Виды вывиха
Привычный вывих плеча — самый распространённый тип вывиха, который характеризуется повторяющимся смещением головки плечевой кости из суставной впадины лопатки. Он возникает после первичной травмы и последующего растяжения или разрыва капсульно-связочного аппарата.
Привычный вывих надколенника чаще встречается у подростков и молодых людей с дисплазией бедренно-надколенникового сустава и возникает при сгибании или вращении колена, особенно при слабости медиальных стабилизаторов.
Привычный вывих нижней челюсти — повторное смещение суставной головки височно-нижнечелюстного сустава из суставной ямки, часто при зевании, жевании или разговоре. Он может быть связан с гипермобильностью или анатомическими изменениями сустава.
Привычный вывих локтевого сустава наблюдается реже, развивается после первичного травматического вывиха с повреждением коллатеральных связок. Он повторяется при вращательных или разгибательных движениях.
Привычный вывих лучевой кости у детей — подвывих головки лучевой кости из кольцевидной связки при резком потягивании за руку. Он характерен для детей до 5 лет.
Привычный вывих бедра может быть следствием дисплазии тазобедренного сустава или перенесённого травматического вывиха. Он повторяется при обычных движениях, особенно при нестабильности капсулы и связок.
Привычный вывих пальцев кисти или стопы может возникать у людей с гипермобильностью суставов или после повреждений связочного аппарата. Он характерен для спортсменов и пациентов с синдромами соединительнотканной дисплазии.
Рентген в диагностике привычного вывиха
Обследование проводится в прямой, боковой и аксиальной проекциях поражённого сустава, с прицельной съёмкой в нагрузочных и функциональных положениях, в режиме обзорной рентгенографии для выявления прямых признаков привычного вывиха. Цель обследования — оценка положения суставных концов костей, конфигурации суставных поверхностей, признаков хронической нестабильности и костно-хрящевых изменений, сопровождающих рецидивирующие вывихи.
Рентгенография выявляет следующие признаки привычного вывиха:
Привычный вывих плеча:
Нарушение центровки головки плечевой кости по отношению к суставной впадине лопатки, чаще с её смещением кпереди и книзу.
Углубление передне-нижнего края суставной впадины (дефект Банкарта) с неровным контуром.
Уплощение или вдавление заднелатеральной поверхности головки плечевой кости (дефект Хилла-Сакса).
Расширение суставной щели и снижение конгруэнтности суставных поверхностей.
Признаки остеосклероза или субхондральных кист в зоне контакта при повторных вывихах.
Могут определяться кальцификаты в проекции капсулы сустава при хроническом капсулите.
Привычный вывих надколенника:
Латеральное смещение надколенника в прямой проекции при согнутом колене.
Уплощение латерального мыщелка бедренной кости и снижение глубины межмыщелковой борозды.
Признаки дисплазии блока бедренной кости: асимметрия мыщелков, укорочение медиального.
Изменение высоты надколенника (пателла альта или пателла инфера) по данным боковой проекции.
Остеосклероз и краевые неровности суставных поверхностей при хронической перегрузке.
Кальцификаты в проекции медиальной поддерживающей связки.
Привычный вывих нижней челюсти:
Смещение головки нижней челюсти за пределы суставного бугорка височной кости, чаще кпереди и кверху.
Расширение суставной щели с асимметрией при двустороннем или одностороннем вывихе.
Изменение конфигурации суставной ямки: сглаженность, уплощение контура, остеосклероз.
Признаки гипермобильности: чрезмерный вынос головки за пределы суставного отростка даже при закрытом рте.
Иногда — посттравматические изменения: остеофиты, краевые дефекты.
Привычный вывих локтевого сустава:
Смещение лучевой или локтевой кости относительно блока плечевой кости в функциональных положениях.
Расширение суставной щели и несоосность суставных поверхностей на боковой проекции.
Изменение структуры мыщелков, краевые дефекты, признаки остеоартроза.
Посттравматическая деформация суставных концов и неровности контуров.
Возможны признаки кальцификации связочного аппарата или участки склероза.
Привычный вывих лучевой кости:
Смещение головки лучевой кости из кольцевидной связки, чаще антеромедиальное, при сохранной оси предплечья.
Укорочение расстояния между лучевой и плечевой костью в суставе на боковой проекции.
Изменение формы эпифиза лучевой кости при повторных эпизодах.
Отсутствие явных костных повреждений, особенно при первой диагностике.
Иногда — асимметрия суставной щели между поражённой и непоражённой рукой.
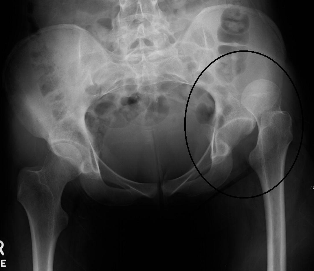
Привычный вывих бедра:
Смещение головки бедренной кости кпереди или кзади за пределы вертлужной впадины, иногда с частичным сохранением контакта.
Плоскость вертлужной впадины уплощена или деформирована, часто имеются краевые костные разрастания.
Расширение суставной щели, расхождение оси головки и впадины.
Признаки дисплазии: гипоплазия крыши вертлужной впадины, увеличение её наклона, недоразвитие заднего края.
Деформация головки бедренной кости, участки остеосклероза и субхондральных кист.
Привычный вывих пальцев кисти или стопы:
Повторяющееся смещение фаланги из суставной щели, чаще в тыльном направлении.
Нарушение соотношения суставных поверхностей при нагрузке или активном движении.
Краевые деформации суставов, остеофиты, уплощение суставной поверхности.
Расширение суставной щели и субхондральные изменения при многократных эпизодах.
Признаки гипермобильности: чрезмерная подвижность на функциональных снимках, нередко без видимого смещения в покое.
Диагностические преимущества
Рентгенограмма даёт возможность детально визуализировать следующие диагностические параметры привычного вывиха:
- Положение суставных концов и степень смещения, что позволяет объективно оценить характер и амплитуду вывиха.
- Форма и состояние суставных поверхностей, включая наличие краевых деформаций и признаков хронической перегрузки.
- Ширина и равномерность суставной щели, что важно для анализа степени нестабильности и повреждения опорных структур.
Диагностические ограничения
Рентген имеет ряд ограничений, и с его помощью не всегда удаётся точно визуализировать следующие аспекты:
- Состояние суставного хряща, капсулы и связок, ключевых для стабилизации сустава.
- Микроразрывы, истончение и дегенерацию мягкотканевых стабилизаторов, не видимые на рентгенограммах.
- Динамические характеристики, включая момент вывиха и процесс репозиции, которые невозможно оценить без методов функциональной или динамической визуализации.
- Присутствует лучевая нагрузка: при выполнении рентгенографии сустава в прямой, боковой, аксиальной и функциональных проекциях суммарная эффективная доза составляет от 0,01 до 0,1 мЗв.
Бесплатный телефон по России: +7(800)300-98-12
Список литературы:
- Вайнштейн В. Г., Кашкаров С. Е. Лечение закрытых внутрисуставных переломов и вывихов костей конечностей. — Л.: Медицина, 1973. — 224 с.
- Епифанов В. А. Биомеханическая роль связочного аппарата // Травматология и ортопедия: Современность и будущее. Материалы Международного конгресса. — М., 2003. — С. 451.
- Корнилов Н.В. Грязнухин Э. Шапиро К.И. Травматология и ортопедия: учебник для медицинских вузов / под ред. Корнилова Н.В. – Изд. 2-е. – СПб.: «Гиппократ», 2005. – 544 с.
- Основы клинической анатомии крупных суставов: учебное пособие / Каган И.И., Ким В.И., Коноплев А.А., Лященко С.Н., Фатеев И.Н., Чемезов СВ. / под ред. проф. И.И. Кагана и проф. С.В. Чемезова. – Оренбург, 2003. – 139 с.
- Mapкс В.О. Ортопедическая диагностика. — Мн.: Беларусь, 1978. — 512 с.
Информационные статьи о диагностике
ЕДИНЫЙ ЦЕНТР ЗАПИСИ НА МРТ И КТ



