Виды синостоза
Синостоз представляет собой патологическое или физиологическое сращение костей, которое может быть врождённым, посттравматическим, воспалительным либо послеоперационным. Основные формы синостоза, выявляемые при рентгенологическом исследовании, подразделяются по анатомической локализации и происхождению. Одной из часто визуализируемых форм является межберцовый синостоз, когда происходит костное сращение между большеберцовой и малоберцовой костями. На рентгенограммах отмечается мостовидная костная структура, соединяющая обе кости, чаще всего в средней или нижней трети голени. Данный вариант может быть как врождённым, так и следствием переломов с выраженным периостальным костеобразованием.
Другим вариантом является лучелоктевой синостоз, при котором наблюдается костное соединение между лучевой и локтевой костями предплечья, чаще в проксимальном отделе, что ограничивает пронацию и супинацию, и на рентгенограмме чётко определяется костной перемычкой между диафизами костей. Синостоз в области швов черепа, или краниосиностоз, является врождённой формой, при которой преждевременно закрываются швы между костями черепа. Рентгенологически выявляется исчезновение нормальной шовной щели и деформация формы черепа. Позвоночный синостоз или блочные позвонки характеризуется отсутствием межпозвонкового пространства и сращением тел смежных позвонков, что может быть как врождённым, так и при анкилозирующем спондилите. Рентгенологически определяется укорочение позвоночного сегмента, единый контур тел и отсутствие межпозвоночной щели.
Тазовые синостозы включают сращения между лонными костями или между крестцом и подвздошной костью, что может встречаться при перенесённых инфекциях, травмах или в рамках спондилоартропатий. На рентгенограмме визуализируется утрата суставной щели, костные перемычки и нарушение нормального контура суставной поверхности. Синостозы в области кисти и стопы, такие как тарзальные или карпальные синостозы, могут быть как врождёнными, так и посттравматическими и определяются на рентгене в виде отсутствия чётких границ между костями, уплощения суставных поверхностей и общей костной массы.
Рентген в диагностике синостоза
Обследование проводится в прямой и боковой проекциях зоны предполагаемого сращения, с прицельной съёмкой межкостных промежутков и суставных щелей, в режиме обзорной рентгенографии для выявления прямых признаков синостоза. Цель обследования — определение наличия костного или фиброзного сращения между анатомически разделёнными структурами, оценка протяжённости соединения, его влияния на ось сегмента и ограничение подвижности.
Рентгенография выявляет следующие признаки синостоза:
Межберцовый синостоз
Наличие костной перемычки между большеберцовой и малоберцовой костями, чаще в средней или нижней трети голени, с утратой межкостного пространства.
Уплотнение кортикального слоя обеих костей в зоне контакта с постепенным переходом в единую костную массу.
Сохранение или деформация осевой конфигурации костей голени в зависимости от объёма и положения синостоза.
Отсутствие признаков нормального межкостного просвета, особенно на боковых проекциях.
Лучелоктевой синостоз
Костное соединение между проксимальными отделами локтевой и лучевой костей с полной или частичной утратой межкостного промежутка.
Прямолинейный или изогнутый костный мост между диафизами, различимый на боковой и косой проекциях предплечья.
Нарушение оси предплечья с ограничением ротации, видимое при функциональных укладках.
Сопутствующее утолщение компактной пластинки и возможная деформация прилежащих отделов костей.
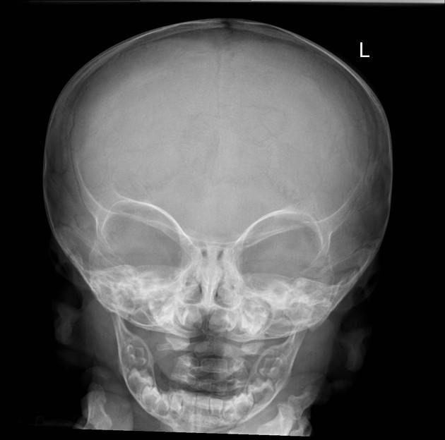
Краниосиностоз
Отсутствие рентгенконтрастной шовной щели между костями черепа, особенно в области сагиттального, коронарного или ламбдовидного швов.
Ассиметрия или деформация черепа (долихоцефалия, скафоцефалия и др.), выявляемая в прямой и боковой проекциях.
Утолщение шовной зоны и изменение рельефа внутренней пластинки свода черепа.
Уплощение отдельных костей черепа с компенсаторной деформацией противоположных участков.
Позвоночный синостоз
Отсутствие межпозвоночной щели между телами смежных позвонков с их полным сращением.
Единый контур тел позвонков без различимой границы, равномерная плотность и отсутствие межпозвоночного диска.
Сглаживание или отсутствие передне-задних вырезок тел и сближение дужек.
Укорочение высоты поражённого сегмента позвоночника и снижение его подвижности при функциональных укладках.
Тазовые синостозы
Костная перемычка между лонными костями, крестцом и подвздошной костью или другими элементами таза, чаще с утратой суставной щели.
Неровность и деформация суставных поверхностей, с переходом одной кости в другую без чёткой границы.
Краевые остеофиты или костные шпоры в зоне хронического воспаления или посттравматического сращения.
Уменьшение амплитуды движения в крестцово-подвздошном сочленении при динамической рентгенографии таза.
Карпальные и тарзальные синостозы
Отсутствие чётких границ между отдельными костями запястья или предплюсны с формированием общей массивной костной структуры.
Уплощение и укрупнение отдельных костей, слияние суставных поверхностей и отсутствие межсуставных щелей.
Изменение конфигурации дуг стопы или кисти с возможной деформацией и нарушением функции конечности.
Снижение диапазона движений и наличие рентгенологических сигналов хронической перегрузки смежных суставов.
Диагностические преимущества рентгена
Рентгенограмма даёт возможность детально визуализировать следующие диагностические параметры:
- Протяжённость и форма сращения, что позволяет определить, полный или частичный характер имеет синостоз.
- Структура сращённого участка, включая равномерность, плотность и степень перестройки, что даёт представление о стадии процесса.
- Влияние сращения на ось сегмента и окружающие костные структуры, что важно для оценки биомеханических последствий.
Диагностические ограничения
Рентген имеет ряд ограничений, и с его помощью не всегда удаётся точно визуализировать следующие аспекты:
- Начальные стадии сращения с фиброзными перемычками, не дающими контрастной костной тени.
- Состояние хрящевых элементов в зоне суставов, участвующих в сращении, что требует МРТ или артроскопии.
- Функциональные ограничения подвижности, которые можно оценить только клинически или с применением функциональных исследований.
- Присутствует лучевая нагрузка: при выполнении рентгенографии зоны с предполагаемым синостозом в прямой, боковой и прицельной проекциях суммарная эффективная доза составляет от 0,01 до 0,1 мЗв.
Бесплатный телефон по России: +7(800)300-98-12
Список литературы:
- Абальмасова Е.А., Лузина Е.В. Врожденные деформации опорно-двигательного аппарата и причины их происхождения. - Ташкент: Медицина, 1976.
- Чаклин В.Д. Основы оперативной ортопедии и травматологии. - М.: Медицина, 1964. - С. 165167.
- Чукичев А.В., Кононенко М.П., Огошков А.В., Гудков В.А. Хирургическое лечение врожденного радиоульнарного синостоза / Актуальные вопросы лечения заболеваний и повреждений опорно-двигательного аппарата у детей: Материалы Всероссийской научно-практической конференции детских травматологов-ортопедов в г. Владимире 23-25 июня 1994 г. СПб., 1994. - С. 38-39.
- Прокопович Е.В., Конев М.А., Афоничев К.А. и др. Врожденный радиоульнарный синостоз: варианты проявления и оперативное лечение. Травматология, ортопедия и восстановительная хирургия детского возраста. 2016;4(3):16-25.
- Евтеев А.А., и др. Трудности дифференциальной диагностики синостоза. Журнал «Вопросы нейрохирургии» имени Н.Н. Бурденко. 2023.
Информационные статьи о диагностике
ЕДИНЫЙ ЦЕНТР ЗАПИСИ НА МРТ И КТ



