и начальные стадии воспаления, которые могут быть неразличимы на стандартных рентгенограммах.
- Этиологическая природа воспалительного процесса и характер возбудителя, что требует лабораторного подтверждения.
- Функциональное состояние дыхательной системы, включая степень вентиляционно-перфузионных нарушений, что невозможно оценить рентгенографически.
- Присутствует лучевая нагрузка: при выполнении рентгенографии грудной клетки в прямой, боковой, косых и прицельных проекциях суммарная эффективная доза составляет от 0,1 до 0,3 мЗв.
Бесплатный телефон по России: +7(800)300-98-12
Список литературы:
- Новый взгляд на патогенез очаговых пневмоний, новый подход к их диагностике и лечению/ Шутковский С.В.// Русский медицинский журнал. – 2012 - № 12.
- Современные подходы к лечению пневмоний/ Новиков Ю.К.// Русский медицинский журнал. – 2002 - Т.10, № 5.
- Чучалин А.Г. Пневмония: актуальная проблема современной медицины // 1995. № 4, С. 5–10.
- Новиков Ю.К. Современные подходы к лечению пневмоний // РМЖ. 2002. Т. 10. № 5. С. 35–52.
- Козлов, Д.В. Клеточные компоненты пневмоний / Д.В. Козлов, Р.Ф. Зибиров, А.Е. Доросевич // Актуальные вопросы патологической анатомии: материалы Дальневосточной научно-практической конференции. -Владивосток: Медицина ДВ, 2011. - С.149-158.
Информационные статьи о диагностике
ЕДИНЫЙ ЦЕНТР ЗАПИСИ НА МРТ И КТ



