Виды опухоли паращитовидных желез
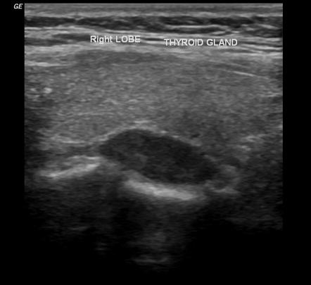
Опухоли паращитовидных желез представляют собой новообразования, возникающие из клеток этого эндокринного органа, и могут быть как доброкачественными, так и злокачественными. На УЗИ паращитовидные железы в норме плохо визуализируются из-за малого размера, однако при патологических изменениях они увеличиваются и становятся доступными для оценки. Наиболее часто на ультразвуке выявляются аденомы паращитовидных желез — доброкачественные опухоли, вызывающие первичный гиперпаратиреоз. УЗИ-картина аденомы обычно представлена чётко отграниченным, овальным или округлым гипоэхогенным образованием, расположенным кзади или книзу от долей щитовидной железы. В ряде случаев определяется выраженная внутритканевая васкуляризация при цветовом допплеровском картировании.
Реже встречаются гиперплазия паращитовидных желез, которая может быть диффузной или узловой и на УЗИ выглядит как двустороннее увеличение желез с пониженной эхогенностью.
Злокачественные опухоли — рак паращитовидной железы — встречаются крайне редко, но могут быть визуализированы на УЗИ. Как правило, это гипоэхогенные или смешанной эхогенности образования с неровными контурами, возможной инфильтрацией окружающих тканей и патологической васкуляризацией. При подозрении на злокачественный процесс важную роль играет выявление увеличенных регионарных лимфоузлов.
Метастатические поражения паращитовидных желез на УЗИ описываются крайне редко, но теоретически возможны при распространённых онкологических процессах.
УЗИ в диагностике опухоли паращитовидных желез
Ультразвуковое исследование при подозрении на опухоль паращитовидных желез проводится в рамках эндокринологического обследования шеи с использованием серошкального В-режима и цветовой допплерографии. Цель исследования — выявление прямых анатомических признаков опухолевого образования, его локализации, формы, эхогенности, васкуляризации и степени компрессии прилежащих структур.
Ультразвуковое исследование выявляет следующие анатомические признаки опухоли паращитовидных желез:
Аденома паращитовидной железы:
Чётко отграниченное гипоэхогенное образование овальной или округлой формы с равномерным снижением эхогенности относительно ткани щитовидной железы.
Расположение кзади или книзу от соответствующей доли щитовидной железы, чаще одностороннее.
Гомогенная внутренняя эхоструктура без кальцинатов с возможными небольшими анэхогенными включениями.
Выраженная внутритканевая васкуляризация по данным цветового допплеровского картирования с преобладанием сосудов по периферии и в питающем сосудистом пучке.
Чёткая капсула, визуализируемая как гиперэхогенный ободок по периферии образования.
Гиперплазия паращитовидных желез:
Двустороннее симметричное увеличение размеров всех паращитовидных желез.
Пониженная эхогенность ткани по сравнению с щитовидной железой, более выраженная при узловой форме.
При диффузной форме — сохранение однородной эхоструктуры, при узловой — формирование одного или нескольких гипоэхогенных узлов с чёткими контурами.
Умеренная или слабая васкуляризация при цветовом допплеровском картировании.
Сохранение ровных контуров без признаков инвазии в окружающие ткани.
Рак паращитовидной железы:
Гипоэхогенное или смешанной эхогенности образование с выраженной неоднородностью внутренней структуры.
Неровные или прерывистые контуры с участками нечеткости, соответствующими инфильтрации прилежащих тканей.
Участки пониженной эхогенности с вкраплениями гиперэхогенных зон, возможные микрокальцинаты.
Патологическая васкуляризация с хаотичным расположением сосудов и артерио-венозными шунтами по данным цветового и энергетического допплера.
Визуализация увеличенных регионарных лимфатических узлов с изменённой формой, пониженной эхогенностью и усиленным кровотоком.
Метастатическое поражение паращитовидной железы:
Очаговое гипоэхогенное образование в проекции паращитовидной железы при наличии в анамнезе распространённого злокачественного процесса.
Неровные, иногда инфильтративные контуры с размытым переходом в окружающие ткани.
Неоднородная эхоструктура с чередованием гипо- и гиперэхогенных участков.
Патологическая внутренняя васкуляризация с наличием как центральных, так и периферических сосудов.
Диагностические преимущества
Сонография позволяет детально визуализировать следующие диагностические параметры:
- Размер, форма и эхогенность образования с точной анатомической локализацией относительно щитовидной железы и сосудисто-нервного пучка.
- Чёткие контуры и капсула образования, позволяющие проводить предварительную дифференциацию доброкачественного процесса.
- Структура опухоли — однородность, отсутствие кальцинатов и кистозных включений при типичной аденоме.
- Тип кровотока и его распределение по допплерографическим критериям, включая оценку центральной и периферической васкуляризации.
- Возможность выявления множественных образований при гиперплазии паращитовидных желёз или синдромах множественных эндокринных неоплазий.
- Наглядная оценка компрессионного воздействия опухоли на прилегающие анатомические структуры.
- Быстрое, неинвазивное и повторяемое исследование для мониторинга до и после хирургического лечения.
Диагностические ограничения
УЗ-исследование имеет ряд ограничений, и с его помощью не всегда удаётся точно визуализировать следующие аспекты:
- Невозможность визуализации глубоко расположенных или ретростернальных образований за пределами доступности ультразвукового датчика.
- Опухоли меньше 5 мм могут не выявляться на фоне эхогенной щитовидной ткани или сосудистых артефактов.
- Невысокая специфичность эхографической картины при атипичном расположении или изменённой структуре образования.
- Сложности в дифференциации паращитовидной опухоли от лимфатических узлов, кист или сосудистых аневризм.
- Ограничения метода при выраженном ожирении шеи или послеоперационных рубцовых изменениях.
- Отсутствие визуализации не исключает наличие функционально активного образования, выявляемого только с помощью сцинтиграфии или МРТ.
- Не позволяет оценить гистологическую природу опухоли без дополнительных инвазивных методов (тонкоигольная аспирационная биопсия).
Бесплатный телефон по России: +7(800)300-98-12
Список литературы:
- Балаболкин М.И. Эндокринология. — М.: Медицина, 1988. — 415 с.
- Лукьянов С. В., Алубаев С. А., Алексеева Г. А. Диагностика и лечение опухолей паращитовидных желез. 2013 г.
- Зорина С. В., Бондаренко В. О., Рязанцев A.A. Опыт применения трехмерной ультразвуковой визуализации при выявлении образований паращитовидных желез.// 5 Съезд Российской Ассоциации Специалистов Ультразвуковой Диагностики в Медицине, 2007, стр. 35.
- Методы визуализации паращитовидных желез / Е.А. Кирпа, И.В. Решетов, A.К. Голубцов, Е.Н. Славнова // Онкохирургия. -2013. - Т. 1, № 5. - С. 66-72.
- Кахана М.С. Патофизиология эндокринной системы.- М.: Мед-гиз, 1968.- С. 18.
Информационные статьи о диагностике
ЕДИНЫЙ ЦЕНТР ЗАПИСИ НА МРТ И КТ



