Рентген в диагностике периостита
Обследование проводится в прямой и боковой проекциях поражённого сегмента, с прицельной съёмкой участка подозрения, а при необходимости — в косых проекциях, в режиме обзорной рентгенографии для выявления прямых признаков периостита. Цель обследования — определение рентгенологических сигналов воспалительных изменений надкостницы, оценка характера костной реакции, степени вовлечения кортикального слоя и прилежащих мягких тканей.
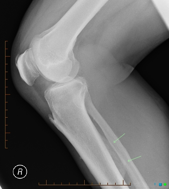
Рентгенография выявляет следующие признаки периостита:
Утолщение и уплотнение периостальной полосы по наружному контуру кости, сигнализирующее о воспалительной реакции надкостницы.
Наложение слоёв новообразованной костной ткани (периостальных наслоений) в виде однослойного или многослойного утолщения, что отражает стадию процесса.
Неровность и шероховатость наружного края кортикального слоя под зоной периостальной реакции, указывающая на перестройку поверхности кости.
При хроническом течении — грубые наслоения с образованием периостальной «шишки» или кортикальной утолщённой манжеты.
При остром периостите — мягкотканевая припухлость с незначительным размытием мягкотканевой тени на стороне поражения.
Диагностические преимущества рентгена
Рентгенограмма даёт возможность детально визуализировать следующие диагностические параметры периостита:
- Структура, толщина и протяжённость периостальных наслоений, что позволяет оценить активность и характер воспалительного процесса.
- Состояние кортикального слоя под зоной надкостничной реакции, что даёт информацию о степени вовлечения кости.
- Наличие или отсутствие грубых костных деформаций и сопутствующих изменений, что важно для определения стадии заболевания.
Диагностические ограничения
Рентгенологическое обследование имеет ряд ограничений, и с его помощью не всегда удаётся точно визуализировать следующие аспекты:
- Начальные воспалительные изменения, которые проявляются только гиперемией и отёком надкостницы, не фиксируемые на рентгене.
- Структура и состояние мягких тканей, включая наличие инфильтратов, абсцессов или некроза, что требует УЗИ или МРТ.
- Характер клеточной инфильтрации и микрососудистые изменения, которые невозможно оценить без гистологического или МР-исследования.
- Присутствует лучевая нагрузка: при выполнении рентгенографии поражённого сегмента в прямой, боковой, косых и прицельных проекциях суммарная эффективная доза составляет от 0,01 до 0,1 мЗв.
Бесплатный телефон по России: +7(800)300-98-12
Список литературы:
- Тейнтер Д.М., Браун К.Л. (2017). "Периостит". Остров сокровищ (Флорида).
- Бити Джей Хи, эдс. (2012). "Оперативная ортопедия Кэмпбелла". Мосби Эльзевир. Мадер Р. (2009). "Клинико-патологический подход к диагностике инфекции: лабораторная стратегия". Клиники ревматических заболеваний Северной Америки.
- Рейнберг, С. А. Рентгенодиагностика заболеваний костей и суставов / C. А. Рейнберг. М.: Медицина, 1964. - Кн. 1. - С. 257—292.
- Контроль и регуляция иммунного ответа / Р. В. Петров, Р. М. Хаитов, B. М. Манько и др.. М.: Медицина, 1981. - 234 с.
- Лысенко Г. И., Ткаченко В. И. Проблема боли в общеврачебной практике. Киев: Медкнига, 2007. 196 с.
Информационные статьи о диагностике
ЕДИНЫЙ ЦЕНТР ЗАПИСИ НА МРТ И КТ



