Рентген в диагностике транспозиции магистральных сосудов
Рентгенографическая визуализация при транспозиции магистральных сосудов проводится в прямой и боковой проекциях, а также с применением рентгенокардиографии и ангиографии. Цель исследования — выявление косвенных признаков врождённого порока сердца с неправильным соединением аорты и лёгочной артерии, оценка размеров и конфигурации сердечной тени, лёгочного сосудистого рисунка, состояния дуги аорты и степени лёгочной гиперволемии.
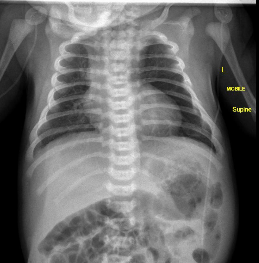
Рентгенография выявляет следующие признаки транспозиции магистральных сосудов:
Кардиомегалия за счёт дилатации правого желудочка, проявляющаяся расширением сердечной тени преимущественно вправо и увеличением кардиоторакального индекса.
Характерная конфигурация сердечной тени в виде «яйца на боку» с узкой сосудистой ножкой из-за переднезаднего расположения магистральных сосудов.
Усиление лёгочного сосудистого рисунка с выраженным увеличением прикорневых сосудов вследствие гиперволемии малого круга кровообращения.
Нормальные или уменьшенные размеры дуги аорты, расположенной атипично — справа или по средней линии, фиксируемые в прямой проекции.
Выбухание лёгочной артерии и расширение её ствола на фоне уплощённых контуров аорты, хорошо различимое в боковой проекции.
Ангиография выявляет следующие признаки:
Аорта отходит от правого желудочка и располагается спереди и справа по отношению к лёгочной артерии, что подтверждает неправильное соединение магистральных сосудов.
Лёгочная артерия отходит от левого желудочка и располагается позади аорты, что создаёт параллельное, а не перекрещивающееся расположение сосудистых стволов.
Узкая, вытянутая тень аорты, отходящей непосредственно от правого желудочка, без нормального изгиба и перехода в дугу.
Прямолинейное, почти параллельное расположение контрастированных магистральных сосудов в переднезадней проекции («знак яйцевидного сердца» или «sign of egg on side» при совмещённой интерпретации с обзорной рентгенограммой).
Аномальная проходимость кровотока: контрастное вещество, введённое в правый желудочек, проходит в аорту без попадания в лёгочную артерию, а при введении в левый желудочек — в лёгочную артерию, минуя аорту.
Выраженная лёгочная гиперперфузия при наличии открытого артериального протока или дефекта межпредсердной/межжелудочковой перегородки, подтверждаемая усиленным контрастированием лёгочных артерий.
Задержка или отсутствие контрастирования дуги аорты в обычной проекции при отсутствии функциональных коммуникаций между кругами кровообращения.
При коррегированной транспозиции — аорта и лёгочная артерия могут быть переставлены, но соединены с правильными желудочками, что выявляется по конфигурации сосудов, направлению контраста и взаимному расположению камер.
Диагностические преимущества рентгена
Рентгенограмма даёт возможность детально визуализировать следующие диагностические параметры:
- Оценка размеров правого желудочка и правого предсердия с анализом их вклада в конфигурацию сердечной тени.
- Определение типичной сердечной конфигурации с узкой сосудистой ножкой как рентгенологического признака транспозиции.
- Анализ состояния лёгочного сосудистого русла с выявлением степени лёгочной гиперволемии.
- Определение локализации дуги аорты и её соотношения с трахеей и другими структурами средостения.
- Мониторинг динамики морфологических изменений сердца и сосудов на фоне прогрессирования заболевания или после хирургической коррекции.
Диагностические ограничения
Рентген имеет ряд ограничений, и с его помощью не всегда удаётся точно визуализировать следующие аспекты:
- Отсутствие прямой визуализации аномального соединения магистральных сосудов без данных эхокардиографии или МР-ангиографии.
- Невозможность оценки внутриродовых и гемодинамических особенностей (например, степени смешивания крови) только по рентгенологическим признакам.
- Ограниченная дифференциация сопутствующих врождённых пороков (дефекты перегородок, открытый артериальный проток) без дополнительных методов.
- Снижение информативности на ранних стадиях до появления выраженных морфологических изменений или при малой выраженности гиперволемии.
- Присутствует лучевая нагрузка: при выполнении рентгенографии грудной клетки и рентгенокардиографии суммарная эффективная доза составляет от 0,1 до 0,3 мЗв.
Бесплатный телефон по России: +7(800)300-98-12
Список литературы:
- Бокерия, Л.А. Транспозиция магистральных сосудов / Л.А. Бокерия, А.И. Ким // Детская кардиохирургия. Руководство для врачей - 2016. -
- Ким А.И. Хирургическое лечение транспозиции магистральных артерий. Результаты операций внутрипредсердного переключения и новые подходы в лечении порока. Диссертация.доктора мед. наук, М., 2001.
- Банкл Г. Врожденные пороки сердца и крупных сосудов: Пер. с англ. – М., Медицина, 1980
- Бухарин В.А., Подзолков В.П., Бондарев Ю.И. и др. Изолированная корригированная транспозиция магистральных сосудов сердца // Кардиология. - 1975. - № 12. - С.30-36.
- Ложади, К. Морфогенетические аспекты транспозиции магистральных артерий./ К. Ложади. // Морфология и морфометрия сердца в норме и при врожденных пороках.
Информационные статьи о диагностике
ЕДИНЫЙ ЦЕНТР ЗАПИСИ НА МРТ И КТ



