Послеоперационная грыжа представляет собой пролабирование внутрибрюшного содержимого через слабое или дефектное место в зоне хирургического вмешательства и формируется на фоне нарушения целостности апоневроза. Основными методами диагностики являются мультиспиральная компьютерная томография или магнитно-резонансная томография, которые позволяют детально оценить топографию грыжевого мешка, определить его состав, размеры и отношение к окружающим структурам. Ультразвуковое исследование не является основным методом диагностики послеоперационной грыжи, поскольку не всегда обеспечивает достаточную точность в оценке размеров грыжевых ворот и их анатомических связей в глубоколежащих слоях брюшной стенки.
УЗИ в диагностике послеоперационной грыжи
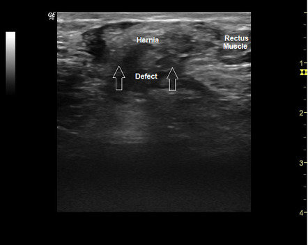
УЗИ при послеоперационной грыже выявляет следующие анатомические признаки:
В режиме В-сканирования визуализируется дефект апоневроза передней брюшной стенки с пролабированием внутрибрюшного содержимого, что указывает на наличие грыжевого мешка в зоне послеоперационного рубца.
В режиме высокого пространственного разрешения определяется структура грыжевого содержимого — участки сальника, кишечной петли или жидкостных включений, при этом визуализируются границы и толщина грыжевых ворот.
В режиме с компрессией выявляется подвижность грыжевого содержимого при давлении датчиком, что позволяет отличить вправимую грыжу от фиксированной.
В режиме цветового допплеровского картирования фиксируется кровоток в стенке кишечной петли внутри грыжевого мешка, что свидетельствует о её жизнеспособности.
В режиме энергетического допплера может регистрироваться снижение перфузии в сдавленном участке при частичном ущемлении, особенно в положении стоя.
В режиме с линейным высокочастотным датчиком определяется толщина рубцово изменённых тканей, окружающих грыжевой дефект, что позволяет оценить степень фиброза и анатомические особенности грыжевых ворот.
Диагностические преимущества
Ультразвуковая диагностика позволяет детально визуализировать следующие диагностические параметры:
- Размер грыжевого дефекта в миллиметрах в режиме высокого разрешения позволяет определить показания к оперативному лечению.
- Глубина пролабирования содержимого относительно кожи и фасциальных слоёв даёт представление о тяжести грыжевого процесса.
- Состояние кровотока в грыжевом содержимом на допплеровских режимах позволяет оценить риск ишемии.
- Толщина и структура апоневроза и окружающих тканей помогают отличить истинную грыжу от грыжеподобных образований.
- Подвижность и вправимость содержимого при нагрузке или компрессии определяют функциональные характеристики грыжи.
- Объём грыжевого мешка в проекции послеоперационного рубца уточняется с учётом положения пациента, что важно при динамической оценке.
Диагностические ограничения
Сонография имеет ряд ограничений, и с её помощью не всегда удаётся точно визуализировать следующие аспекты:
- Глубокорасположенные грыжи у пациентов с избыточной массой тела могут быть неразличимы при стандартных частотах зонда.
- Слабые дефекты апоневроза без выраженного пролабирования содержимого трудно выявляемы при спокойном дыхании и отсутствии натуживания.
- Кальцифицированные швы, импланты и послеоперационные сетки могут вызывать артефакты и мешать точной оценке глубины и формы дефекта.
- Оценка стенки и перфузии грыжевого содержимого при выраженном метеоризме затруднена из-за акустической тени газа.
- Разграничение между послеоперационной серомой, инфильтратом и грыжевым содержимым требует сопоставления с данными клиники и динамики.
- Сложные многокамерные грыжи с переменным пролабированием могут потребовать КТ или МРТ для точного картографирования объёма и состава грыжевого мешка.
Бесплатный телефон по России: +7(800)300-98-12
Список литературы:
- Егизарян В.Ф., Некрасов Л.П., Копысов Г.В. Послеоперационные грыжи и способы их устранения.//Вестник хирургии 1985. №4, с. 55-57.
- Гатауллин Н.Г., Корнилаев П.Г., Плешев В.В. Хирургическое лечение послеоперационных грыж живота.// Клиническая хирургия. 1990.№2, с. 1-4.
- Барков А.А., Мовчан К.Н. Особенности диагностики и лечения ущемлённых послеоперационных грыж.// Вестник хирургии им. И.И. Грекова. 1995. №2, с. 37-39.
- Монаков Н.З. Послеоперационные грыжи.// Сталинобад. 1959. Труды Сталинобадского государственного медицинского института им. Абу Али Ибн-Сино (Авицены). с. 10-12, 54-80, 110.
- Оганясян К.С. Ультразвуковая оценка течения раневого процесса послеоперационных ран брюшной стенки.// Дисс.канд.мед.наук. Москва. 1995.
Информационные статьи о диагностике
ЕДИНЫЙ ЦЕНТР ЗАПИСИ НА МРТ И КТ



