УЗИ и КТ в диагностике рака щитовидной железы
Рак щитовидной железы представляет собой злокачественную опухоль, чаще выявляемую при узловых образованиях с типичной эхоструктурой. Для диагностики назначаются ультразвуковое исследование с оценкой васкуляризации, тонкоигольная аспирационная биопсия под контролем УЗИ и сцинтиграфия щитовидной железы. Ультразвуковое исследование при раке щитовидной железы хорошо выявляет следующие анатомические признаки:
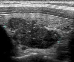
В серошкальном режиме визуализируется гипоэхогенный узел неправильной формы с неровными и нечёткими краями, расположенный в пределах одной из долей или в перешейке.
В режиме мягкотканевого сканирования определяется микрокальциноз в виде множественных точечных гиперэхогенных включений без акустической тени, характерный для папиллярного варианта.
Фиксируется вертикальное расположение узла с соотношением передне-заднего и поперечного размеров больше единицы.
Контуры узла могут быть инвазированы в капсулу железы или выходить за её пределы с нарушением эхогенности окружающих тканей.
В допплеровском режиме выявляется выраженная внутренняя и периферическая васкуляризация с хаотичным распределением сосудистого рисунка.
Диагностические преимущества УЗ-исследования
Ультразвуковая диагностика позволяет детально визуализировать следующие диагностические параметры:
- Структура, эхогенность и контуры узла позволяют дифференцировать злокачественное образование от доброкачественного.
- Наличие микрокальцинатов указывает на высокий риск злокачественного процесса и типичен для папиллярной формы.
- Капсулярная инвазия и нарушение границ с прилежащими тканями свидетельствуют о местной агрессии опухоли.
- Сосудистый рисунок, особенно с центральным типом васкуляризации, характеризует ангиоархитектонику опухоли.
- Размер и форма образования позволяют определить клиническую стадию и необходимость дальнейшего дообследования.
Диагностические ограничения УЗИ
Сонография имеет ряд ограничений, и с её помощью не всегда удаётся точно визуализировать следующие аспекты:
- Ограниченная возможность оценки ретростернальных и загрудинных участков железы затрудняет определение объёма поражения.
- Невозможность чёткой визуализации глубокорасположенных лимфатических узлов ограничивает оценку метастатического распространения.
- Сходство эхогенности некоторых узлов с окружающей паренхимой при малых размерах может снижать контрастность изображения.
- Отсутствие оценки плотности тканей ограничивает определение степени фиброзной перестройки или кровоизлияния.
- Нечёткая граница между опухолью и окружающими структурами при инвазии может быть неотличима без дополнительных методов.
Компьютерная томография не является базовым исследованием для диагностики рака щитовидной железы, потому что не позволяет достоверно оценить микрососудистую структуру, характерную для злокачественного узла, и не предоставляет возможности для морфологической верификации. Оданко КТ часто выявляет следующие анатомические признаки:
В нативном режиме определяется образование в паренхиме щитовидной железы с изоденсной или слегка гиподенсной плотностью, нередко с участками обызвествления.
В режиме сканирования мягких тканей визуализируется деформация капсулы железы и распространение опухоли на окружающие структуры шеи — сосудистые пучки, трахею, пищевод.
В режиме с контрастированием выявляется интенсивное накопление контраста в пределах опухолевого узла с неравномерным распределением, а также усиление в увеличенных лимфатических узлах.
Фиксируется отклонение трахеи, сдавление сосудов или инфильтрация жировой клетчатки срединной линии шеи.
На реконструированных срезах определяется точная протяжённость опухоли, наличие лимфаденопатии, вовлечение соседних фасциальных пространств.
Диагностические преимущества компьютерного сканирования
МСКТ позволяет детально визуализировать следующие диагностические параметры:
- Размер, форма и плотность опухоли позволяют оценить степень анатомической деструкции.
- Наличие инвазии в трахею, пищевод или сосудисто-нервные пучки даёт информацию о местнораспространённой форме.
- Состояние лимфатических узлов и признаки их трансформации уточняют вероятность метастатического поражения.
- Изменение топографии шейных органов и смещение срединных структур указывают на объёмное воздействие.
- Контрастное усиление опухоли и узлов определяет зоны активного роста и зоны некроза внутри образования.
Диагностические ограничения КТ
Компьютерная томография имеет ряд ограничений, и с её помощью не всегда удаётся точно визуализировать следующие аспекты:
- Сходство плотности опухоли с неизменённой тканью железы может снижать видимость образования при малых размерах.
- Невозможность оценки сосудистого рисунка на уровне микроваскулярной сети ограничивает детализацию ангиоархитектоники.
- Отсутствие морфологического анализа клеток не позволяет отличить злокачественный узел от воспалительного или доброкачественного без гистологического подтверждения.
- Фиксированные узлы с обызвествлением не всегда можно отличить от поствоспалительных изменений.
- Сложность оценки внутритканевых изменений при выраженном фиброзе снижает чувствительность к опухолевому перерождению в постлучевой зоне.
Сравнительная анализ методов
|
Критерий |
УЗИ |
КТ |
|---|---|---|
|
Принцип работы |
Оценка эхогенности и сосудистой архитектуры ткани с помощью отражения ультразвука |
Оценка плотности и распространения опухоли в мягких тканях и лимфатических структурах |
|
Характер узлового образования |
Гипоэхогенный, неоднородный узел с микрокальцинатами и вертикальной ориентацией |
Изоденсное или гиподенсное образование с признаками капсулярной и экстракапсулярной инвазии |
|
Контур и капсула |
Нечёткие, неровные края, возможная капсулярная инвазия |
Нарушение целостности капсулы, инфильтрация в окружающие фасции и ткани |
|
Сосудистый рисунок |
Центральная и периферическая гиперваскуляризация с хаотичным распределением |
Грубая васкуляризация по фазам контрастирования, усиление в патологических лимфоузлах |
|
Микрокальцинаты |
Малые гиперэхогенные включения без тени, характерны для папиллярного рака |
Обызвествления в структуре опухоли, особенно при фолликулярном и смешанном варианте |
|
Признаки локальной инвазии |
Нарушение границ узла, выход за пределы капсулы, эхонегативность прилежащих тканей |
Деформация трахеи, пищевода, сосудистых пучков и медиальных пространств |
|
Лимфатические узлы |
Визуализируются увеличенные, гипоэхогенные, округлые лимфоузлы при хорошем доступе |
Множественная лимфаденопатия с накоплением контраста, чаще по шейным зонам II–V |
|
Топография узла и органное смещение |
Устанавливается по отношению к долям железы и капсуле, ограничено для загрудинных зон |
Смещение трахеи, асимметрия шейных органов, вовлечение загрудинных отделов |
|
Лучевая нагрузка |
Отсутствует |
Присутствует |
|
Продолжительность исследования |
15–25 минут, может потребовать повторных срезов и динамики |
5–7 минут, включая фазы контрастирования |
Бесплатный телефон по России: +7(800)300-98-12
Список литературы:
- Эйн К.Б. В кн.: Болезни щитовидной железы. М. «Медицина», 2000.
- Тюменский медицинский журнал.Том 1/N2/1999 Обзор. Рак щитовидной железы.
- Пачес А.И., Пропп P.M., Шенталь В.В. и др. Проблема рака щитовидной железы: диагностика и лечение. // Вестн. ВОНЦ АМН СССР, 1990. № 1. - С.37-40.
- Ольшанский В.О., Демидов В.П., Воронецкий И.Б. Рак щитовидной железы. Комбинированное и комплексное лечение больных со злокачественными опухолями. Руководство для врачей. /Под ред. В.И. Чиссова. М., 1989. -С. 180-93.
- Цыб А.Ф., Паршин B.C., Нестайко Г.В. и др. Ультразвуковая диагностика заболеваний щитовидной железы. /Под ред. А.Ф. Цыба.- М., 1997. 329 с.
- Эйн К.Б. Лечение рака щитовидной железы. / Болезни щитовидной железы. Пер. с анг./ Под ред. Бравермана Л.И. М. Медицина, 2000. - С.313-36.
Информационные статьи о диагностике
ЕДИНЫЙ ЦЕНТР ЗАПИСИ НА МРТ И КТ



